Adult hypophosphatasia presenting with recurrent acute joint pain.

IF 0.7 Q4 ENDOCRINOLOGY & METABOLISM
Hayao Yoshida, Takaaki Murakami, Atsubumi Ogawa, Takashi Sunouchi, Naoko Hidaka, Nobuaki Ito, Hiromi Murakami, Hidenori Kawasaki, Tomoyuki Akiyama, Katsumi Nakajima, Daisuke Yabe, Taizo Yamamoto
{"title":"Adult hypophosphatasia presenting with recurrent acute joint pain.","authors":"Hayao Yoshida, Takaaki Murakami, Atsubumi Ogawa, Takashi Sunouchi, Naoko Hidaka, Nobuaki Ito, Hiromi Murakami, Hidenori Kawasaki, Tomoyuki Akiyama, Katsumi Nakajima, Daisuke Yabe, Taizo Yamamoto","doi":"10.1530/EDM-24-0121","DOIUrl":null,"url":null,"abstract":"<p><strong>Summary: </strong>Hypophosphatasia (HPP) is a genetic disorder due to pathological variants in ALPL, the gene encoding tissue-nonspecific alkaline phosphatase (ALP). HPP is typically associated with bone-related symptoms, such as bone deformity, fractures and bone pain in children, but can appear in adults with symptoms resembling arthritis. A 22-year-old male experienced repeated and severe sudden attacks of joint pain in the elbows and knees. Magnetic resonance imaging and joint ultrasonography showed joint effusions indicating chronic inflammation. Blood biochemical tests revealed a remarkably low serum ALP level, and repeated examination confirmed a sustained low ALP level; urine phosphoethanolamine, plasma inorganic pyrophosphate and plasma pyridoxal-5'-phosphate levels were elevated, raising concern for HPP. While the patient had no history of premature loss of primary teeth, fragility fractures, muscle weakness or abnormalities in growth, genetic testing revealed a likely pathogenic and a pathogenic heterozygous variant in the ALPL gene, i.e., c.979T>C (p.Phe327Leu) and c.1559del (p.Leu520Argfs), confirming HPP. Additional genetic testing of his parents showed a heterozygous c.1559del variant in his father and a heterozygous c.979T>C variant in his mother. A diagnosis of adult HPP due to compound heterozygous mutations was therefore confirmed. Enzyme replacement therapy with asfotase alfa was then introduced; no attacks of arthralgia occurred in the 1-year period since then. This case highlights the possibility of HPP in adults who present clinically with repeated joint symptoms and low serum ALP levels but without bone-related symptoms.</p><p><strong>Learning points: </strong>A diagnosis of adult HPP without bone-related symptoms can be challenging. A reduction in tissue-nonspecific ALP activity leads to an accumulation of pyrophosphate in the joints, which can cause arthralgia. Some cases of adult HPP have arthralgia as the only presenting symptom. At one-year follow-up, enzyme replacement therapy with asfotase alfa might lead to a reduction in arthralgia attacks due to HPP.</p>","PeriodicalId":37467,"journal":{"name":"Endocrinology, Diabetes and Metabolism Case Reports","volume":"2025 1","pages":""},"PeriodicalIF":0.7000,"publicationDate":"2025-01-27","publicationTypes":"Journal Article","fieldsOfStudy":null,"isOpenAccess":false,"openAccessPdf":"https://www.ncbi.nlm.nih.gov/pmc/articles/PMC11811822/pdf/","citationCount":"0","resultStr":null,"platform":"Semanticscholar","paperid":null,"PeriodicalName":"Endocrinology, Diabetes and Metabolism Case Reports","FirstCategoryId":"1085","ListUrlMain":"https://doi.org/10.1530/EDM-24-0121","RegionNum":0,"RegionCategory":null,"ArticlePicture":[],"TitleCN":null,"AbstractTextCN":null,"PMCID":null,"EPubDate":"2025/1/1 0:00:00","PubModel":"Print","JCR":"Q4","JCRName":"ENDOCRINOLOGY & METABOLISM","Score":null,"Total":0}
引用次数: 0

