Report of a Rare Syndromic Retinal Dystrophy: Asphyxiating Thoracic Dystrophy (Jeune Syndrome)

Q3 Medicine
Turkish Journal of Ophthalmology Pub Date : 2025-02-27 Epub Date: 2025-01-30 DOI:10.4274/tjo.galenos.2024.76574
Batuhan Aksoy, Gülipek Tigrel
{"title":"Report of a Rare Syndromic Retinal Dystrophy: Asphyxiating Thoracic Dystrophy (Jeune Syndrome)","authors":"Batuhan Aksoy, Gülipek Tigrel","doi":"10.4274/tjo.galenos.2024.76574","DOIUrl":null,"url":null,"abstract":"<p><p>Jeune syndrome (JS), first described by Jeune as asphyxiating thoracic dystrophy, is an autosomal recessive osteochondrodysplasia with characteristic skeletal abnormalities and variable renal, hepatic, pancreatic, and ocular complications. Approximately 1 in every 100,000 to 130,000 babies is born with JS. Most patients with JS have respiratory distress due to inadequate lung development and many lose their lives due to respiratory failure. Those who survive have serious comorbidities. In terms of ophthalmological diseases, JS is classified among the hereditary syndromic retinopathies. Most, if not all, hereditary syndromic retinopathies can be analyzed in two main groups: inherited metabolic diseases and ciliopathies. The main cause of ocular pathologies in JS is genetic mutations in ciliary proteins that prevent normal function of retinal photoreceptor cells. Here we describe a patient with JS who presented with the complaint of night blindness. Although Snellen visual acuity was 20/20, the patient’s visual function was severely impaired due to photoreceptor dysfunction caused by ciliopathy secondary to the genetic mutation. This case shows that in patients with syndromic comorbidities accompanying nyctalopia, even those with perfect visual acuity, hereditary retinal dystrophies should be considered and asphyxiating thoracic dystrophy (JS) included in the differential diagnosis. Multimodal retinal imaging, including structural and functional assessments, should be used for the diagnosis and genetic counselling should also be provided.</p>","PeriodicalId":23373,"journal":{"name":"Turkish Journal of Ophthalmology","volume":" ","pages":"53-56"},"PeriodicalIF":0.0000,"publicationDate":"2025-02-27","publicationTypes":"Journal Article","fieldsOfStudy":null,"isOpenAccess":false,"openAccessPdf":"https://www.ncbi.nlm.nih.gov/pmc/articles/PMC11866991/pdf/","citationCount":"0","resultStr":null,"platform":"Semanticscholar","paperid":null,"PeriodicalName":"Turkish Journal of Ophthalmology","FirstCategoryId":"1085","ListUrlMain":"https://doi.org/10.4274/tjo.galenos.2024.76574","RegionNum":0,"RegionCategory":null,"ArticlePicture":[],"TitleCN":null,"AbstractTextCN":null,"PMCID":null,"EPubDate":"2025/1/30 0:00:00","PubModel":"Epub","JCR":"Q3","JCRName":"Medicine","Score":null,"Total":0}
引用次数: 0

