Rapid Spontaneous Regression of Traumatic Subdural Hematoma.

IF 0.7 Q3 EMERGENCY MEDICINE
Journal of Emergencies, Trauma, and Shock Pub Date : 2024-10-01 Epub Date: 2024-08-30 DOI:10.4103/jets.jets_46_24
Prashant Punia, Ashish Chugh, Sarang Gotecha, Neeraj Singh, Jayant Gaud, Ishant Rege, Ramis Abdul Aziz
{"title":"Rapid Spontaneous Regression of Traumatic Subdural Hematoma.","authors":"Prashant Punia, Ashish Chugh, Sarang Gotecha, Neeraj Singh, Jayant Gaud, Ishant Rege, Ramis Abdul Aziz","doi":"10.4103/jets.jets_46_24","DOIUrl":null,"url":null,"abstract":"<p><p>Acute subdural hematoma (ASDH) is a type of intracranial hemorrhage and is due to the collection of blood below the inner layer of the dura but external to the brain and arachnoid membrane. It tends to occur in the temporal parietal regions. Early intervention is the key for better outcome of the patient. Management depends on neurological status and imaging. Large SDH collects along the convexity of the brain causing compression over the brain stem with midline shift. In cases of conservatively managed ASDH, spontaneous resolution usually takes weeks to months depending on the size of the bleed. In rare cases, spontaneous rapid resolution of the SDH occurs. So here, we are presenting an 11-month-old baby girl who was brought to our Emergency room/department (ER) with a history of fall and computed tomography scan was suggestion of an ASDH in the left temporoparietal region which resolves on its own in 6 h which is a rare phenomenon and needs to be highlighted.</p>","PeriodicalId":15692,"journal":{"name":"Journal of Emergencies, Trauma, and Shock","volume":"17 4","pages":"245-247"},"PeriodicalIF":0.7000,"publicationDate":"2024-10-01","publicationTypes":"Journal Article","fieldsOfStudy":null,"isOpenAccess":false,"openAccessPdf":"https://www.ncbi.nlm.nih.gov/pmc/articles/PMC11792751/pdf/","citationCount":"0","resultStr":null,"platform":"Semanticscholar","paperid":null,"PeriodicalName":"Journal of Emergencies, Trauma, and Shock","FirstCategoryId":"1085","ListUrlMain":"https://doi.org/10.4103/jets.jets_46_24","RegionNum":0,"RegionCategory":null,"ArticlePicture":[],"TitleCN":null,"AbstractTextCN":null,"PMCID":null,"EPubDate":"2024/8/30 0:00:00","PubModel":"Epub","JCR":"Q3","JCRName":"EMERGENCY MEDICINE","Score":null,"Total":0}
引用次数: 0

Abstract

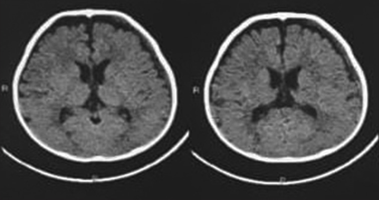
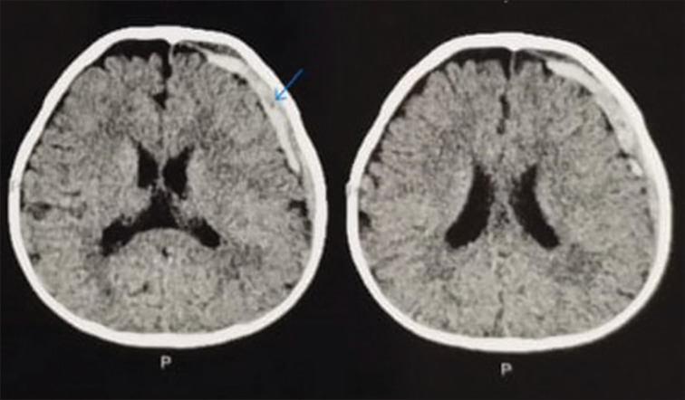
Acute subdural hematoma (ASDH) is a type of intracranial hemorrhage and is due to the collection of blood below the inner layer of the dura but external to the brain and arachnoid membrane. It tends to occur in the temporal parietal regions. Early intervention is the key for better outcome of the patient. Management depends on neurological status and imaging. Large SDH collects along the convexity of the brain causing compression over the brain stem with midline shift. In cases of conservatively managed ASDH, spontaneous resolution usually takes weeks to months depending on the size of the bleed. In rare cases, spontaneous rapid resolution of the SDH occurs. So here, we are presenting an 11-month-old baby girl who was brought to our Emergency room/department (ER) with a history of fall and computed tomography scan was suggestion of an ASDH in the left temporoparietal region which resolves on its own in 6 h which is a rare phenomenon and needs to be highlighted.

Abstract Image

Abstract Image

外伤性硬膜下血肿的快速自发消退。
急性硬脑膜下血肿(ASDH)是一种颅内出血,是由于血液在硬脑膜内层以下,但在脑和蛛网膜外收集而引起的。它往往发生在颞顶叶区域。早期干预是改善患者预后的关键。治疗取决于神经系统状况和影像学。大的SDH沿着大脑的凸面聚集,导致脑干受压,中线移位。在保守治疗的ASDH病例中,根据出血的大小,自发性消退通常需要数周到数月的时间。在极少数情况下,SDH会自发快速消退。因此,在这里,我们要介绍一个11个月大的女婴,她被带到我们的急诊室/部门(ER),有跌倒史,计算机断层扫描显示左侧颞顶区有ASDH,在6小时内自行消退,这是一种罕见的现象,需要强调。
本文章由计算机程序翻译,如有差异,请以英文原文为准。
求助全文
约1分钟内获得全文 求助全文
来源期刊
CiteScore
2.90
自引率
7.10%
发文量
52
审稿时长
39 weeks
×
引用
GB/T 7714-2015
复制
MLA
复制
APA
复制
导出至
BibTeX EndNote RefMan NoteFirst NoteExpress
×
提示
您的信息不完整,为了账户安全,请先补充。
现在去补充
×
提示
您因"违规操作"
具体请查看互助需知
我知道了
×
提示
确定
请完成安全验证×
copy
已复制链接
快去分享给好友吧!
我知道了
右上角分享
点击右上角分享
0
联系我们:info@booksci.cn Book学术提供免费学术资源搜索服务,方便国内外学者检索中英文文献。致力于提供最便捷和优质的服务体验。 Copyright © 2023 布克学术 All rights reserved.
京ICP备2023020795号-1
ghs 京公网安备 11010802042870号
Book学术文献互助
Book学术文献互助群
群 号:604180095
Book学术官方微信