Unveiling epilepsia partialis continua as an early indicator of HIV encephalitis.

IF 0.7 Q4 INFECTIOUS DISEASES
Balakrishnan Arivalagan, Jitesh Goel, Salil Gupta, Bhanu Pratap Singh, Srishti Bhardwaj, Karthik Rayapureddi
{"title":"Unveiling epilepsia partialis continua as an early indicator of HIV encephalitis.","authors":"Balakrishnan Arivalagan, Jitesh Goel, Salil Gupta, Bhanu Pratap Singh, Srishti Bhardwaj, Karthik Rayapureddi","doi":"10.4103/ijstd.ijstd_56_24","DOIUrl":null,"url":null,"abstract":"<p><p>A young male with no known addictions and comorbidities presenting with recurrent clonic-myoclonic movements, initially localized to the left corner of the mouth and left upper limb, evolving into epilepsia partialis continua, despite appropriate sequential antiepileptic medications, subsequently progressed to refractory status epilepticus. He was tested positive for HIV infection and his neuroimaging revealed nonenhancing lesions, a novel finding in HIV-related encephalitis. We managed him with intravenous immunoglobulin along with multiple antiepileptic medications and highly active antiretroviral therapy (ART), and he exhibited a rapid clinical recovery over 3 weeks. This case highlights the importance of initiating immunomodulatory therapy promptly at presentation and underscores the challenges of managing drug interactions between antiepileptic drugs and antiretroviral therapy (ART), emphasizing the need for careful selection of medications in HIV-infected individuals.</p>","PeriodicalId":44880,"journal":{"name":"Indian Journal of Sexually Transmitted Diseases and AIDS","volume":"45 2","pages":"159-162"},"PeriodicalIF":0.7000,"publicationDate":"2024-07-01","publicationTypes":"Journal Article","fieldsOfStudy":null,"isOpenAccess":false,"openAccessPdf":"https://www.ncbi.nlm.nih.gov/pmc/articles/PMC11776917/pdf/","citationCount":"0","resultStr":null,"platform":"Semanticscholar","paperid":null,"PeriodicalName":"Indian Journal of Sexually Transmitted Diseases and AIDS","FirstCategoryId":"1085","ListUrlMain":"https://doi.org/10.4103/ijstd.ijstd_56_24","RegionNum":0,"RegionCategory":null,"ArticlePicture":[],"TitleCN":null,"AbstractTextCN":null,"PMCID":null,"EPubDate":"2024/12/13 0:00:00","PubModel":"Epub","JCR":"Q4","JCRName":"INFECTIOUS DISEASES","Score":null,"Total":0}
引用次数: 0

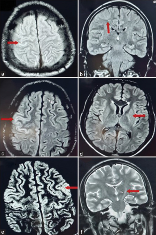
Abstract

A young male with no known addictions and comorbidities presenting with recurrent clonic-myoclonic movements, initially localized to the left corner of the mouth and left upper limb, evolving into epilepsia partialis continua, despite appropriate sequential antiepileptic medications, subsequently progressed to refractory status epilepticus. He was tested positive for HIV infection and his neuroimaging revealed nonenhancing lesions, a novel finding in HIV-related encephalitis. We managed him with intravenous immunoglobulin along with multiple antiepileptic medications and highly active antiretroviral therapy (ART), and he exhibited a rapid clinical recovery over 3 weeks. This case highlights the importance of initiating immunomodulatory therapy promptly at presentation and underscores the challenges of managing drug interactions between antiepileptic drugs and antiretroviral therapy (ART), emphasizing the need for careful selection of medications in HIV-infected individuals.

Abstract Image

Abstract Image

揭示部分持续性癫痫是HIV脑炎的早期指标。
一位年轻男性,没有已知的成瘾和合并症,表现为复发性阵挛-肌阵挛运动,最初局限于左嘴角和左上肢,发展为持续部分性癫痫,尽管适当的序贯抗癫痫药物治疗,随后发展为难固性癫痫持续状态。他被检测为HIV感染阳性,他的神经成像显示非强化病变,这是HIV相关脑炎的一个新发现。我们对他进行静脉注射免疫球蛋白、多种抗癫痫药物和高效抗逆转录病毒治疗(ART),他在3周内表现出快速的临床恢复。该病例强调了在发病时立即开始免疫调节治疗的重要性,并强调了管理抗癫痫药物与抗逆转录病毒治疗(ART)之间药物相互作用的挑战,强调了在艾滋病毒感染者中谨慎选择药物的必要性。
本文章由计算机程序翻译,如有差异,请以英文原文为准。
求助全文
约1分钟内获得全文 求助全文
来源期刊
CiteScore
0.60
自引率
25.00%
发文量
34
×
引用
GB/T 7714-2015
复制
MLA
复制
APA
复制
导出至
BibTeX EndNote RefMan NoteFirst NoteExpress
×
提示
您的信息不完整,为了账户安全,请先补充。
现在去补充
×
提示
您因"违规操作"
具体请查看互助需知
我知道了
×
提示
确定
请完成安全验证×
copy
已复制链接
快去分享给好友吧!
我知道了
右上角分享
点击右上角分享
0
联系我们:info@booksci.cn Book学术提供免费学术资源搜索服务,方便国内外学者检索中英文文献。致力于提供最便捷和优质的服务体验。 Copyright © 2023 布克学术 All rights reserved.
京ICP备2023020795号-1
ghs 京公网安备 11010802042870号
Book学术文献互助
Book学术文献互助群
群 号:604180095
Book学术官方微信