Metastatic Insulinoma Managed With Continuous Glucose Monitoring in a Young Female Patient.

JCEM case reports Pub Date : 2025-01-24 eCollection Date: 2025-02-01 DOI:10.1210/jcemcr/luaf005
Darya Bondarenko, Franklin L Thelmo, Monika K Shirodkar
{"title":"Metastatic Insulinoma Managed With Continuous Glucose Monitoring in a Young Female Patient.","authors":"Darya Bondarenko, Franklin L Thelmo, Monika K Shirodkar","doi":"10.1210/jcemcr/luaf005","DOIUrl":null,"url":null,"abstract":"<p><p>Insulinomas are rare neuroendocrine neoplasms and causes of hypoglycemia. They present with neuroglycopenic symptoms, including confusion and seizures. Suspected diagnosis must be confirmed through bloodwork and imaging. The majority of insulinomas are benign and cured surgically; less than 10% of insulinomas are malignant. Malignant insulinomas present a unique and rare challenge in managing persistent hypoglycemia and tumor burden. We present a case of a young woman who presented with Whipple triad and high-grade masses in her pancreas, liver, and distant lymph node metastases on imaging. Insulinoma was diagnosed. Hypoglycemia was managed with continuous dextrose infusion, diazoxide, and lanreotide. She was discharged on medical management and a continuous glucose monitor. Her metastatic disease is being treated with a capecitabine and temozolomide (CAPTEM) regimen showing 30% reduction in tumor burden. In conjunction with the National Institutes of Health, she is undergoing evaluation with numerous neuroendocrine tumor surgeons for cytoreductive surgery.</p>","PeriodicalId":73540,"journal":{"name":"JCEM case reports","volume":"3 2","pages":"luaf005"},"PeriodicalIF":0.0000,"publicationDate":"2025-01-24","publicationTypes":"Journal Article","fieldsOfStudy":null,"isOpenAccess":false,"openAccessPdf":"https://www.ncbi.nlm.nih.gov/pmc/articles/PMC11758144/pdf/","citationCount":"0","resultStr":null,"platform":"Semanticscholar","paperid":null,"PeriodicalName":"JCEM case reports","FirstCategoryId":"1085","ListUrlMain":"https://doi.org/10.1210/jcemcr/luaf005","RegionNum":0,"RegionCategory":null,"ArticlePicture":[],"TitleCN":null,"AbstractTextCN":null,"PMCID":null,"EPubDate":"2025/2/1 0:00:00","PubModel":"eCollection","JCR":"","JCRName":"","Score":null,"Total":0}
引用次数: 0

Abstract

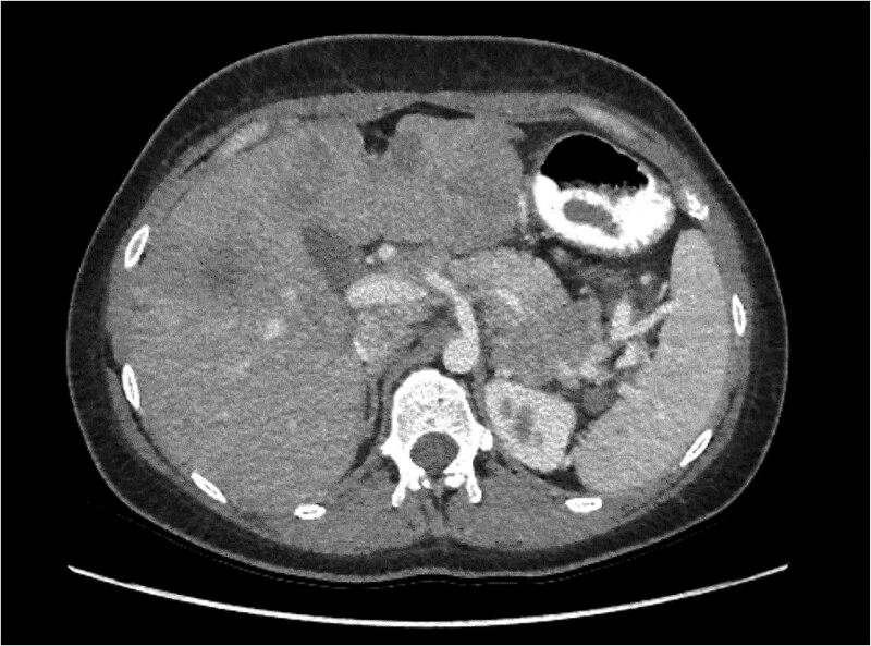
Insulinomas are rare neuroendocrine neoplasms and causes of hypoglycemia. They present with neuroglycopenic symptoms, including confusion and seizures. Suspected diagnosis must be confirmed through bloodwork and imaging. The majority of insulinomas are benign and cured surgically; less than 10% of insulinomas are malignant. Malignant insulinomas present a unique and rare challenge in managing persistent hypoglycemia and tumor burden. We present a case of a young woman who presented with Whipple triad and high-grade masses in her pancreas, liver, and distant lymph node metastases on imaging. Insulinoma was diagnosed. Hypoglycemia was managed with continuous dextrose infusion, diazoxide, and lanreotide. She was discharged on medical management and a continuous glucose monitor. Her metastatic disease is being treated with a capecitabine and temozolomide (CAPTEM) regimen showing 30% reduction in tumor burden. In conjunction with the National Institutes of Health, she is undergoing evaluation with numerous neuroendocrine tumor surgeons for cytoreductive surgery.

Abstract Image

Abstract Image

1例年轻女性患者持续血糖监测治疗转移性胰岛素瘤。
胰岛素瘤是一种罕见的神经内分泌肿瘤,也是导致低血糖的原因。它们表现为神经性糖耐量减低症状,包括意识模糊和癫痫发作。疑似诊断必须通过血液检查和影像学检查来确认。大多数胰岛素瘤是良性的,可以通过手术治愈;只有不到 10%的胰岛素瘤是恶性的。恶性胰岛素瘤在处理持续性低血糖和肿瘤负担方面提出了独特而罕见的挑战。我们介绍了一例年轻女性的病例,她出现 Whipple 三联征,胰腺、肝脏有高级别肿块,影像学检查有远处淋巴结转移。确诊为胰岛素瘤。低血糖症通过持续输注葡萄糖、二氮卓和兰瑞肽得到控制。她在接受药物治疗和连续血糖监测后出院。她的转移性疾病正在接受卡培他滨和替莫唑胺(CAPTEM)方案治疗,结果显示肿瘤负荷减少了 30%。在美国国立卫生研究院的协助下,她正在接受多位神经内分泌肿瘤外科医生的评估,以进行细胞切除手术。
本文章由计算机程序翻译,如有差异,请以英文原文为准。
求助全文
约1分钟内获得全文 求助全文
来源期刊
自引率
0.00%
发文量
0
×
引用
GB/T 7714-2015
复制
MLA
复制
APA
复制
导出至
BibTeX EndNote RefMan NoteFirst NoteExpress
×
提示
您的信息不完整,为了账户安全,请先补充。
现在去补充
×
提示
您因"违规操作"
具体请查看互助需知
我知道了
×
提示
确定
请完成安全验证×
copy
已复制链接
快去分享给好友吧!
我知道了
右上角分享
点击右上角分享
0
联系我们:info@booksci.cn Book学术提供免费学术资源搜索服务,方便国内外学者检索中英文文献。致力于提供最便捷和优质的服务体验。 Copyright © 2023 布克学术 All rights reserved.
京ICP备2023020795号-1
ghs 京公网安备 11010802042870号
Book学术文献互助
Book学术文献互助群
群 号:604180095
Book学术官方微信