Investigating the Role of DNA Ploidy and Proliferation Index in Distinguishing Ameloblastoma from Ameloblastic Carcinoma.

IF 4.1 Q2 PATHOLOGY
Liam Robinson, Chané Smit, Marlene B van Heerden, Melvin A Ambele, Willie F P van Heerden
{"title":"Investigating the Role of DNA Ploidy and Proliferation Index in Distinguishing Ameloblastoma from Ameloblastic Carcinoma.","authors":"Liam Robinson, Chané Smit, Marlene B van Heerden, Melvin A Ambele, Willie F P van Heerden","doi":"10.1007/s12105-024-01742-2","DOIUrl":null,"url":null,"abstract":"<p><strong>Purpose: </strong>This study aimed to investigate the role of DNA ploidy and proliferation index in distinguishing ameloblastoma (AB) from ameloblastic carcinoma (AC).</p><p><strong>Methods: </strong>The study included 29 ACs, 6 conventional ABs that transformed into ACs, and a control cohort of 20 conventional ABs. The demographics and clinicopathologic details of the included cases were summarised and compared. The Ki-67 proliferation index was scored using the QuPath open-source software platform. DNA ploidy analysis was performed using high-resolution flow cytometry.</p><p><strong>Results: </strong>The cohort of ABs presented at an overall younger age compared to both primary and secondary ACs. There was a statistically significant difference between the median duration of the tumour when comparing primary and secondary ACs, with ACs presenting with longer durations than the AB cohort. All cases of AC showed a relatively high median proliferation index of 41.7%, with statistically significant higher scores compared to ABs. DNA ploidy analysis showed that all cases in the AB cohort were diploid. Two diploid cases of AB that transformed into ACs were aneuploid when the corresponding secondary AC was analysed. Fourteen cases of AC were diploid and 12 were aneuploid, with no statistically significant association found between DNA ploidy status of primary and secondary ACs. A statistically significant difference was noted when the DNA ploidy status of ABs was compared to that of ACs. When comparing the Ki-67 proliferation score of ACs to their DNA ploidy status, no statistically significant association was noted.</p><p><strong>Conclusion: </strong>DNA ploidy analysis and proliferation index via Ki-67 IHC are useful ancillary tests that may be used to support a diagnosis of AC and may assist in distinguishing between challenging cases of AB and AC.</p>","PeriodicalId":47972,"journal":{"name":"Head & Neck Pathology","volume":"19 1","pages":"13"},"PeriodicalIF":4.1000,"publicationDate":"2025-01-30","publicationTypes":"Journal Article","fieldsOfStudy":null,"isOpenAccess":false,"openAccessPdf":"https://www.ncbi.nlm.nih.gov/pmc/articles/PMC11782761/pdf/","citationCount":"0","resultStr":null,"platform":"Semanticscholar","paperid":null,"PeriodicalName":"Head & Neck Pathology","FirstCategoryId":"1085","ListUrlMain":"https://doi.org/10.1007/s12105-024-01742-2","RegionNum":0,"RegionCategory":null,"ArticlePicture":[],"TitleCN":null,"AbstractTextCN":null,"PMCID":null,"EPubDate":"","PubModel":"","JCR":"Q2","JCRName":"PATHOLOGY","Score":null,"Total":0}
引用次数: 0

Abstract

Purpose: This study aimed to investigate the role of DNA ploidy and proliferation index in distinguishing ameloblastoma (AB) from ameloblastic carcinoma (AC).

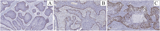
Methods: The study included 29 ACs, 6 conventional ABs that transformed into ACs, and a control cohort of 20 conventional ABs. The demographics and clinicopathologic details of the included cases were summarised and compared. The Ki-67 proliferation index was scored using the QuPath open-source software platform. DNA ploidy analysis was performed using high-resolution flow cytometry.

