Simultaneous total hip and knee arthroplasties in hemophilic arthropathy: series of 5 cases.

IF 1
Özgür Mert Bakan, Arman Vahabi, Elcil Kaya Biçer, Fahri Şahin, Kaan Kavaklı, Semih Aydoğdu
{"title":"Simultaneous total hip and knee arthroplasties in hemophilic arthropathy: series of 5 cases.","authors":"Özgür Mert Bakan, Arman Vahabi, Elcil Kaya Biçer, Fahri Şahin, Kaan Kavaklı, Semih Aydoğdu","doi":"10.5152/j.aott.2024.24044","DOIUrl":null,"url":null,"abstract":"<p><strong>Objective: </strong>This study aimed to compare preoperative and postoperative measures in haemophiliacs who had simultaneous total hip and knee arthroplasties.</p><p><strong>Methods: </strong>A retrospective database search identified five patients with severe factor 8 deficiencies who underwent simultaneous hip and knee joint replacement surgery between 2002-2018. Preoperative and postoperative evaluations included Harris Hip Score (HHS), Knee Society Score (KSS), Knee Injury and Osteoarthritis Outcome Score (KOOS), range of motion, flexion contracture (FC), Visual Analog Scale (VAS), hip-knee angle, and leg length discrepancy.</p><p><strong>Results: </strong>The mean age of the patients was 50.8 years, with a mean follow-up duration of 60 months. Preoperative knee ROM was 55 degrees, improving to 73.8 degrees postoperatively. Preoperative knee FC was 13.7 degrees, improving to 10 degrees postoperatively. HHS increased from 45.6 to 75.7, KSS increased from 36 to 69.3, and KOOS total score increased from 34.4 to 82.7. VAS scores decreased from 6.3 to 1.3. One patient experienced prolonged bleeding and subsequent complications, while the others showed significant improvements.</p><p><strong>Conclusion: </strong>Simultaneous hip and knee arthroplasties in hemophiliacs may provide benefits in terms of physical and functional gains. However, the increased risk of complications necessitates careful patient selection. For patients with comorbidities, staged surgeries may be advisable to avoid potential complications.</p><p><strong>Level of evidence: </strong>Level IV, Therapeutic study.</p>","PeriodicalId":93854,"journal":{"name":"Acta orthopaedica et traumatologica turcica","volume":"58 6","pages":"336-340"},"PeriodicalIF":1.0000,"publicationDate":"2024-12-31","publicationTypes":"Journal Article","fieldsOfStudy":null,"isOpenAccess":false,"openAccessPdf":"https://www.ncbi.nlm.nih.gov/pmc/articles/PMC11740237/pdf/","citationCount":"0","resultStr":null,"platform":"Semanticscholar","paperid":null,"PeriodicalName":"Acta orthopaedica et traumatologica turcica","FirstCategoryId":"1085","ListUrlMain":"https://doi.org/10.5152/j.aott.2024.24044","RegionNum":0,"RegionCategory":null,"ArticlePicture":[],"TitleCN":null,"AbstractTextCN":null,"PMCID":null,"EPubDate":"","PubModel":"","JCR":"","JCRName":"","Score":null,"Total":0}
引用次数: 0

Abstract

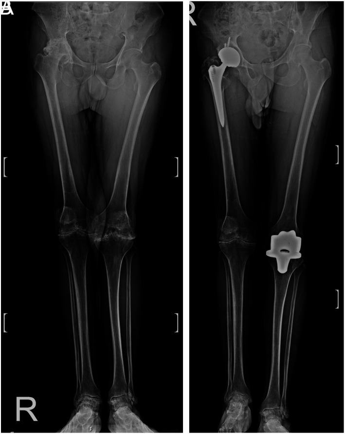
Objective: This study aimed to compare preoperative and postoperative measures in haemophiliacs who had simultaneous total hip and knee arthroplasties.

Methods: A retrospective database search identified five patients with severe factor 8 deficiencies who underwent simultaneous hip and knee joint replacement surgery between 2002-2018. Preoperative and postoperative evaluations included Harris Hip Score (HHS), Knee Society Score (KSS), Knee Injury and Osteoarthritis Outcome Score (KOOS), range of motion, flexion contracture (FC), Visual Analog Scale (VAS), hip-knee angle, and leg length discrepancy.

Results: The mean age of the patients was 50.8 years, with a mean follow-up duration of 60 months. Preoperative knee ROM was 55 degrees, improving to 73.8 degrees postoperatively. Preoperative knee FC was 13.7 degrees, improving to 10 degrees postoperatively. HHS increased from 45.6 to 75.7, KSS increased from 36 to 69.3, and KOOS total score increased from 34.4 to 82.7. VAS scores decreased from 6.3 to 1.3. One patient experienced prolonged bleeding and subsequent complications, while the others showed significant improvements.

Conclusion: Simultaneous hip and knee arthroplasties in hemophiliacs may provide benefits in terms of physical and functional gains. However, the increased risk of complications necessitates careful patient selection. For patients with comorbidities, staged surgeries may be advisable to avoid potential complications.

Level of evidence: Level IV, Therapeutic study.

Abstract Image

Abstract Image

Abstract Image

血友病并发全髋关节和膝关节置换术:附5例分析。
目的:本研究旨在比较血友病患者同时行全髋关节和膝关节置换术的术前和术后措施。方法:回顾性数据库检索确定了2002-2018年期间同时接受髋关节和膝关节置换手术的5例严重因子8缺乏症患者。术前和术后评估包括Harris髋关节评分(HHS)、膝关节社会评分(KSS)、膝关节损伤和骨关节炎结局评分(oos)、活动范围、屈曲挛缩(FC)、视觉模拟量表(VAS)、髋关节角度和腿长差异。结果:患者平均年龄50.8岁,平均随访时间60个月。术前膝关节ROM为55度,术后改善至73.8度。术前膝关节FC为13.7度,术后改善至10度。HHS从45.6分提高到75.7分,KSS从36分提高到69.3分,kos总分从34.4分提高到82.7分。VAS评分由6.3降至1.3。一名患者经历了长期出血和随后的并发症,而其他患者则有显著改善。结论:血友病患者同时行髋关节和膝关节置换术可能在身体和功能方面获益。然而,并发症风险的增加需要仔细选择患者。对于有合并症的患者,分期手术是可取的,以避免潜在的并发症。证据等级:IV级,治疗性研究。
本文章由计算机程序翻译,如有差异,请以英文原文为准。
求助全文
约1分钟内获得全文 求助全文
来源期刊
自引率
0.00%
发文量
0
×
引用
GB/T 7714-2015
复制
MLA
复制
APA
复制
导出至
BibTeX EndNote RefMan NoteFirst NoteExpress
×
提示
您的信息不完整,为了账户安全,请先补充。
现在去补充
×
提示
您因"违规操作"
具体请查看互助需知
我知道了
×
提示
确定
请完成安全验证×
copy
已复制链接
快去分享给好友吧!
我知道了
右上角分享
点击右上角分享
0
联系我们:info@booksci.cn Book学术提供免费学术资源搜索服务,方便国内外学者检索中英文文献。致力于提供最便捷和优质的服务体验。 Copyright © 2023 布克学术 All rights reserved.
京ICP备2023020795号-1
ghs 京公网安备 11010802042870号
Book学术文献互助
Book学术文献互助群
群 号:604180095
Book学术官方微信