Abstract

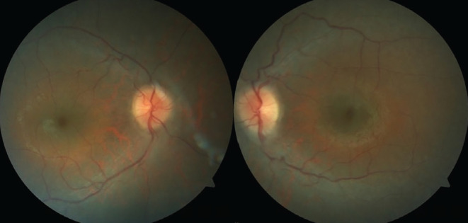
Jeune syndrome (JS), first described by Jeune as asphyxiating thoracic dystrophy, is an autosomal recessive osteochondrodysplasia with characteristic skeletal abnormalities and variable renal, hepatic, pancreatic, and ocular complications. Approximately 1 in every 100,000 to 130,000 babies is born with JS. Most patients with JS have respiratory distress due to inadequate lung development and many lose their lives due to respiratory failure. Those who survive have serious comorbidities. In terms of ophthalmological diseases, JS is classified among the hereditary syndromic retinopathies. Most, if not all, hereditary syndromic retinopathies can be analyzed in two main groups: inherited metabolic diseases and ciliopathies. The main cause of ocular pathologies in JS is genetic mutations in ciliary proteins that prevent normal function of retinal photoreceptor cells. Here we describe a patient with JS who presented with the complaint of night blindness. Although Snellen visual acuity was 20/20, the patient’s visual function was severely impaired due to photoreceptor dysfunction caused by ciliopathy secondary to the genetic mutation. This case shows that in patients with syndromic comorbidities accompanying nyctalopia, even those with perfect visual acuity, hereditary retinal dystrophies should be considered and asphyxiating thoracic dystrophy (JS) included in the differential diagnosis. Multimodal retinal imaging, including structural and functional assessments, should be used for the diagnosis and genetic counselling should also be provided.

Abstract Image

Abstract Image

Abstract Image

一例罕见综合征性视网膜营养不良:窒息性胸椎营养不良(Jeune综合征)。
Jeune综合征(JS)最初被Jeune描述为窒息性胸部营养不良,是一种常染色体隐性骨软骨发育不良,具有特征性骨骼异常和可变的肾脏、肝脏、胰腺和眼部并发症。大约每10万到13万名婴儿中就有1名患有JS。大多数JS患者由于肺部发育不全而出现呼吸窘迫,许多患者因呼吸衰竭而失去生命。那些存活下来的人有严重的合并症。在眼科疾病方面,JS属于遗传性综合征视网膜病变。大多数(如果不是全部的话)遗传性综合征视网膜病变可以分为两大类:遗传性代谢性疾病和纤毛病。JS眼部病变的主要原因是睫状体蛋白的基因突变阻止了视网膜感光细胞的正常功能。在这里,我们描述了一位以夜盲症为主诉的JS患者。虽然Snellen视力为20/20,但由于继发于基因突变的纤毛病引起的光感受器功能障碍,患者的视觉功能严重受损。本病例提示,在伴有色盲的综合征合并症患者中,即使是视力完美的患者,也应考虑遗传性视网膜营养不良,并将窒息性胸椎营养不良(窒息性胸椎营养不良)纳入鉴别诊断。多模态视网膜成像,包括结构和功能评估,应用于诊断,还应提供遗传咨询。
本文章由计算机程序翻译,如有差异,请以英文原文为准。
求助全文
约1分钟内获得全文 求助全文
来源期刊
Turkish Journal of Ophthalmology
Turkish Journal of Ophthalmology Medicine-Ophthalmology
CiteScore
2.20
自引率
0.00%
发文量
0
期刊介绍: The Turkish Journal of Ophthalmology (TJO) is the only scientific periodical publication of the Turkish Ophthalmological Association and has been published since January 1929. In its early years, the journal was published in Turkish and French. Although there were temporary interruptions in the publication of the journal due to various challenges, the Turkish Journal of Ophthalmology has been published continually from 1971 to the present. The target audience includes specialists and physicians in training in ophthalmology in all relevant disciplines.
×
引用
GB/T 7714-2015
复制
MLA
复制
APA
复制
导出至
BibTeX EndNote RefMan NoteFirst NoteExpress
×
提示
您的信息不完整,为了账户安全,请先补充。
现在去补充
×
提示
您因"违规操作"
具体请查看互助需知
我知道了
×
提示
确定
请完成安全验证×
copy
已复制链接
快去分享给好友吧!
我知道了
右上角分享
点击右上角分享
0
联系我们:info@booksci.cn Book学术提供免费学术资源搜索服务,方便国内外学者检索中英文文献。致力于提供最便捷和优质的服务体验。 Copyright © 2023 布克学术 All rights reserved.
京ICP备2023020795号-1
ghs 京公网安备 11010802042870号
Book学术文献互助
Book学术文献互助群
群 号:604180095
Book学术官方微信