Donovanosis: Case series of a rare entity in the background of declining incidence worldwide.

IF 0.7 Q4 INFECTIOUS DISEASES
C K Sriram, A S Krishnaram
{"title":"Donovanosis: Case series of a rare entity in the background of declining incidence worldwide.","authors":"C K Sriram, A S Krishnaram","doi":"10.4103/ijstd.ijstd_105_23","DOIUrl":null,"url":null,"abstract":"<p><p>Donovanosis is a rare bacterial sexually transmitted disease caused by Klebsiella granulomatis and has an indolent course. Clinically it manifests as an ulcer with exuberant granulation tissue most commonly in the genital and rarely in extragenital sites. Nowadays, case reports of Donovanosis are infrequent and are considered an ignored sexually transmitted infection in the current antibiotic era. Here, we are reporting three interesting case series of Donovanosis because of its rarity and clinical interest.</p>","PeriodicalId":44880,"journal":{"name":"Indian Journal of Sexually Transmitted Diseases and AIDS","volume":"45 2","pages":"134-137"},"PeriodicalIF":0.7000,"publicationDate":"2024-07-01","publicationTypes":"Journal Article","fieldsOfStudy":null,"isOpenAccess":false,"openAccessPdf":"https://www.ncbi.nlm.nih.gov/pmc/articles/PMC11776913/pdf/","citationCount":"0","resultStr":null,"platform":"Semanticscholar","paperid":null,"PeriodicalName":"Indian Journal of Sexually Transmitted Diseases and AIDS","FirstCategoryId":"1085","ListUrlMain":"https://doi.org/10.4103/ijstd.ijstd_105_23","RegionNum":0,"RegionCategory":null,"ArticlePicture":[],"TitleCN":null,"AbstractTextCN":null,"PMCID":null,"EPubDate":"2024/12/13 0:00:00","PubModel":"Epub","JCR":"Q4","JCRName":"INFECTIOUS DISEASES","Score":null,"Total":0}
引用次数: 0

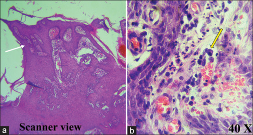
Abstract

Donovanosis is a rare bacterial sexually transmitted disease caused by Klebsiella granulomatis and has an indolent course. Clinically it manifests as an ulcer with exuberant granulation tissue most commonly in the genital and rarely in extragenital sites. Nowadays, case reports of Donovanosis are infrequent and are considered an ignored sexually transmitted infection in the current antibiotic era. Here, we are reporting three interesting case series of Donovanosis because of its rarity and clinical interest.

Abstract Image

Abstract Image

Abstract Image

Donovanosis:在全球发病率下降的背景下罕见的病例系列。
多诺瓦病是由克雷伯菌肉芽肿引起的一种罕见的细菌性传播疾病,病程缓慢。临床表现为伴有大量肉芽组织的溃疡,最常见于生殖器,很少见于生殖器外部位。如今,Donovanosis的病例报告很少,被认为是当前抗生素时代被忽视的性传播感染。在这里,我们报告三个有趣的Donovanosis病例系列,因为它的罕见性和临床意义。
本文章由计算机程序翻译,如有差异,请以英文原文为准。
求助全文
约1分钟内获得全文 求助全文
来源期刊
CiteScore
0.60
自引率
25.00%
发文量
34
×
引用
GB/T 7714-2015
复制
MLA
复制
APA
复制
导出至
BibTeX EndNote RefMan NoteFirst NoteExpress
×
提示
您的信息不完整,为了账户安全,请先补充。
现在去补充
×
提示
您因"违规操作"
具体请查看互助需知
我知道了
×
提示
确定
请完成安全验证×
copy
已复制链接
快去分享给好友吧!
我知道了
右上角分享
点击右上角分享
0
联系我们:info@booksci.cn Book学术提供免费学术资源搜索服务,方便国内外学者检索中英文文献。致力于提供最便捷和优质的服务体验。 Copyright © 2023 布克学术 All rights reserved.
京ICP备2023020795号-1
ghs 京公网安备 11010802042870号
Book学术文献互助
Book学术文献互助群
群 号:604180095
Book学术官方微信