Possible limited justification for systematic head computed tomography scans based solely on antithrombotic therapy in elderly patients (aged 75 or older) with mild traumatic brain injury

Emma Jaffres , Jean-Nicolas Dacher , Mehdi Taalba , Frédéric Roca , Matthieu Garnier , Sébastien Normant , Mathieu Lozouet , Emmanuel Gérardin , Julien Burel
{"title":"Possible limited justification for systematic head computed tomography scans based solely on antithrombotic therapy in elderly patients (aged 75 or older) with mild traumatic brain injury","authors":"Emma Jaffres ,&nbsp;Jean-Nicolas Dacher ,&nbsp;Mehdi Taalba ,&nbsp;Frédéric Roca ,&nbsp;Matthieu Garnier ,&nbsp;Sébastien Normant ,&nbsp;Mathieu Lozouet ,&nbsp;Emmanuel Gérardin ,&nbsp;Julien Burel","doi":"10.1016/j.redii.2024.100053","DOIUrl":null,"url":null,"abstract":"<div><h3>Rationale and objectives</h3><div>Recent literature suggests that performing systematic head computed tomography (CT) scans for mild traumatic brain injury (mTBI) in patients undergoing antithrombotic therapy offers limited benefits. This study aims to evaluate a set of criteria that could potentially eliminate the need for systematic head CT scans, performed solely because of the antithrombotic treatment status, in elderly patients (aged 75 or older) presenting with mTBI.</div></div><div><h3>Materials and methods</h3><div>All patients aged 75 or older who underwent a head CT scan at our academic center for mTBI while on antithrombotic therapy between January and December 2022 were retrospectively included in this study. Patients were categorized into two groups. The first group, referred to as the “At-risk group”, included patients with any of the following: GCS score &lt; 15 or cognitive impairment; initial loss of consciousness; hemodynamic instability; signs of fractures; extensive subcutaneous hematoma; severe or treatment-resistant headache; vomiting; seizure; any neurological deficit; intoxication; amnesia; or a history of neurosurgery. The second group, referred to as the “Not-at-risk group”, comprised patients without any of these criteria.</div></div><div><h3>Results</h3><div>A total of 1415 patients were included. Post-traumatic intracranial hemorrhage (<em>P</em> &lt; 0.001), brain herniation (<em>P</em> = 0.003), and fractures (<em>P</em> &lt; 0.001) occurred statistically more frequently in the At-risk group. Six post-traumatic hemorrhagic brain injuries were found in the Not-at-risk group, that did not present any of the studied criteria, and all these injuries were minor (localized SAH; millimetric SDH). Furthermore, none of these required immediate or delayed surgical intervention, and no neurological deterioration or deaths occurred in these patients.</div></div><div><h3>Conclusion</h3><div>In conclusion, conducting systematic head CT scans based solely on antithrombotic therapy in elderly patients aged 75 or older with mTBI might be irrelevant.</div></div>","PeriodicalId":74676,"journal":{"name":"Research in diagnostic and interventional imaging","volume":"13 ","pages":"Article 100053"},"PeriodicalIF":0.0000,"publicationDate":"2025-01-16","publicationTypes":"Journal Article","fieldsOfStudy":null,"isOpenAccess":false,"openAccessPdf":"https://www.ncbi.nlm.nih.gov/pmc/articles/PMC11786775/pdf/","citationCount":"0","resultStr":null,"platform":"Semanticscholar","paperid":null,"PeriodicalName":"Research in diagnostic and interventional imaging","FirstCategoryId":"1085","ListUrlMain":"https://www.sciencedirect.com/science/article/pii/S2772652524000140","RegionNum":0,"RegionCategory":null,"ArticlePicture":[],"TitleCN":null,"AbstractTextCN":null,"PMCID":null,"EPubDate":"","PubModel":"","JCR":"","JCRName":"","Score":null,"Total":0}
引用次数: 0

Abstract

Rationale and objectives

Recent literature suggests that performing systematic head computed tomography (CT) scans for mild traumatic brain injury (mTBI) in patients undergoing antithrombotic therapy offers limited benefits. This study aims to evaluate a set of criteria that could potentially eliminate the need for systematic head CT scans, performed solely because of the antithrombotic treatment status, in elderly patients (aged 75 or older) presenting with mTBI.

