Recurrent Poorly Differentiated Thyroid Cancer Successfully Treated With Radiation and Immunotherapy.

JCEM case reports Pub Date : 2025-01-24 eCollection Date: 2025-02-01 DOI:10.1210/jcemcr/luaf015
Sarah Hamidi, Matthew S Ning, Jack Phan, Mark E Zafereo, Maria K Gule-Monroe, Ramona Dadu
{"title":"Recurrent Poorly Differentiated Thyroid Cancer Successfully Treated With Radiation and Immunotherapy.","authors":"Sarah Hamidi, Matthew S Ning, Jack Phan, Mark E Zafereo, Maria K Gule-Monroe, Ramona Dadu","doi":"10.1210/jcemcr/luaf015","DOIUrl":null,"url":null,"abstract":"<p><p>A 65-year-old patient presented with recurrent, locally advanced poorly differentiated thyroid cancer despite 2 neck surgeries, and with newly diagnosed brain and skull base metastases. He was treated with palliative stereotactic radiosurgery to the brain and skull base lesions. Thereafter, as no targetable genetic alteration was identified and antiangiogenic multikinase inhibitors were deemed at high risk of hemorrhagic complications, off-label systemic therapies were considered. The mechanistic target of rapamycin (mTOR) inhibitor everolimus could not be obtained due to lack of insurance coverage, so the patient was treated with single-agent pembrolizumab. He showed an initial remarkable response, but unfortunately had disease progression in the neck and upper mediastinum after 1 year of therapy. At that time, he was treated with external beam radiotherapy, with concomitant pembrolizumab. He was then found to have an <i>CTSB::ALK</i> fusion, which has previously been described in 2 cases of thyroid cancer. However, as he showed a positive response to radiation with pembrolizumab, he continued single-agent immune checkpoint inhibition and had a persistent marked response almost a year after completing radiation. The patient was then followed at an outside institution and was transitioned to hospice at time of progression per his preference. He died 4 years after his initial diagnosis.</p>","PeriodicalId":73540,"journal":{"name":"JCEM case reports","volume":"3 2","pages":"luaf015"},"PeriodicalIF":0.0000,"publicationDate":"2025-01-24","publicationTypes":"Journal Article","fieldsOfStudy":null,"isOpenAccess":false,"openAccessPdf":"https://www.ncbi.nlm.nih.gov/pmc/articles/PMC11758140/pdf/","citationCount":"0","resultStr":null,"platform":"Semanticscholar","paperid":null,"PeriodicalName":"JCEM case reports","FirstCategoryId":"1085","ListUrlMain":"https://doi.org/10.1210/jcemcr/luaf015","RegionNum":0,"RegionCategory":null,"ArticlePicture":[],"TitleCN":null,"AbstractTextCN":null,"PMCID":null,"EPubDate":"2025/2/1 0:00:00","PubModel":"eCollection","JCR":"","JCRName":"","Score":null,"Total":0}
引用次数: 0

Abstract

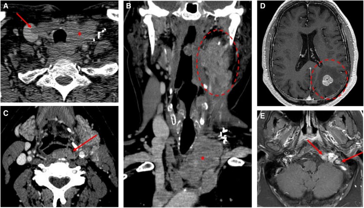
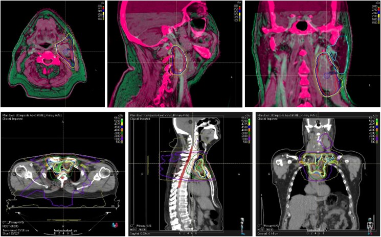
A 65-year-old patient presented with recurrent, locally advanced poorly differentiated thyroid cancer despite 2 neck surgeries, and with newly diagnosed brain and skull base metastases. He was treated with palliative stereotactic radiosurgery to the brain and skull base lesions. Thereafter, as no targetable genetic alteration was identified and antiangiogenic multikinase inhibitors were deemed at high risk of hemorrhagic complications, off-label systemic therapies were considered. The mechanistic target of rapamycin (mTOR) inhibitor everolimus could not be obtained due to lack of insurance coverage, so the patient was treated with single-agent pembrolizumab. He showed an initial remarkable response, but unfortunately had disease progression in the neck and upper mediastinum after 1 year of therapy. At that time, he was treated with external beam radiotherapy, with concomitant pembrolizumab. He was then found to have an CTSB::ALK fusion, which has previously been described in 2 cases of thyroid cancer. However, as he showed a positive response to radiation with pembrolizumab, he continued single-agent immune checkpoint inhibition and had a persistent marked response almost a year after completing radiation. The patient was then followed at an outside institution and was transitioned to hospice at time of progression per his preference. He died 4 years after his initial diagnosis.

Abstract Image

Abstract Image

Abstract Image

放射和免疫治疗成功治疗复发性低分化甲状腺癌。
一名 65 岁的患者因局部晚期分化不良的甲状腺癌复发而就诊,尽管接受了两次颈部手术,但新诊断出脑和颅底转移。他接受了针对脑部和颅底病灶的姑息性立体定向放射外科治疗。此后,由于没有发现可靶向的基因改变,而抗血管生成多激酶抑制剂被认为具有出血并发症的高风险,因此考虑采用标签外的系统疗法。由于缺乏保险保障,患者无法获得雷帕霉素机制靶点(mTOR)抑制剂依维莫司,因此接受了单药彭博利珠单抗治疗。他最初出现了明显的反应,但不幸的是,治疗一年后,颈部和上纵隔的疾病出现了进展。当时,他接受了外照射放疗,并同时使用了 Pembrolizumab。随后,他被发现患有CTSB::ALK融合,这种融合以前曾在两例甲状腺癌中出现过。然而,由于他对使用 pembrolizumab 的放射治疗显示出阳性反应,他继续使用单药免疫检查点抑制剂,并在完成放射治疗近一年后持续出现明显反应。随后,患者在一家外部机构接受了随访,并在病情恶化时按其意愿转入临终关怀。他在初次确诊 4 年后去世。
本文章由计算机程序翻译,如有差异,请以英文原文为准。
求助全文
约1分钟内获得全文 求助全文
来源期刊
自引率
0.00%
发文量
0
×
引用
GB/T 7714-2015
复制
MLA
复制
APA
复制
导出至
BibTeX EndNote RefMan NoteFirst NoteExpress
×
提示
您的信息不完整,为了账户安全,请先补充。
现在去补充
×
提示
您因"违规操作"
具体请查看互助需知
我知道了
×
提示
确定
请完成安全验证×
copy
已复制链接
快去分享给好友吧!
我知道了
右上角分享
点击右上角分享
0
联系我们:info@booksci.cn Book学术提供免费学术资源搜索服务,方便国内外学者检索中英文文献。致力于提供最便捷和优质的服务体验。 Copyright © 2023 布克学术 All rights reserved.
京ICP备2023020795号-1
ghs 京公网安备 11010802042870号
Book学术文献互助
Book学术文献互助群
群 号:604180095
Book学术官方微信