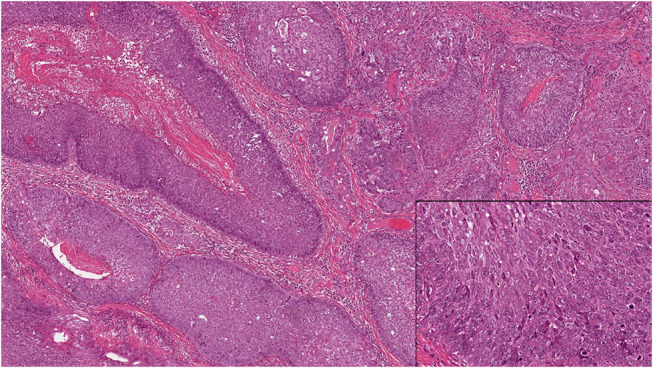
Results: The cohort of ABs presented at an overall younger age compared to both primary and secondary ACs. There was a statistically significant difference between the median duration of the tumour when comparing primary and secondary ACs, with ACs presenting with longer durations than the AB cohort. All cases of AC showed a relatively high median proliferation index of 41.7%, with statistically significant higher scores compared to ABs. DNA ploidy analysis showed that all cases in the AB cohort were diploid. Two diploid cases of AB that transformed into ACs were aneuploid when the corresponding secondary AC was analysed. Fourteen cases of AC were diploid and 12 were aneuploid, with no statistically significant association found between DNA ploidy status of primary and secondary ACs. A statistically significant difference was noted when the DNA ploidy status of ABs was compared to that of ACs. When comparing the Ki-67 proliferation score of ACs to their DNA ploidy status, no statistically significant association was noted.

Conclusion: DNA ploidy analysis and proliferation index via Ki-67 IHC are useful ancillary tests that may be used to support a diagnosis of AC and may assist in distinguishing between challenging cases of AB and AC.

Abstract Image

Abstract Image

Abstract Image

DNA倍性和增殖指数在区分成釉细胞瘤和成釉细胞癌中的作用。
目的:探讨DNA倍性和增殖指数在区分成釉细胞瘤(AB)和成釉细胞癌(AC)中的作用。方法:纳入29例ACs, 6例转化为ACs的常规抗体,以及20例常规抗体的对照队列。对纳入病例的人口统计学和临床病理细节进行总结和比较。Ki-67增殖指数采用QuPath开源软件平台进行评分。采用高分辨率流式细胞术进行DNA倍体分析。结果:与原发性和继发性ACs相比,ABs队列出现的总体年龄更小。当比较原发性和继发性ACs时,肿瘤的中位持续时间有统计学意义上的差异,ACs的持续时间比AB队列更长。所有AC患者的中位增殖指数均较高,为41.7%,与ABs相比有统计学意义。DNA倍性分析显示AB队列中所有病例均为二倍体。二倍体AB转化为AC的2例为非整倍体。14例AC为二倍体,12例为非整倍体,原发性和继发性AC的DNA倍性状态无统计学意义。当将抗体的DNA倍体状态与ACs的DNA倍体状态进行比较时,发现具有统计学意义的差异。当比较ACs的Ki-67增殖评分与其DNA倍体状态时,没有发现统计学上显著的关联。结论:DNA倍体分析和Ki-67 IHC增殖指数是一种有用的辅助检测,可用于支持AC的诊断,并有助于区分AB和AC的挑战性病例。
本文章由计算机程序翻译,如有差异,请以英文原文为准。
求助全文
约1分钟内获得全文 求助全文
来源期刊
CiteScore
5.70
自引率
9.50%
发文量
99
期刊介绍: Head & Neck Pathology presents scholarly papers, reviews and symposia that cover the spectrum of human surgical pathology within the anatomic zones of the oral cavity, sinonasal tract, larynx, hypopharynx, salivary gland, ear and temporal bone, and neck. The journal publishes rapid developments in new diagnostic criteria, intraoperative consultation, immunohistochemical studies, molecular techniques, genetic analyses, diagnostic aids, experimental pathology, cytology, radiographic imaging, and application of uniform terminology to allow practitioners to continue to maintain and expand their knowledge in the subspecialty of head and neck pathology. Coverage of practical application to daily clinical practice is supported with proceedings and symposia from international societies and academies devoted to this field. Single-blind peer review The journal follows a single-blind review procedure, where the reviewers are aware of the names and affiliations of the authors, but the reviewer reports provided to authors are anonymous. Single-blind peer review is the traditional model of peer review that many reviewers are comfortable with, and it facilitates a dispassionate critique of a manuscript.
×
引用
GB/T 7714-2015
复制
MLA
复制
APA
复制
导出至
BibTeX EndNote RefMan NoteFirst NoteExpress
×
提示
您的信息不完整,为了账户安全,请先补充。
现在去补充
×
提示
您因"违规操作"
具体请查看互助需知
我知道了
×
提示
确定
请完成安全验证×
copy
已复制链接
快去分享给好友吧!
我知道了
右上角分享
点击右上角分享
0
联系我们:info@booksci.cn Book学术提供免费学术资源搜索服务,方便国内外学者检索中英文文献。致力于提供最便捷和优质的服务体验。 Copyright © 2023 布克学术 All rights reserved.
京ICP备2023020795号-1
ghs 京公网安备 11010802042870号
Book学术文献互助
Book学术文献互助群
群 号:604180095
Book学术官方微信