Materials and methods

All patients aged 75 or older who underwent a head CT scan at our academic center for mTBI while on antithrombotic therapy between January and December 2022 were retrospectively included in this study. Patients were categorized into two groups. The first group, referred to as the “At-risk group”, included patients with any of the following: GCS score < 15 or cognitive impairment; initial loss of consciousness; hemodynamic instability; signs of fractures; extensive subcutaneous hematoma; severe or treatment-resistant headache; vomiting; seizure; any neurological deficit; intoxication; amnesia; or a history of neurosurgery. The second group, referred to as the “Not-at-risk group”, comprised patients without any of these criteria.

Results

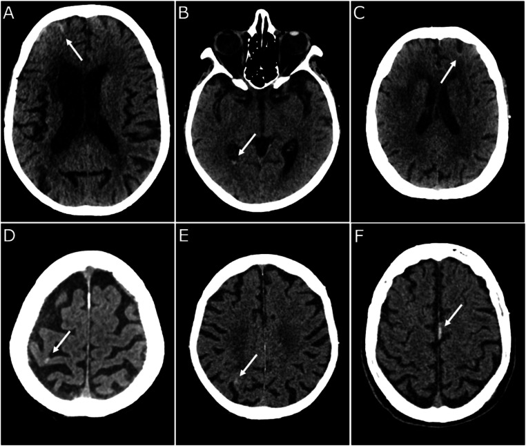
A total of 1415 patients were included. Post-traumatic intracranial hemorrhage (P < 0.001), brain herniation (P = 0.003), and fractures (P < 0.001) occurred statistically more frequently in the At-risk group. Six post-traumatic hemorrhagic brain injuries were found in the Not-at-risk group, that did not present any of the studied criteria, and all these injuries were minor (localized SAH; millimetric SDH). Furthermore, none of these required immediate or delayed surgical intervention, and no neurological deterioration or deaths occurred in these patients.

Conclusion

In conclusion, conducting systematic head CT scans based solely on antithrombotic therapy in elderly patients aged 75 or older with mTBI might be irrelevant.

Abstract Image

对轻度外伤性脑损伤的老年患者(75岁或以上)进行系统的头部计算机断层扫描仅基于抗血栓治疗的可能有限的理由。
理由和目的:最近的文献表明,对接受抗血栓治疗的轻度创伤性脑损伤(mTBI)患者进行系统的头部计算机断层扫描(CT)扫描的益处有限。本研究旨在评估一套标准,这些标准有可能消除仅因抗血栓治疗状态而进行系统头部CT扫描的必要性,适用于老年mTBI患者(75岁或以上)。材料和方法:所有在2022年1月至12月期间在我们的学术中心接受抗血栓治疗期间接受mTBI头部CT扫描的75岁及以上患者回顾性纳入本研究。患者分为两组。第一组被称为“高危组”,包括以下任何一种情况的患者:GCS评分< 15或认知障碍;最初的意识丧失;血流动力学不稳定;骨折的迹象;大面积皮下血肿;严重头痛或治疗难治性头痛;呕吐;癫痫发作;任何神经缺陷;中毒;遗忘;或者有神经外科病史。第二组被称为“无风险组”,由没有上述任何标准的患者组成。结果:共纳入1415例患者。创伤后颅内出血(P < 0.001)、脑疝(P = 0.003)和骨折(P < 0.001)在高危组发生率更高。在非高危组中发现了6例创伤后出血性脑损伤,没有出现任何研究标准,所有这些损伤都是轻微的(局部SAH;名为“SDH)。此外,这些患者都不需要立即或延迟手术干预,也没有发生神经功能恶化或死亡。结论:在75岁及以上高龄mTBI患者中,仅基于抗栓治疗进行系统的头部CT扫描可能无关紧要。
本文章由计算机程序翻译,如有差异,请以英文原文为准。
求助全文
约1分钟内获得全文 求助全文
来源期刊
自引率
0.00%
发文量
0
×
引用
GB/T 7714-2015
复制
MLA
复制
APA
复制
导出至
BibTeX EndNote RefMan NoteFirst NoteExpress
×
提示
您的信息不完整,为了账户安全,请先补充。
现在去补充
×
提示
您因"违规操作"
具体请查看互助需知
我知道了
×
提示
确定
请完成安全验证×
copy
已复制链接
快去分享给好友吧!
我知道了
右上角分享
点击右上角分享
0
联系我们:info@booksci.cn Book学术提供免费学术资源搜索服务,方便国内外学者检索中英文文献。致力于提供最便捷和优质的服务体验。 Copyright © 2023 布克学术 All rights reserved.
京ICP备2023020795号-1
ghs 京公网安备 11010802042870号
Book学术文献互助
Book学术文献互助群
群 号:604180095
Book学术官方微信