Expeditious management of an unexpected complication of left renal vein ligation during right retroperitoneoscopic simple nephrectomy: A lesson learned the hard way.

IF 0.9 Q3 UROLOGY & NEPHROLOGY
Indian Journal of Urology Pub Date : 2025-01-01 Epub Date: 2024-08-30 DOI:10.4103/iju.iju_119_24
Priyank Bhargava, Kartik Sharma, Mahendra Singh
{"title":"Expeditious management of an unexpected complication of left renal vein ligation during right retroperitoneoscopic simple nephrectomy: A lesson learned the hard way.","authors":"Priyank Bhargava, Kartik Sharma, Mahendra Singh","doi":"10.4103/iju.iju_119_24","DOIUrl":null,"url":null,"abstract":"<p><p>We present a case of inadvertent left renal vein clipping during right retroperitoneoscopic nephrectomy (RPN) and describe its expeditious identification and management. A 13-year-old girl underwent RPN for nonfunctioning kidney due to urolithiasis. During the dissection of the right renal vein, the inferior vena cava (IVC) got lifted off the parietal wall and the left renal vein was mistakenly ligated. Based on a strong intra-operative suspicion, the patient underwent an urgent computed tomography angiography which confirmed the ligation of the left renal vein. The patient was reoperated immediately and an end-to-side anastomosis was performed between the left renal vein and the IVC.</p>","PeriodicalId":47352,"journal":{"name":"Indian Journal of Urology","volume":"41 1","pages":"66-68"},"PeriodicalIF":0.9000,"publicationDate":"2025-01-01","publicationTypes":"Journal Article","fieldsOfStudy":null,"isOpenAccess":false,"openAccessPdf":"https://www.ncbi.nlm.nih.gov/pmc/articles/PMC11778686/pdf/","citationCount":"0","resultStr":null,"platform":"Semanticscholar","paperid":null,"PeriodicalName":"Indian Journal of Urology","FirstCategoryId":"1085","ListUrlMain":"https://doi.org/10.4103/iju.iju_119_24","RegionNum":0,"RegionCategory":null,"ArticlePicture":[],"TitleCN":null,"AbstractTextCN":null,"PMCID":null,"EPubDate":"2024/8/30 0:00:00","PubModel":"Epub","JCR":"Q3","JCRName":"UROLOGY & NEPHROLOGY","Score":null,"Total":0}
引用次数: 0

Abstract

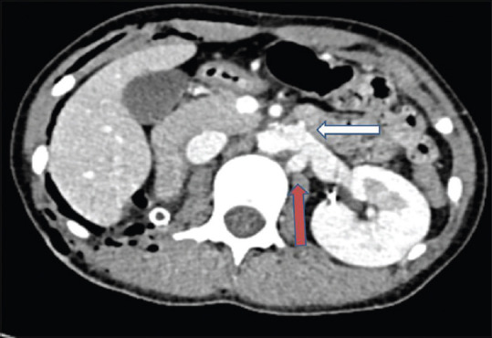
We present a case of inadvertent left renal vein clipping during right retroperitoneoscopic nephrectomy (RPN) and describe its expeditious identification and management. A 13-year-old girl underwent RPN for nonfunctioning kidney due to urolithiasis. During the dissection of the right renal vein, the inferior vena cava (IVC) got lifted off the parietal wall and the left renal vein was mistakenly ligated. Based on a strong intra-operative suspicion, the patient underwent an urgent computed tomography angiography which confirmed the ligation of the left renal vein. The patient was reoperated immediately and an end-to-side anastomosis was performed between the left renal vein and the IVC.

Abstract Image

Abstract Image

右腹膜后单纯肾切除术中左肾静脉结扎意外并发症的快速处理:一个艰难的教训。
我们报告一例在右后腹膜镜肾切除术(RPN)中不慎左肾静脉夹断,并描述其快速识别和处理。一名13岁女孩因尿石症导致肾功能不全而行RPN。在右肾静脉剥离过程中,下腔静脉(IVC)脱离顶壁,左肾静脉被错误结扎。基于强烈的术中怀疑,患者接受了紧急计算机断层血管造影,确认左肾静脉结扎。患者立即再次手术,左肾静脉与下腔静脉端侧吻合。
本文章由计算机程序翻译,如有差异,请以英文原文为准。
求助全文
约1分钟内获得全文 求助全文
来源期刊
Indian Journal of Urology
Indian Journal of Urology UROLOGY & NEPHROLOGY-
CiteScore
1.90
自引率
0.00%
发文量
62
审稿时长
33 weeks
期刊介绍: Indian Journal of Urology-IJU (ISSN 0970-1591) is official publication of the Urological Society of India. The journal is published Quarterly. Bibliographic listings: The journal is indexed with Abstracts on Hygiene and Communicable Diseases, CAB Abstracts, Caspur, DOAJ, EBSCO Publishing’s Electronic Databases, Excerpta Medica / EMBASE, Expanded Academic ASAP, Genamics JournalSeek, Global Health, Google Scholar, Health & Wellness Research Center, Health Reference Center Academic, Hinari, Index Copernicus, IndMed, OpenJGate, PubMed, Pubmed Central, Scimago Journal Ranking, SCOLOAR, SCOPUS, SIIC databases, SNEMB, Tropical Diseases Bulletin, Ulrich’s International Periodical Directory
×
引用
GB/T 7714-2015
复制
MLA
复制
APA
复制
导出至
BibTeX EndNote RefMan NoteFirst NoteExpress
×
提示
您的信息不完整,为了账户安全,请先补充。
现在去补充
×
提示
您因"违规操作"
具体请查看互助需知
我知道了
×
提示
确定
请完成安全验证×
copy
已复制链接
快去分享给好友吧!
我知道了
右上角分享
点击右上角分享
0
联系我们:info@booksci.cn Book学术提供免费学术资源搜索服务,方便国内外学者检索中英文文献。致力于提供最便捷和优质的服务体验。 Copyright © 2023 布克学术 All rights reserved.
京ICP备2023020795号-1
ghs 京公网安备 11010802042870号
Book学术文献互助
Book学术文献互助群
群 号:604180095
Book学术官方微信