SALL4 as a Useful Marker for the Distinction of Various Gestational Trophoblastic Disease Subtypes: Choriocarcinoma From Other Trophoblastic Lesions and Early Complete Hydatidiform Mole From Partial Mole and NonMolar Villi.

IF 4.2 1区 医学 Q1 PATHOLOGY
American Journal of Surgical Pathology Pub Date : 2025-05-01 Epub Date: 2025-01-29 DOI:10.1097/PAS.0000000000002358
Alexis Trecourt, Marie Donzel, Lucie Gaillot-Durand, Pierre A Bolze, François Golfier, Pierre Descargues, Touria Hajri, Claire Mauduit, Mojgan Devouassoux-Shisheboran, Fabienne Allias
{"title":"SALL4 as a Useful Marker for the Distinction of Various Gestational Trophoblastic Disease Subtypes: Choriocarcinoma From Other Trophoblastic Lesions and Early Complete Hydatidiform Mole From Partial Mole and NonMolar Villi.","authors":"Alexis Trecourt, Marie Donzel, Lucie Gaillot-Durand, Pierre A Bolze, François Golfier, Pierre Descargues, Touria Hajri, Claire Mauduit, Mojgan Devouassoux-Shisheboran, Fabienne Allias","doi":"10.1097/PAS.0000000000002358","DOIUrl":null,"url":null,"abstract":"<p><p>The distinction between choriocarcinoma and residual trophoblastic cell proliferation from a complete hydatidiform mole/invasive mole (CHM/IM) without villi is challenging on curettage materials. We investigated whether SALL4 immunostaining could help differentiate various gestational trophoblastic diseases. Placental site nodules (PSN; n=10), atypical PSN (APSN; n=8), placental site trophoblastic tumors (PSTT; n=9), epithelioid trophoblastic tumors (ETT; n=5), gestational choriocarcinomas (n=31), partial hydatidiform moles (PHM; n=13), CHM/IM (n=47), and nonmolar products of conception (POC) (n=26) were included. SALL4 immunostaining was quantified (0 [1% to 10%], [11% to 100%]) and characterized (scattered single-cell or clustered nuclear positivity) in 2 locations: cytotrophoblast/intermediate trophoblast and villous stromal fibroblasts. A diffuse (11% to 100%) and clustered pattern of SALL4 immunostaining in cytotrophoblast/intermediate trophoblast was statistically associated with choriocarcinomas (74.2%, 23/31) as compared with PSN (0/10; P <0.0001), APSN (0/8; P =0.0002), PSTT (0/9; P <0.0001), ETT (0/5; P =0.0034), PHM (0/13; P <0.0001), CHM/IM (0/47; P <0.0001), and nonmolar POC (0/26; P <0.0001). Most nonchoriocarcinoma samples showed no SALL4 expression; when present, it was of low level (1% to 10%) and with a scattered single-cell staining in 3/9 PSTT (33%), 1/13 PHM (7.7%), 19/47 CHM/IM (40%), and 1/26 nonmolar POC (1.7%). These results were confirmed using a validation cohort. In addition, 66% (31/47) of CHM/IM villous stromal fibroblasts showed SALL4 expression (11% to 100%) (all before 14 gestational weeks), whereas this level of expression was never observed in PHM (0/13), nor in nonmolar POC (0/26; P <0.0001). Finally, a clustered and >10% SALL4 immunostaining in cytotrophoblast/intermediate trophoblast favors choriocarcinoma diagnosis. SALL4 expression in >10% villous stromal fibroblasts before 14 gestational weeks favors CHM/IM rather than PHM and nonmolar POC.</p>","PeriodicalId":7772,"journal":{"name":"American Journal of Surgical Pathology","volume":" ","pages":"417-428"},"PeriodicalIF":4.2000,"publicationDate":"2025-05-01","publicationTypes":"Journal Article","fieldsOfStudy":null,"isOpenAccess":false,"openAccessPdf":"https://www.ncbi.nlm.nih.gov/pmc/articles/PMC11984545/pdf/","citationCount":"0","resultStr":null,"platform":"Semanticscholar","paperid":null,"PeriodicalName":"American Journal of Surgical Pathology","FirstCategoryId":"3","ListUrlMain":"https://doi.org/10.1097/PAS.0000000000002358","RegionNum":1,"RegionCategory":"医学","ArticlePicture":[],"TitleCN":null,"AbstractTextCN":null,"PMCID":null,"EPubDate":"2025/1/29 0:00:00","PubModel":"Epub","JCR":"Q1","JCRName":"PATHOLOGY","Score":null,"Total":0}
引用次数: 0