Abstract

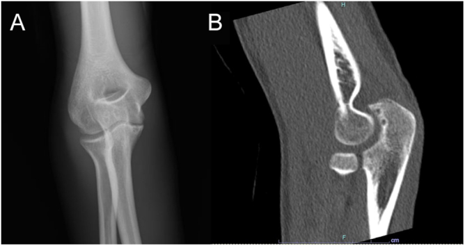
Summary: Hypophosphatasia (HPP) is a genetic disorder due to pathological variants in ALPL, the gene encoding tissue-nonspecific alkaline phosphatase (ALP). HPP is typically associated with bone-related symptoms, such as bone deformity, fractures and bone pain in children, but can appear in adults with symptoms resembling arthritis. A 22-year-old male experienced repeated and severe sudden attacks of joint pain in the elbows and knees. Magnetic resonance imaging and joint ultrasonography showed joint effusions indicating chronic inflammation. Blood biochemical tests revealed a remarkably low serum ALP level, and repeated examination confirmed a sustained low ALP level; urine phosphoethanolamine, plasma inorganic pyrophosphate and plasma pyridoxal-5'-phosphate levels were elevated, raising concern for HPP. While the patient had no history of premature loss of primary teeth, fragility fractures, muscle weakness or abnormalities in growth, genetic testing revealed a likely pathogenic and a pathogenic heterozygous variant in the ALPL gene, i.e., c.979T>C (p.Phe327Leu) and c.1559del (p.Leu520Argfs), confirming HPP. Additional genetic testing of his parents showed a heterozygous c.1559del variant in his father and a heterozygous c.979T>C variant in his mother. A diagnosis of adult HPP due to compound heterozygous mutations was therefore confirmed. Enzyme replacement therapy with asfotase alfa was then introduced; no attacks of arthralgia occurred in the 1-year period since then. This case highlights the possibility of HPP in adults who present clinically with repeated joint symptoms and low serum ALP levels but without bone-related symptoms.

Learning points: A diagnosis of adult HPP without bone-related symptoms can be challenging. A reduction in tissue-nonspecific ALP activity leads to an accumulation of pyrophosphate in the joints, which can cause arthralgia. Some cases of adult HPP have arthralgia as the only presenting symptom. At one-year follow-up, enzyme replacement therapy with asfotase alfa might lead to a reduction in arthralgia attacks due to HPP.

Abstract Image

Abstract Image

Abstract Image

成人低磷酸酶症表现为复发性急性关节痛。
摘要:低磷酸症(HPP)是由组织非特异性碱性磷酸酶(ALP)基因编码ALPL的病理变异引起的一种遗传性疾病。HPP通常与骨相关症状有关,如儿童的骨畸形、骨折和骨痛,但也可能出现在成人身上,症状类似关节炎。一个22岁的男性经历了反复和严重的突然发作的肘部和膝盖关节疼痛。磁共振及关节超声显示关节积液提示慢性炎症。血液生化检查显示血清ALP水平明显偏低,反复检查证实ALP持续偏低;尿磷乙醇胺、血浆无机焦磷酸和血浆吡哆醛-5'-磷酸水平升高,引起对HPP的关注。虽然患者没有乳牙过早脱落、脆性骨折、肌肉无力或生长异常的病史,但基因检测显示ALPL基因中可能存在致病性和致病性杂合变异,即C . 979t >C (p.Phe327Leu)和C .1559del (p.Leu520Argfs),证实HPP。对父母进行的额外基因检测显示,他的父亲和母亲分别有C .1559del和C . 979tb> C的杂合变异。成人HPP的诊断是由于复合杂合突变。然后引入asfotase - alfa酶替代疗法;此后1年内无关节痛发作。该病例强调了HPP在临床表现为反复关节症状和低血清ALP水平但无骨相关症状的成人中的可能性。学习要点:没有骨相关症状的成人HPP的诊断可能具有挑战性。组织非特异性ALP活性的降低导致关节中焦磷酸盐的积累,从而引起关节痛。一些成人HPP病例的唯一表现症状是关节痛。在一年的随访中,用asfotase α fa替代酶治疗可能导致HPP引起的关节痛发作减少。
本文章由计算机程序翻译,如有差异,请以英文原文为准。
求助全文
约1分钟内获得全文 求助全文
来源期刊
CiteScore
1.50
自引率
0.00%
发文量
142
审稿时长
9 weeks
期刊介绍: Endocrinology, Diabetes & Metabolism Case Reports publishes case reports on common and rare conditions in all areas of clinical endocrinology, diabetes and metabolism. Articles should include clear learning points which readers can use to inform medical education or clinical practice. The types of cases of interest to Endocrinology, Diabetes & Metabolism Case Reports include: -Insight into disease pathogenesis or mechanism of therapy - Novel diagnostic procedure - Novel treatment - Unique/unexpected symptoms or presentations of a disease - New disease or syndrome: presentations/diagnosis/management - Unusual effects of medical treatment - Error in diagnosis/pitfalls and caveats
×
引用
GB/T 7714-2015
复制
MLA
复制
APA
复制
导出至
BibTeX EndNote RefMan NoteFirst NoteExpress
×
提示
您的信息不完整,为了账户安全,请先补充。
现在去补充
×
提示
您因"违规操作"
具体请查看互助需知
我知道了
×
提示
确定
请完成安全验证×
copy
已复制链接
快去分享给好友吧!
我知道了
右上角分享
点击右上角分享
0
联系我们:info@booksci.cn Book学术提供免费学术资源搜索服务,方便国内外学者检索中英文文献。致力于提供最便捷和优质的服务体验。 Copyright © 2023 布克学术 All rights reserved.
京ICP备2023020795号-1
ghs 京公网安备 11010802042870号
Book学术文献互助
Book学术文献互助群
群 号:604180095
Book学术官方微信