Successful Treatment of Linear Psoriasis With the IL-17a-Antagonist Ixekizumab: A Case Report.

IF 5.2 Q1 DERMATOLOGY
Psoriasis (Auckland, N.Z.) Pub Date : 2025-01-21 eCollection Date: 2025-01-01 DOI:10.2147/PTT.S499039
Slatina Christov, Frenz Ohm, Matthias Augustin, Jan Nicolai Wagner
{"title":"Successful Treatment of Linear Psoriasis With the IL-17a-Antagonist Ixekizumab: A Case Report.","authors":"Slatina Christov, Frenz Ohm, Matthias Augustin, Jan Nicolai Wagner","doi":"10.2147/PTT.S499039","DOIUrl":null,"url":null,"abstract":"<p><p>Linear psoriasis (LP) represents a rare variant of psoriasis. The clinical presentation includes erythematous plaques distributed along the Blaschko lines, reflecting the presence of embryological mosaicism. The clinical and histopathological features of this condition show many similarities with inflammatory linear verrucous epidermal nevus (ILVEN), which presents a challenge in differential diagnosis. Currently there is no disease-specific treatment guidelines causing a challenge in the therapeutic management. In this case report we describe a 28-year-old patient with LP. Clinically characterized by persistent, psoriasiform lesions that proved refractory to treatment with topical corticosteroids, vitamin D analogs, and systemic dimethyl fumarate. The histopathological findings showed psoriasiform epidermal hyperplasia with alternating ortho- and parakeratosis, subepidermal capillary dilatation, and perivascular lymphocytic infiltrates, confirming the diagnosis. Ixekizumab, a IL-17A antagonist, was administered leading to a rapid and significant reduction in disease severity within the first 16 weeks. The Psoriasis Area and Severity Index (PASI) decreased from 12.5 to 1.0 and as well as the Dermatology Life Quality Index (DLQI) improved to 1. Both scores prove significant improvement in quality of life and clinical severity. This case report shows the importance of histological confirmation in differentiating LP from clinically similar appearing diseases like ILVEN and highlights the potential therapeutic benefit of IL-17 blockade in LP. In addition, the findings emphasize the need for systematic studies to develop evidence-based treatment strategies for this rare psoriasis phenotype.</p>","PeriodicalId":74589,"journal":{"name":"Psoriasis (Auckland, N.Z.)","volume":"15 ","pages":"23-28"},"PeriodicalIF":5.2000,"publicationDate":"2025-01-21","publicationTypes":"Journal Article","fieldsOfStudy":null,"isOpenAccess":false,"openAccessPdf":"https://www.ncbi.nlm.nih.gov/pmc/articles/PMC11762445/pdf/","citationCount":"0","resultStr":null,"platform":"Semanticscholar","paperid":null,"PeriodicalName":"Psoriasis (Auckland, N.Z.)","FirstCategoryId":"1085","ListUrlMain":"https://doi.org/10.2147/PTT.S499039","RegionNum":0,"RegionCategory":null,"ArticlePicture":[],"TitleCN":null,"AbstractTextCN":null,"PMCID":null,"EPubDate":"2025/1/1 0:00:00","PubModel":"eCollection","JCR":"Q1","JCRName":"DERMATOLOGY","Score":null,"Total":0}
引用次数: 0

Abstract

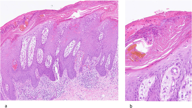
Linear psoriasis (LP) represents a rare variant of psoriasis. The clinical presentation includes erythematous plaques distributed along the Blaschko lines, reflecting the presence of embryological mosaicism. The clinical and histopathological features of this condition show many similarities with inflammatory linear verrucous epidermal nevus (ILVEN), which presents a challenge in differential diagnosis. Currently there is no disease-specific treatment guidelines causing a challenge in the therapeutic management. In this case report we describe a 28-year-old patient with LP. Clinically characterized by persistent, psoriasiform lesions that proved refractory to treatment with topical corticosteroids, vitamin D analogs, and systemic dimethyl fumarate. The histopathological findings showed psoriasiform epidermal hyperplasia with alternating ortho- and parakeratosis, subepidermal capillary dilatation, and perivascular lymphocytic infiltrates, confirming the diagnosis. Ixekizumab, a IL-17A antagonist, was administered leading to a rapid and significant reduction in disease severity within the first 16 weeks. The Psoriasis Area and Severity Index (PASI) decreased from 12.5 to 1.0 and as well as the Dermatology Life Quality Index (DLQI) improved to 1. Both scores prove significant improvement in quality of life and clinical severity. This case report shows the importance of histological confirmation in differentiating LP from clinically similar appearing diseases like ILVEN and highlights the potential therapeutic benefit of IL-17 blockade in LP. In addition, the findings emphasize the need for systematic studies to develop evidence-based treatment strategies for this rare psoriasis phenotype.

Abstract Image

Abstract Image

Abstract Image

il -17a拮抗剂Ixekizumab成功治疗线状银屑病1例报告
线性银屑病(LP)是一种罕见的银屑病变体。临床表现包括沿Blaschko线分布的红斑斑块,反映胚胎嵌合现象的存在。该疾病的临床和组织病理学特征与炎性线状疣状表皮痣(ILVEN)有许多相似之处,这对鉴别诊断提出了挑战。目前还没有针对特定疾病的治疗指南,这给治疗管理带来了挑战。在这个病例报告中,我们描述了一位28岁的LP患者。临床特征为持续的牛皮癣状病变,经证明,局部皮质类固醇、维生素D类似物和全身富马酸二甲酯治疗是难治的。组织病理学结果显示银屑病样表皮增生伴角化不全和角化不全交替,皮下毛细血管扩张,血管周围淋巴细胞浸润,证实了诊断。Ixekizumab是一种IL-17A拮抗剂,在前16周内导致疾病严重程度迅速显著降低。银屑病面积及严重程度指数(PASI)由12.5降至1.0,皮肤病生活质量指数(DLQI)提高至1。两项评分均证明生活质量和临床严重程度有显著改善。本病例报告显示了组织学确认在鉴别LP与临床表现相似的疾病(如ILVEN)中的重要性,并强调了IL-17阻断在LP中的潜在治疗益处。此外,研究结果强调需要进行系统研究,以制定这种罕见的银屑病表型的循证治疗策略。
本文章由计算机程序翻译,如有差异,请以英文原文为准。
求助全文
约1分钟内获得全文 求助全文
来源期刊
自引率
0.00%
发文量
0
审稿时长
16 weeks
×
引用
GB/T 7714-2015
复制
MLA
复制
APA
复制
导出至
BibTeX EndNote RefMan NoteFirst NoteExpress
×
提示
您的信息不完整,为了账户安全,请先补充。
现在去补充
×
提示
您因"违规操作"
具体请查看互助需知
我知道了
×
提示
确定
请完成安全验证×
copy
已复制链接
快去分享给好友吧!
我知道了
右上角分享
点击右上角分享
0
联系我们:info@booksci.cn Book学术提供免费学术资源搜索服务,方便国内外学者检索中英文文献。致力于提供最便捷和优质的服务体验。 Copyright © 2023 布克学术 All rights reserved.
京ICP备2023020795号-1
ghs 京公网安备 11010802042870号
Book学术文献互助
Book学术文献互助群
群 号:604180095
Book学术官方微信