Abstract

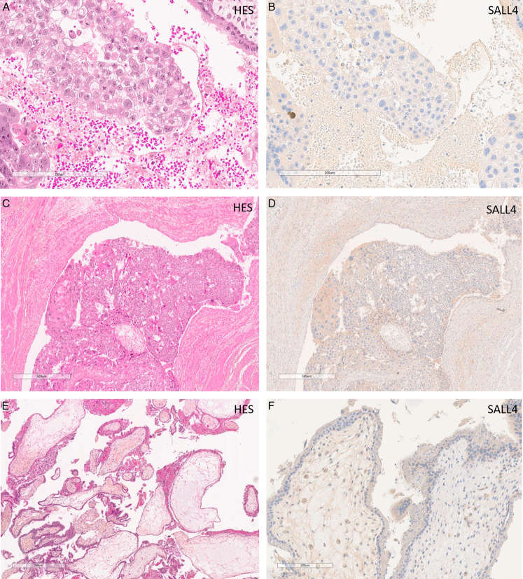
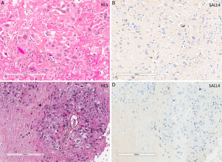
The distinction between choriocarcinoma and residual trophoblastic cell proliferation from a complete hydatidiform mole/invasive mole (CHM/IM) without villi is challenging on curettage materials. We investigated whether SALL4 immunostaining could help differentiate various gestational trophoblastic diseases. Placental site nodules (PSN; n=10), atypical PSN (APSN; n=8), placental site trophoblastic tumors (PSTT; n=9), epithelioid trophoblastic tumors (ETT; n=5), gestational choriocarcinomas (n=31), partial hydatidiform moles (PHM; n=13), CHM/IM (n=47), and nonmolar products of conception (POC) (n=26) were included. SALL4 immunostaining was quantified (0 [1% to 10%], [11% to 100%]) and characterized (scattered single-cell or clustered nuclear positivity) in 2 locations: cytotrophoblast/intermediate trophoblast and villous stromal fibroblasts. A diffuse (11% to 100%) and clustered pattern of SALL4 immunostaining in cytotrophoblast/intermediate trophoblast was statistically associated with choriocarcinomas (74.2%, 23/31) as compared with PSN (0/10; P <0.0001), APSN (0/8; P =0.0002), PSTT (0/9; P <0.0001), ETT (0/5; P =0.0034), PHM (0/13; P <0.0001), CHM/IM (0/47; P <0.0001), and nonmolar POC (0/26; P <0.0001). Most nonchoriocarcinoma samples showed no SALL4 expression; when present, it was of low level (1% to 10%) and with a scattered single-cell staining in 3/9 PSTT (33%), 1/13 PHM (7.7%), 19/47 CHM/IM (40%), and 1/26 nonmolar POC (1.7%). These results were confirmed using a validation cohort. In addition, 66% (31/47) of CHM/IM villous stromal fibroblasts showed SALL4 expression (11% to 100%) (all before 14 gestational weeks), whereas this level of expression was never observed in PHM (0/13), nor in nonmolar POC (0/26; P <0.0001). Finally, a clustered and >10% SALL4 immunostaining in cytotrophoblast/intermediate trophoblast favors choriocarcinoma diagnosis. SALL4 expression in >10% villous stromal fibroblasts before 14 gestational weeks favors CHM/IM rather than PHM and nonmolar POC.

Abstract Image

Abstract Image

Abstract Image

SALL4作为区分各种妊娠滋养细胞疾病亚型的有用标记:绒毛膜癌与其他滋养细胞病变,早期完全葡萄胎与部分葡萄胎和非磨牙绒毛。
绒毛膜癌与完全无绒毛的葡萄胎/侵袭性葡萄胎(CHM/IM)残余滋养细胞增殖的区别在刮除材料上具有挑战性。我们研究了SALL4免疫染色是否可以帮助鉴别各种妊娠滋养细胞疾病。胎盘结节(PSN);n=10),非典型PSN (APSN;n=8),胎盘部位滋养细胞肿瘤(PSTT;n=9),上皮样滋养细胞肿瘤(ETT;n=5),妊娠绒毛膜癌(n=31),部分葡萄胎痣(PHM;n=13), CHM/IM (n=47)和非摩尔受孕产物(POC) (n=26)。SALL4免疫染色定量(0[1% ~ 10%],[11% ~ 100%]),并在细胞滋养细胞/中间滋养细胞和绒毛间质成纤维细胞两个位置表现为分散的单细胞或聚集性核阳性。与PSN(0/10)相比,细胞滋养细胞/中间滋养细胞中弥漫性(11%至100%)和聚集性SALL4免疫染色与绒毛膜癌有统计学相关性(74.2%,23/31);细胞滋养细胞/中间滋养细胞P10% SALL4免疫染色有利于绒毛膜癌的诊断。14周前,SALL4在> - 10%的绒毛间质成纤维细胞中的表达有利于CHM/IM,而不是PHM和非臼齿POC。
本文章由计算机程序翻译,如有差异,请以英文原文为准。
求助全文
约1分钟内获得全文 求助全文
来源期刊
CiteScore
10.30
自引率
5.40%
发文量
295
审稿时长
1 months
期刊介绍: The American Journal of Surgical Pathology has achieved worldwide recognition for its outstanding coverage of the state of the art in human surgical pathology. In each monthly issue, experts present original articles, review articles, detailed case reports, and special features, enhanced by superb illustrations. Coverage encompasses technical methods, diagnostic aids, and frozen-section diagnosis, in addition to detailed pathologic studies of a wide range of disease entities. Official Journal of The Arthur Purdy Stout Society of Surgical Pathologists and The Gastrointestinal Pathology Society.
×
引用
GB/T 7714-2015
复制
MLA
复制
APA
复制
导出至
BibTeX EndNote RefMan NoteFirst NoteExpress
×
提示
您的信息不完整,为了账户安全,请先补充。
现在去补充
×
提示
您因"违规操作"
具体请查看互助需知
我知道了
×
提示
确定
请完成安全验证×
copy
已复制链接
快去分享给好友吧!
我知道了
右上角分享
点击右上角分享
0
联系我们:info@booksci.cn Book学术提供免费学术资源搜索服务,方便国内外学者检索中英文文献。致力于提供最便捷和优质的服务体验。 Copyright © 2023 布克学术 All rights reserved.
京ICP备2023020795号-1
ghs 京公网安备 11010802042870号
Book学术文献互助
Book学术文献互助群
群 号:604180095
Book学术官方微信