Retained Continuous Glucose Monitor Sensor Wire Fragments Presenting as a Swollen Nodule of the Thigh.

JCEM case reports Pub Date : 2025-02-05 eCollection Date: 2025-02-01 DOI:10.1210/jcemcr/luae253
Lily Deng, Laura Galganski, Mansa Krishnamurthy
{"title":"Retained Continuous Glucose Monitor Sensor Wire Fragments Presenting as a Swollen Nodule of the Thigh.","authors":"Lily Deng, Laura Galganski, Mansa Krishnamurthy","doi":"10.1210/jcemcr/luae253","DOIUrl":null,"url":null,"abstract":"<p><p>A 2-year-old male with genetic-negative, diazoxide-responsive hyperinsulinism presented with a knot in his left, lateral thigh. His hypoglycemia was managed with diazoxide, chlorothiazide, and monitoring via a Dexcom G6 continuous glucose monitor (CGM). X-ray showed 3 metallic wire foreign bodies, consistent with retained Dexcom sensor wires. He was referred to surgery for foreign body removal. Intraoperative fluoroscopy revealed 4 pieces of wire. Two superficial pieces were removed, but 2 small pieces deep to the fascia remained because of significant risk of injury or bleeding if removal was attempted. We present this case to increase awareness in the literature regarding retention of CGM wires. Raised nodules at sites of CGM insertion without fluctuation or erythema and persistent pain should raise suspicion for retention of sensor wires.</p>","PeriodicalId":73540,"journal":{"name":"JCEM case reports","volume":"3 2","pages":"luae253"},"PeriodicalIF":0.0000,"publicationDate":"2025-02-05","publicationTypes":"Journal Article","fieldsOfStudy":null,"isOpenAccess":false,"openAccessPdf":"https://www.ncbi.nlm.nih.gov/pmc/articles/PMC11795673/pdf/","citationCount":"0","resultStr":null,"platform":"Semanticscholar","paperid":null,"PeriodicalName":"JCEM case reports","FirstCategoryId":"1085","ListUrlMain":"https://doi.org/10.1210/jcemcr/luae253","RegionNum":0,"RegionCategory":null,"ArticlePicture":[],"TitleCN":null,"AbstractTextCN":null,"PMCID":null,"EPubDate":"2025/2/1 0:00:00","PubModel":"eCollection","JCR":"","JCRName":"","Score":null,"Total":0}
引用次数: 0

Abstract

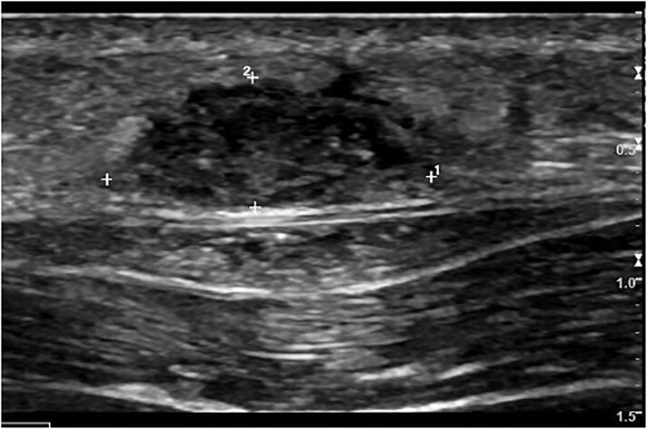
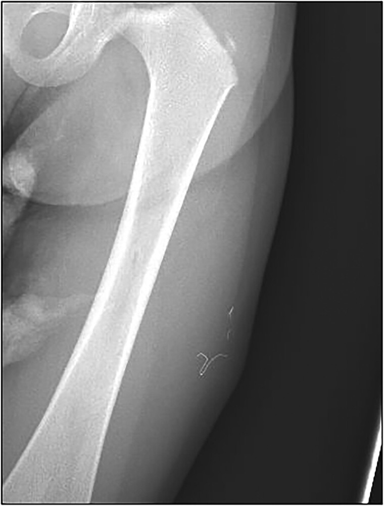
A 2-year-old male with genetic-negative, diazoxide-responsive hyperinsulinism presented with a knot in his left, lateral thigh. His hypoglycemia was managed with diazoxide, chlorothiazide, and monitoring via a Dexcom G6 continuous glucose monitor (CGM). X-ray showed 3 metallic wire foreign bodies, consistent with retained Dexcom sensor wires. He was referred to surgery for foreign body removal. Intraoperative fluoroscopy revealed 4 pieces of wire. Two superficial pieces were removed, but 2 small pieces deep to the fascia remained because of significant risk of injury or bleeding if removal was attempted. We present this case to increase awareness in the literature regarding retention of CGM wires. Raised nodules at sites of CGM insertion without fluctuation or erythema and persistent pain should raise suspicion for retention of sensor wires.

Abstract Image

Abstract Image

Abstract Image

残留的连续血糖监测传感器导线碎片表现为大腿肿胀结节。
2岁男性,遗传阴性,二氮卓反应性高胰岛素症表现为左外侧大腿结。患者使用二氮氧化物、氯噻嗪治疗低血糖,并通过Dexcom G6连续血糖监测仪(CGM)进行监测。x线显示3个金属丝异物,与保留的Dexcom传感器丝一致。他被转到外科做异物取出手术。术中透视显示4根钢丝。两个表面的碎片被移除,但2个深至筋膜的小碎片仍然存在,因为如果试图移除,有很大的受伤或出血风险。我们提出这个病例是为了提高文献中对CGM金属丝潴留的认识。CGM插入部位隆起结节,无波动或红斑和持续疼痛,应怀疑传感器导线保留。
本文章由计算机程序翻译,如有差异,请以英文原文为准。
求助全文
约1分钟内获得全文 求助全文
来源期刊
自引率
0.00%
发文量
0
×
引用
GB/T 7714-2015
复制
MLA
复制
APA
复制
导出至
BibTeX EndNote RefMan NoteFirst NoteExpress
×
提示
您的信息不完整,为了账户安全,请先补充。
现在去补充
×
提示
您因"违规操作"
具体请查看互助需知
我知道了
×
提示
确定
请完成安全验证×
copy
已复制链接
快去分享给好友吧!
我知道了
右上角分享
点击右上角分享
0
联系我们:info@booksci.cn Book学术提供免费学术资源搜索服务,方便国内外学者检索中英文文献。致力于提供最便捷和优质的服务体验。 Copyright © 2023 布克学术 All rights reserved.
京ICP备2023020795号-1
ghs 京公网安备 11010802042870号
Book学术文献互助
Book学术文献互助群
群 号:604180095
Book学术官方微信