Acquired RUFY1-RET rearrangement as a mechanism of resistance to lorlatinib in a patient with CD74-ROS1 rearranged non-small cell lung cancer: A case report.

Q2 Medicine
Jenny L Wu, Wade T Iams
{"title":"Acquired RUFY1-RET rearrangement as a mechanism of resistance to lorlatinib in a patient with CD74-ROS1 rearranged non-small cell lung cancer: A case report.","authors":"Jenny L Wu, Wade T Iams","doi":"10.18632/oncotarget.28682","DOIUrl":null,"url":null,"abstract":"<p><p><i>ROS1</i> and <i>RET</i> fusions are targetable mutations that occur in a subset of patients with non-small cell lung cancer (NSCLC). <i>ROS1</i> and <i>RET</i> have been understood to be independent oncogenic drivers which do not co-occur with other common tyrosine kinase receptor mutations except in the acquired resistance setting. Here we present a case of a patient with stage IV <i>CD-74-ROS1</i> fusion NSCLC discovered initially with RNA next generation sequencing (NGS) who acquired resistance to lorlatinib after 6 months on therapy through a novel <i>RUFY1-RET</i> fusion, detected only through RNA NGS. Combination therapy targeting RET and ROS1 using pralsetinib and lorlatinib achieved a partial response with limited durability of only four months. This is the first reported case of a <i>RET</i> fusion as a potential mechanism of resistance to lorlatinib, it identifies a novel <i>RET</i> fusion partner, and it emphasizes the importance of testing for acquired resistance mutations with both DNA and RNA at the time of progression in patients with targetable oncogenic drivers.</p>","PeriodicalId":19499,"journal":{"name":"Oncotarget","volume":"16 ","pages":"39-42"},"PeriodicalIF":0.0000,"publicationDate":"2025-02-05","publicationTypes":"Journal Article","fieldsOfStudy":null,"isOpenAccess":false,"openAccessPdf":"https://www.ncbi.nlm.nih.gov/pmc/articles/PMC11798477/pdf/","citationCount":"0","resultStr":null,"platform":"Semanticscholar","paperid":null,"PeriodicalName":"Oncotarget","FirstCategoryId":"1085","ListUrlMain":"https://doi.org/10.18632/oncotarget.28682","RegionNum":0,"RegionCategory":null,"ArticlePicture":[],"TitleCN":null,"AbstractTextCN":null,"PMCID":null,"EPubDate":"","PubModel":"","JCR":"Q2","JCRName":"Medicine","Score":null,"Total":0}
引用次数: 0

Abstract

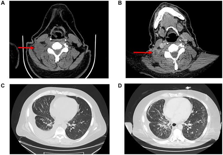
ROS1 and RET fusions are targetable mutations that occur in a subset of patients with non-small cell lung cancer (NSCLC). ROS1 and RET have been understood to be independent oncogenic drivers which do not co-occur with other common tyrosine kinase receptor mutations except in the acquired resistance setting. Here we present a case of a patient with stage IV CD-74-ROS1 fusion NSCLC discovered initially with RNA next generation sequencing (NGS) who acquired resistance to lorlatinib after 6 months on therapy through a novel RUFY1-RET fusion, detected only through RNA NGS. Combination therapy targeting RET and ROS1 using pralsetinib and lorlatinib achieved a partial response with limited durability of only four months. This is the first reported case of a RET fusion as a potential mechanism of resistance to lorlatinib, it identifies a novel RET fusion partner, and it emphasizes the importance of testing for acquired resistance mutations with both DNA and RNA at the time of progression in patients with targetable oncogenic drivers.

Abstract Image

Abstract Image

获得性RUFY1-RET重排作为CD74-ROS1重排非小细胞肺癌患者氯拉替尼耐药机制:1例报告
ROS1和RET融合是发生在非小细胞肺癌(NSCLC)患者亚群中的靶向突变。ROS1和RET已被认为是独立的致癌驱动因素,除了在获得性耐药情况下,它们不会与其他常见的酪氨酸激酶受体突变共同发生。在这里,我们报告了一例IV期CD-74-ROS1融合NSCLC患者,最初是通过RNA下一代测序(NGS)发现的,该患者在通过新型RUFY1-RET融合(仅通过RNA NGS检测)治疗6个月后获得了对氯拉替尼的耐药性。使用普拉塞替尼和氯拉替尼联合治疗RET和ROS1获得了部分缓解,但持续时间有限,仅为4个月。这是首次报道RET融合作为lorlatinib耐药潜在机制的病例,它确定了一种新的RET融合伴侣,并强调了在具有可靶向致癌驱动因素的患者进展时检测DNA和RNA获得性耐药突变的重要性。
本文章由计算机程序翻译,如有差异,请以英文原文为准。
求助全文
约1分钟内获得全文 求助全文
来源期刊
Oncotarget
Oncotarget Oncogenes-CELL BIOLOGY
CiteScore
6.60
自引率
0.00%
发文量
129
审稿时长
1.5 months
期刊介绍: Information not localized
×
引用
GB/T 7714-2015
复制
MLA
复制
APA
复制
导出至
BibTeX EndNote RefMan NoteFirst NoteExpress
×
提示
您的信息不完整,为了账户安全,请先补充。
现在去补充
×
提示
您因"违规操作"
具体请查看互助需知
我知道了
×
提示
确定
请完成安全验证×
copy
已复制链接
快去分享给好友吧!
我知道了
右上角分享
点击右上角分享
0
联系我们:info@booksci.cn Book学术提供免费学术资源搜索服务,方便国内外学者检索中英文文献。致力于提供最便捷和优质的服务体验。 Copyright © 2023 布克学术 All rights reserved.
京ICP备2023020795号-1
ghs 京公网安备 11010802042870号
Book学术文献互助
Book学术文献互助群
群 号:604180095
Book学术官方微信