Hyperthyroidism in a Twin Pregnancy With a Hydatidiform Mole and a Coexisting Live Fetus: Management Dilemmas.

JCEM case reports Pub Date : 2025-01-24 eCollection Date: 2025-02-01 DOI:10.1210/jcemcr/luaf013
Samantha Jacobson, Jonathan-Raphaël Stetco, Richard Brown, Natasha Garfield
{"title":"Hyperthyroidism in a Twin Pregnancy With a Hydatidiform Mole and a Coexisting Live Fetus: Management Dilemmas.","authors":"Samantha Jacobson, Jonathan-Raphaël Stetco, Richard Brown, Natasha Garfield","doi":"10.1210/jcemcr/luaf013","DOIUrl":null,"url":null,"abstract":"<p><p>Hyperthyroidism in twin pregnancies involving a hydatidiform mole and a coexisting live fetus is a rare condition requiring careful management. We present a 34-year-old pregnant woman at 12 weeks' gestation with severe nausea, vomiting, and mild vaginal bleeding. A transvaginal ultrasound revealed a dichorionic diamniotic twin pregnancy with 1 normal fetus and 1 hydatidiform mole, leading to hyperthyroidism from elevated β human chorionic gonadotropin levels. Conservative management without antithyroid medications, combined with regular monitoring, allowed the pregnancy to continue to term, resulting in the delivery of a healthy baby at 39 weeks. Postpartum management required treatment of retained products of conception. This case highlights the complexities in the management of complications for both mother and fetus.</p>","PeriodicalId":73540,"journal":{"name":"JCEM case reports","volume":"3 2","pages":"luaf013"},"PeriodicalIF":0.0000,"publicationDate":"2025-01-24","publicationTypes":"Journal Article","fieldsOfStudy":null,"isOpenAccess":false,"openAccessPdf":"https://www.ncbi.nlm.nih.gov/pmc/articles/PMC11758139/pdf/","citationCount":"0","resultStr":null,"platform":"Semanticscholar","paperid":null,"PeriodicalName":"JCEM case reports","FirstCategoryId":"1085","ListUrlMain":"https://doi.org/10.1210/jcemcr/luaf013","RegionNum":0,"RegionCategory":null,"ArticlePicture":[],"TitleCN":null,"AbstractTextCN":null,"PMCID":null,"EPubDate":"2025/2/1 0:00:00","PubModel":"eCollection","JCR":"","JCRName":"","Score":null,"Total":0}
引用次数: 0

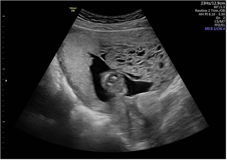
Abstract

Hyperthyroidism in twin pregnancies involving a hydatidiform mole and a coexisting live fetus is a rare condition requiring careful management. We present a 34-year-old pregnant woman at 12 weeks' gestation with severe nausea, vomiting, and mild vaginal bleeding. A transvaginal ultrasound revealed a dichorionic diamniotic twin pregnancy with 1 normal fetus and 1 hydatidiform mole, leading to hyperthyroidism from elevated β human chorionic gonadotropin levels. Conservative management without antithyroid medications, combined with regular monitoring, allowed the pregnancy to continue to term, resulting in the delivery of a healthy baby at 39 weeks. Postpartum management required treatment of retained products of conception. This case highlights the complexities in the management of complications for both mother and fetus.

Abstract Image

Abstract Image

双胎妊娠伴葡萄胎和活胎的甲状腺功能亢进:管理困境。
双胎妊娠合并甲状腺功能亢进症是一种罕见的情况,涉及水胎记和同时存在的活胎,需要谨慎处理。我们接诊了一名 34 岁的孕妇,她在妊娠 12 周时出现严重恶心、呕吐和轻微阴道出血。经阴道超声波检查发现是二绒毛膜双胎妊娠,其中有一个正常胎儿和一个水滴形痣,β 绒毛膜促性腺激素水平升高导致甲状腺功能亢进。在没有服用抗甲状腺药物的情况下,通过保守治疗和定期监测,妊娠得以顺利进行,并在妊娠 39 周时产下一名健康婴儿。产后管理需要对滞留的受孕产物进行治疗。该病例凸显了母亲和胎儿并发症治疗的复杂性。
本文章由计算机程序翻译,如有差异,请以英文原文为准。
求助全文
约1分钟内获得全文 求助全文
来源期刊
自引率
0.00%
发文量
0
×
引用
GB/T 7714-2015
复制
MLA
复制
APA
复制
导出至
BibTeX EndNote RefMan NoteFirst NoteExpress
×
提示
您的信息不完整,为了账户安全,请先补充。
现在去补充
×
提示
您因"违规操作"
具体请查看互助需知
我知道了
×
提示
确定
请完成安全验证×
copy
已复制链接
快去分享给好友吧!
我知道了
右上角分享
点击右上角分享
0
联系我们:info@booksci.cn Book学术提供免费学术资源搜索服务,方便国内外学者检索中英文文献。致力于提供最便捷和优质的服务体验。 Copyright © 2023 布克学术 All rights reserved.
京ICP备2023020795号-1
ghs 京公网安备 11010802042870号
Book学术文献互助
Book学术文献互助群
群 号:604180095
Book学术官方微信