Long-Term Intracranial Progression-Free Survival in Lung Cancer Brain Metastases Extended Beyond 50 Months with Gubenxiaoyi Formula (GBXY): A Groundbreaking Case Study.

IF 2.8 3区 医学 Q2 INTEGRATIVE & COMPLEMENTARY MEDICINE
Zhengzheng Yang, Haiming Li, Lei Chen, Shujiao Li, Dong Chen, Taicheng Lu, Tongjing Ding, Ruiyang Han, Peiyu Cheng, Xiaomin Wang
{"title":"Long-Term Intracranial Progression-Free Survival in Lung Cancer Brain Metastases Extended Beyond 50 Months with Gubenxiaoyi Formula (GBXY): A Groundbreaking Case Study.","authors":"Zhengzheng Yang, Haiming Li, Lei Chen, Shujiao Li, Dong Chen, Taicheng Lu, Tongjing Ding, Ruiyang Han, Peiyu Cheng, Xiaomin Wang","doi":"10.1177/15347354241313334","DOIUrl":null,"url":null,"abstract":"<p><strong>Background: </strong>The prevalence of brain metastases (BM) in lung cancer patients is notably high and is associated with poor prognoses. The efficacy of standard treatment regimens in improving intracranial progression-free survival (IPFS) for lung cancer BM is markedly limited. While traditional Chinese medicine (TCM) has been effective in enhancing the quality of life and prognosis of lung cancer patients, its efficacy in treating BM remains unreported.</p><p><strong>Case presentation: </strong>Here, we present a case of a middle-aged female with lung cancer BM, whose condition was assessed as progressive post-standard treatment including two local surgeries (both involving resection of cerebellar space-occupying lesions), stereotactic radiotherapy, chemotherapy and EGFR-TKIs. Subsequently, she underwent treatment with the traditional Chinese herbal formula gubenxiaoyi (GBXY). The patient was treated with GBXY for a total duration of 55 months. After treatment, a significant reduction of about 50% in intracranial lesions was observed, accompanied by an extension of both Intracranial Progression-Free Survival (IPFS) and Cognitive Deterioration-Free Survival (CDFS) exceeding 50 months.</p><p><strong>Conclusion: </strong>These results demonstrate that in patients with lung cancer brain metastases (BM) unresponsive to standard treatments, GBXY not only has the potential to effectively prolong IPFS and decelerate cognitive decline, but may also contribute to a reduction in intracranial tumor burden. This suggests that GBXY could be a promising therapeutic option that warrants further investigation.</p>","PeriodicalId":13734,"journal":{"name":"Integrative Cancer Therapies","volume":"24 ","pages":"15347354241313334"},"PeriodicalIF":2.8000,"publicationDate":"2025-01-01","publicationTypes":"Journal Article","fieldsOfStudy":null,"isOpenAccess":false,"openAccessPdf":"https://www.ncbi.nlm.nih.gov/pmc/articles/PMC11780649/pdf/","citationCount":"0","resultStr":null,"platform":"Semanticscholar","paperid":null,"PeriodicalName":"Integrative Cancer Therapies","FirstCategoryId":"3","ListUrlMain":"https://doi.org/10.1177/15347354241313334","RegionNum":3,"RegionCategory":"医学","ArticlePicture":[],"TitleCN":null,"AbstractTextCN":null,"PMCID":null,"EPubDate":"","PubModel":"","JCR":"Q2","JCRName":"INTEGRATIVE & COMPLEMENTARY MEDICINE","Score":null,"Total":0}
引用次数: 0

Abstract

Background: The prevalence of brain metastases (BM) in lung cancer patients is notably high and is associated with poor prognoses. The efficacy of standard treatment regimens in improving intracranial progression-free survival (IPFS) for lung cancer BM is markedly limited. While traditional Chinese medicine (TCM) has been effective in enhancing the quality of life and prognosis of lung cancer patients, its efficacy in treating BM remains unreported.

