Genetically Distinct Acute Megakaryoblastic Leukemia following Low Hypodiploid B-Lymphoblastic Leukemia linked by TP53 Mutation.

IF 1.3 4区 医学 Q3 PATHOLOGY
Pediatric and Developmental Pathology Pub Date : 2025-05-01 Epub Date: 2025-02-03 DOI:10.1177/10935266251316150
Jaryse C Harris, Jeffrey Schubert, Brian Lockhart, Rachel Olson, Michele E Paessler, Elizabeth Margolskee, Vinodh Pillai, Jinhua Wu, Netta Golenberg, Jiani Chen, Elizabeth H Denenberg, Tammy Luke, Minjie Luo, Yiming Zhong, Marilyn M Li, Gerald B Wertheim
{"title":"Genetically Distinct Acute Megakaryoblastic Leukemia following Low Hypodiploid B-Lymphoblastic Leukemia linked by <i>TP53</i> Mutation.","authors":"Jaryse C Harris, Jeffrey Schubert, Brian Lockhart, Rachel Olson, Michele E Paessler, Elizabeth Margolskee, Vinodh Pillai, Jinhua Wu, Netta Golenberg, Jiani Chen, Elizabeth H Denenberg, Tammy Luke, Minjie Luo, Yiming Zhong, Marilyn M Li, Gerald B Wertheim","doi":"10.1177/10935266251316150","DOIUrl":null,"url":null,"abstract":"<p><p>We report a case of acute myeloid leukemia with megakaryoblastic differentiation (AMKL) that developed after an initial B-lymphoblastic leukemia (B-ALL) with low hypodiploidy. Although the AMKL was initially thought either to be a phenotypic change from the original B-ALL or to have arisen as a result of treatment (acute myeloid leukemia, post cytotoxic therapy, AML-pCT [WHO]; AML, therapy related [ICC]), genetic evaluation of both the AMKL and the B-ALL suggest that neither of these considerations was correct. Rather, the AMKL did not harbor the most common genetic hallmark of AML-pCT-rearrangement of <i>KMT2-</i> and was genetically distinct from the B-ALL. Both the B-ALL and the AMKL, however, showed an identical <i>TP53</i> mutation by next generation sequencing (NGS), while germline testing was negative for this mutant allele. Hence, either the patient had a tissue restricted constitutional <i>TP53</i> mutation or had a somatic mutation in a multipotent hematopoietic precursor. This case highlights the necessity for close monitoring of patients with <i>TP53</i>-mutant tumors, as they may develop multiple lesions despite negative germline testing.</p>","PeriodicalId":54634,"journal":{"name":"Pediatric and Developmental Pathology","volume":" ","pages":"214-219"},"PeriodicalIF":1.3000,"publicationDate":"2025-05-01","publicationTypes":"Journal Article","fieldsOfStudy":null,"isOpenAccess":false,"openAccessPdf":"https://www.ncbi.nlm.nih.gov/pmc/articles/PMC12053263/pdf/","citationCount":"0","resultStr":null,"platform":"Semanticscholar","paperid":null,"PeriodicalName":"Pediatric and Developmental Pathology","FirstCategoryId":"3","ListUrlMain":"https://doi.org/10.1177/10935266251316150","RegionNum":4,"RegionCategory":"医学","ArticlePicture":[],"TitleCN":null,"AbstractTextCN":null,"PMCID":null,"EPubDate":"2025/2/3 0:00:00","PubModel":"Epub","JCR":"Q3","JCRName":"PATHOLOGY","Score":null,"Total":0}
引用次数: 0

