Major Systemic Lupus Erythematosus Exacerbation after Severe Clostridium Difficile Infection: A Case Report.

Q4 Medicine
Mediterranean Journal of Rheumatology Pub Date : 2024-12-31 eCollection Date: 2024-12-01 DOI:10.31138/mjr.190224.msl
Styliani Partalidou, Ioanna Katsigianni, Vasiliki Tara, Elpiniki Retzeperi, Anastasios Radounislis, Ioannis Eleftherios Neofytou, Ioannis Valsamidis, Anthimos Pehlivanidis
{"title":"Major Systemic Lupus Erythematosus Exacerbation after Severe Clostridium Difficile Infection: A Case Report.","authors":"Styliani Partalidou, Ioanna Katsigianni, Vasiliki Tara, Elpiniki Retzeperi, Anastasios Radounislis, Ioannis Eleftherios Neofytou, Ioannis Valsamidis, Anthimos Pehlivanidis","doi":"10.31138/mjr.190224.msl","DOIUrl":null,"url":null,"abstract":"<p><strong>Introduction: </strong>Systemic lupus erythematosus (SLE) is a multisystem autoimmune disease presenting with remission and flares. Relapses may be triggered by various factors, with infections being one of the most common. The following case is the first clostridium difficile infection (CDI)-induced SLE flare that resulted in involvement of organs not previously affected in patient's history before, such as lupus nephritis.</p><p><strong>Case presentation: </strong>We present a case of a 77-year-old woman, who experienced a major flare, involving renal impairment, cardiorespiratory deterioration and pleuritis, along with signs of haemolytic anaemia, three weeks after a severe CDI. She received corticosteroids, rituximab (RTX), and cyclophosphamide (CYC), but the outcome was still fatal.</p><p><strong>Conclusion: </strong>CDI infections are highly increasing in frequency and severity, given the antibiotic tolerance, so clinicians should bear in mind the risk of immune-mediated disorders reactivation.</p>","PeriodicalId":32816,"journal":{"name":"Mediterranean Journal of Rheumatology","volume":"35 4","pages":"684-687"},"PeriodicalIF":0.0000,"publicationDate":"2024-12-31","publicationTypes":"Journal Article","fieldsOfStudy":null,"isOpenAccess":false,"openAccessPdf":"https://www.ncbi.nlm.nih.gov/pmc/articles/PMC11778607/pdf/","citationCount":"0","resultStr":null,"platform":"Semanticscholar","paperid":null,"PeriodicalName":"Mediterranean Journal of Rheumatology","FirstCategoryId":"1085","ListUrlMain":"https://doi.org/10.31138/mjr.190224.msl","RegionNum":0,"RegionCategory":null,"ArticlePicture":[],"TitleCN":null,"AbstractTextCN":null,"PMCID":null,"EPubDate":"2024/12/1 0:00:00","PubModel":"eCollection","JCR":"Q4","JCRName":"Medicine","Score":null,"Total":0}
引用次数: 0

Abstract

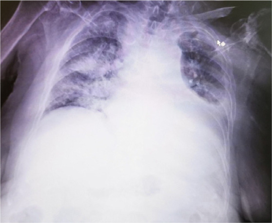
Introduction: Systemic lupus erythematosus (SLE) is a multisystem autoimmune disease presenting with remission and flares. Relapses may be triggered by various factors, with infections being one of the most common. The following case is the first clostridium difficile infection (CDI)-induced SLE flare that resulted in involvement of organs not previously affected in patient's history before, such as lupus nephritis.

Case presentation: We present a case of a 77-year-old woman, who experienced a major flare, involving renal impairment, cardiorespiratory deterioration and pleuritis, along with signs of haemolytic anaemia, three weeks after a severe CDI. She received corticosteroids, rituximab (RTX), and cyclophosphamide (CYC), but the outcome was still fatal.

Conclusion: CDI infections are highly increasing in frequency and severity, given the antibiotic tolerance, so clinicians should bear in mind the risk of immune-mediated disorders reactivation.

Abstract Image

Abstract Image

Abstract Image

严重难辨梭菌感染后严重系统性红斑狼疮加重1例报告。
系统性红斑狼疮(SLE)是一种多系统自身免疫性疾病,表现为缓解和发作。复发可能由多种因素引发,感染是最常见的因素之一。以下病例是第一例艰难梭菌感染(CDI)引起的系统性红斑狼疮发作,累及患者既往未受影响的器官,如狼疮肾炎。病例介绍:我们报告了一位77岁的女性,她在严重CDI三周后出现了严重的急性发作,包括肾脏损害、心肺功能恶化和胸膜炎,并伴有溶血性贫血的迹象。她接受了皮质类固醇、利妥昔单抗(RTX)和环磷酰胺(CYC)治疗,但结果仍然是致命的。结论:考虑到抗生素耐受性,CDI感染的频率和严重程度都在急剧增加,因此临床医生应牢记免疫介导疾病再激活的风险。
本文章由计算机程序翻译,如有差异,请以英文原文为准。
求助全文
约1分钟内获得全文 求助全文
来源期刊
CiteScore
2.00
自引率
0.00%
发文量
42
审稿时长
8 weeks
×
引用
GB/T 7714-2015
复制
MLA
复制
APA
复制
导出至
BibTeX EndNote RefMan NoteFirst NoteExpress
×
提示
您的信息不完整,为了账户安全,请先补充。
现在去补充
×
提示
您因"违规操作"
具体请查看互助需知
我知道了
×
提示
确定
请完成安全验证×
copy
已复制链接
快去分享给好友吧!
我知道了
右上角分享
点击右上角分享
0
联系我们:info@booksci.cn Book学术提供免费学术资源搜索服务,方便国内外学者检索中英文文献。致力于提供最便捷和优质的服务体验。 Copyright © 2023 布克学术 All rights reserved.
京ICP备2023020795号-1
ghs 京公网安备 11010802042870号
Book学术文献互助
Book学术文献互助群
群 号:604180095
Book学术官方微信