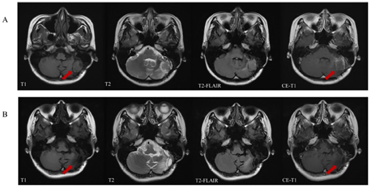
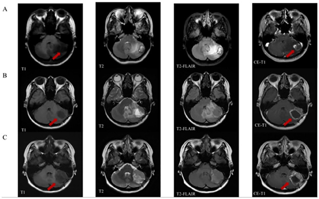
Case presentation: Here, we present a case of a middle-aged female with lung cancer BM, whose condition was assessed as progressive post-standard treatment including two local surgeries (both involving resection of cerebellar space-occupying lesions), stereotactic radiotherapy, chemotherapy and EGFR-TKIs. Subsequently, she underwent treatment with the traditional Chinese herbal formula gubenxiaoyi (GBXY). The patient was treated with GBXY for a total duration of 55 months. After treatment, a significant reduction of about 50% in intracranial lesions was observed, accompanied by an extension of both Intracranial Progression-Free Survival (IPFS) and Cognitive Deterioration-Free Survival (CDFS) exceeding 50 months.

Conclusion: These results demonstrate that in patients with lung cancer brain metastases (BM) unresponsive to standard treatments, GBXY not only has the potential to effectively prolong IPFS and decelerate cognitive decline, but may also contribute to a reduction in intracranial tumor burden. This suggests that GBXY could be a promising therapeutic option that warrants further investigation.

Abstract Image

Abstract Image

Abstract Image

固本消益方(GBXY)治疗50个月以上肺癌脑转移患者的长期颅内无进展生存期:一个开创性的案例研究
背景:肺癌患者脑转移(BM)的患病率非常高,并且与预后不良有关。标准治疗方案在改善肺癌BM的颅内无进展生存期(IPFS)方面的疗效明显有限。虽然中药在改善肺癌患者的生活质量和预后方面是有效的,但其治疗BM的疗效尚未见报道。病例介绍:在这里,我们报告了一例中年女性肺癌BM,其病情评估为进行性标准后治疗,包括两次局部手术(均涉及小脑占位性病变切除),立体定向放疗,化疗和EGFR-TKIs。随后,她接受中药固本消益(GBXY)治疗。患者接受GBXY治疗共55个月。治疗后,观察到颅内病变显著减少约50%,并伴有颅内无进展生存期(IPFS)和无认知恶化生存期(CDFS)延长超过50个月。结论:这些结果表明,在标准治疗无效的肺癌脑转移(BM)患者中,GBXY不仅有可能有效延长IPFS和减缓认知能力下降,而且可能有助于减少颅内肿瘤负担。这表明GBXY可能是一种有前景的治疗选择,值得进一步研究。
本文章由计算机程序翻译,如有差异,请以英文原文为准。
求助全文
约1分钟内获得全文 求助全文
来源期刊
Integrative Cancer Therapies
Integrative Cancer Therapies 医学-全科医学与补充医学
CiteScore
4.80
自引率
3.40%
发文量
78
审稿时长
>12 weeks
期刊介绍: ICT is the first journal to spearhead and focus on a new and growing movement in cancer treatment. The journal emphasizes scientific understanding of alternative medicine and traditional medicine therapies, and their responsible integration with conventional health care. Integrative care includes therapeutic interventions in diet, lifestyle, exercise, stress care, and nutritional supplements, as well as experimental vaccines, chrono-chemotherapy, and other advanced treatments. Contributors are leading oncologists, researchers, nurses, and health-care professionals.
×
引用
GB/T 7714-2015
复制
MLA
复制
APA
复制
导出至
BibTeX EndNote RefMan NoteFirst NoteExpress
×
提示
您的信息不完整,为了账户安全,请先补充。
现在去补充
×
提示
您因"违规操作"
具体请查看互助需知
我知道了
×
提示
确定
请完成安全验证×
copy
已复制链接
快去分享给好友吧!
我知道了
右上角分享
点击右上角分享
0
联系我们:info@booksci.cn Book学术提供免费学术资源搜索服务,方便国内外学者检索中英文文献。致力于提供最便捷和优质的服务体验。 Copyright © 2023 布克学术 All rights reserved.
京ICP备2023020795号-1
ghs 京公网安备 11010802042870号
Book学术文献互助
Book学术文献互助群
群 号:604180095
Book学术官方微信