Abstract

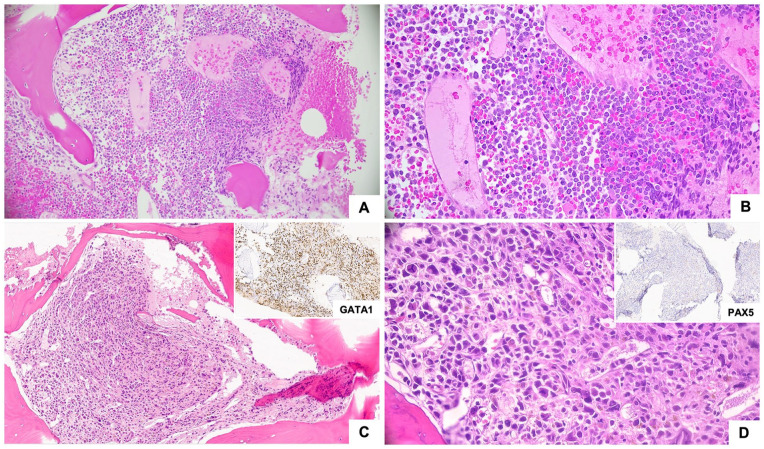
We report a case of acute myeloid leukemia with megakaryoblastic differentiation (AMKL) that developed after an initial B-lymphoblastic leukemia (B-ALL) with low hypodiploidy. Although the AMKL was initially thought either to be a phenotypic change from the original B-ALL or to have arisen as a result of treatment (acute myeloid leukemia, post cytotoxic therapy, AML-pCT [WHO]; AML, therapy related [ICC]), genetic evaluation of both the AMKL and the B-ALL suggest that neither of these considerations was correct. Rather, the AMKL did not harbor the most common genetic hallmark of AML-pCT-rearrangement of KMT2- and was genetically distinct from the B-ALL. Both the B-ALL and the AMKL, however, showed an identical TP53 mutation by next generation sequencing (NGS), while germline testing was negative for this mutant allele. Hence, either the patient had a tissue restricted constitutional TP53 mutation or had a somatic mutation in a multipotent hematopoietic precursor. This case highlights the necessity for close monitoring of patients with TP53-mutant tumors, as they may develop multiple lesions despite negative germline testing.

Abstract Image

Abstract Image

Abstract Image

TP53突变与低次二倍体b淋巴母细胞白血病相关的急性巨核母细胞白血病的遗传差异
我们报告一例急性髓系白血病伴巨核母细胞分化(AMKL)的病例,AMKL是在初始的低二倍体b淋巴母细胞白血病(B-ALL)后发展起来的。尽管AMKL最初被认为是来自最初B-ALL的表型改变,或者是由于治疗(急性髓系白血病,细胞毒性治疗后,AML-pCT)而产生的[WHO];AML,治疗相关[ICC]), AMKL和B-ALL的遗传评估表明,这些考虑都不正确。相反,AMKL不具有最常见的遗传标记aml - pct - KMT2-重排,并且在遗传上与B-ALL不同。然而,通过下一代测序(NGS), B-ALL和AMKL都显示出相同的TP53突变,而种系检测对该突变等位基因呈阴性。因此,患者要么有组织限制性体质TP53突变,要么在多能造血前体中有体细胞突变。该病例强调了密切监测tp53突变肿瘤患者的必要性,因为尽管种系检测阴性,但他们可能会出现多个病变。
本文章由计算机程序翻译,如有差异,请以英文原文为准。
求助全文
约1分钟内获得全文 求助全文
来源期刊
CiteScore
3.70
自引率
5.30%
发文量
59
审稿时长
6-12 weeks
期刊介绍: The Journal covers the spectrum of disorders of early development (including embryology, placentology, and teratology), gestational and perinatal diseases, and all diseases of childhood. Studies may be in any field of experimental, anatomic, or clinical pathology, including molecular pathology. Case reports are published only if they provide new insights into disease mechanisms or new information.
×
引用
GB/T 7714-2015
复制
MLA
复制
APA
复制
导出至
BibTeX EndNote RefMan NoteFirst NoteExpress
×
提示
您的信息不完整,为了账户安全,请先补充。
现在去补充
×
提示
您因"违规操作"
具体请查看互助需知
我知道了
×
提示
确定
请完成安全验证×
copy
已复制链接
快去分享给好友吧!
我知道了
右上角分享
点击右上角分享
0
联系我们:info@booksci.cn Book学术提供免费学术资源搜索服务,方便国内外学者检索中英文文献。致力于提供最便捷和优质的服务体验。 Copyright © 2023 布克学术 All rights reserved.
京ICP备2023020795号-1
ghs 京公网安备 11010802042870号
Book学术文献互助
Book学术文献互助群
群 号:604180095
Book学术官方微信