Overlapping of DRESS and Stevens-Johnson syndrome due to first-line antituberculosis drugs: a case report.

IF 3.4 3区 医学 Q2 PHARMACOLOGY & PHARMACY
Therapeutic Advances in Drug Safety Pub Date : 2025-01-24 eCollection Date: 2025-01-01 DOI:10.1177/20420986241312484
Cristian Morán-Mariños, Felix Llanos-Tejada, Rebeca Huamani-Llantoy, Capriny Bernal-Turpo, Kimberly López-Pilco, Alex Ventura-Leon, Renato Casanova-Mendoza
{"title":"Overlapping of DRESS and Stevens-Johnson syndrome due to first-line antituberculosis drugs: a case report.","authors":"Cristian Morán-Mariños, Felix Llanos-Tejada, Rebeca Huamani-Llantoy, Capriny Bernal-Turpo, Kimberly López-Pilco, Alex Ventura-Leon, Renato Casanova-Mendoza","doi":"10.1177/20420986241312484","DOIUrl":null,"url":null,"abstract":"<p><p>The overlap of Drug Reaction with Eosinophilia and Systemic Symptoms (DRESS) and Stevens-Johnson syndrome (SJS) caused by antituberculosis drugs represents an extremely rare event. This situation can manifest between 2 and 8 weeks after the first exposure to the medication. The overlap of these conditions can lead to atypical clinical manifestations, thus complicating the early diagnosis and the implementation of early treatment. This report describes the case of a patient who developed the DRESS/SJS overlap 35 days after starting antituberculosis treatment. The patient experienced severe skin and systemic involvement, a situation that required her admission and monitoring in the intensive care unit. From our experience with this case, we conclude the importance of an accurate and timely diagnosis using validated scoring systems such as RegiSCAR to confirm the clinical diagnosis of DRESS/SJS and ALDEN to assess the likelihood of drug causality. Timely intervention with corticosteroids plays a key role in moderating the exaggerated immune response, helping to alleviate dermatological symptoms and prevent long-term organ damage. In addition, the availability of safe therapeutic alternatives for tuberculosis treatment allows for more effective and safer management in these patients.</p>","PeriodicalId":23012,"journal":{"name":"Therapeutic Advances in Drug Safety","volume":"16 ","pages":"20420986241312484"},"PeriodicalIF":3.4000,"publicationDate":"2025-01-24","publicationTypes":"Journal Article","fieldsOfStudy":null,"isOpenAccess":false,"openAccessPdf":"https://www.ncbi.nlm.nih.gov/pmc/articles/PMC11760121/pdf/","citationCount":"0","resultStr":null,"platform":"Semanticscholar","paperid":null,"PeriodicalName":"Therapeutic Advances in Drug Safety","FirstCategoryId":"3","ListUrlMain":"https://doi.org/10.1177/20420986241312484","RegionNum":3,"RegionCategory":"医学","ArticlePicture":[],"TitleCN":null,"AbstractTextCN":null,"PMCID":null,"EPubDate":"2025/1/1 0:00:00","PubModel":"eCollection","JCR":"Q2","JCRName":"PHARMACOLOGY & PHARMACY","Score":null,"Total":0}
引用次数: 0

Abstract

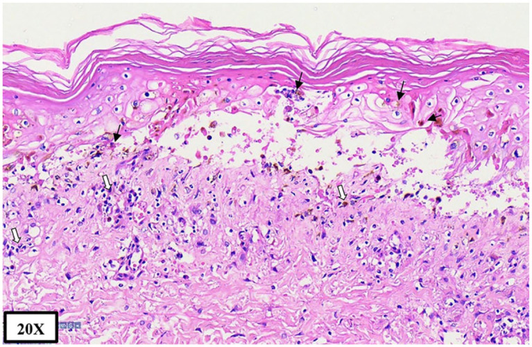
The overlap of Drug Reaction with Eosinophilia and Systemic Symptoms (DRESS) and Stevens-Johnson syndrome (SJS) caused by antituberculosis drugs represents an extremely rare event. This situation can manifest between 2 and 8 weeks after the first exposure to the medication. The overlap of these conditions can lead to atypical clinical manifestations, thus complicating the early diagnosis and the implementation of early treatment. This report describes the case of a patient who developed the DRESS/SJS overlap 35 days after starting antituberculosis treatment. The patient experienced severe skin and systemic involvement, a situation that required her admission and monitoring in the intensive care unit. From our experience with this case, we conclude the importance of an accurate and timely diagnosis using validated scoring systems such as RegiSCAR to confirm the clinical diagnosis of DRESS/SJS and ALDEN to assess the likelihood of drug causality. Timely intervention with corticosteroids plays a key role in moderating the exaggerated immune response, helping to alleviate dermatological symptoms and prevent long-term organ damage. In addition, the availability of safe therapeutic alternatives for tuberculosis treatment allows for more effective and safer management in these patients.

Abstract Image

Abstract Image

Abstract Image

一线抗结核药物导致DRESS和Stevens-Johnson综合征重叠1例。
由抗结核药物引起的嗜酸性粒细胞增多和全身症状的药物反应(DRESS)和史蒂文斯-约翰逊综合征(SJS)重叠是一种极其罕见的事件。这种情况可在首次接触药物后2至8周内出现。这些情况的重叠可导致非典型临床表现,从而使早期诊断和早期治疗的实施复杂化。本报告描述了一名患者在开始抗结核治疗35天后出现DRESS/SJS重叠的病例。患者经历了严重的皮肤和全身受累,这种情况需要她入院并在重症监护病房进行监测。根据我们对该病例的经验,我们得出结论,使用RegiSCAR等经过验证的评分系统来确认DRESS/SJS的临床诊断和ALDEN来评估药物因果关系的可能性,准确及时诊断的重要性。皮质类固醇的及时干预在调节过度的免疫反应,帮助减轻皮肤病症状和防止长期器官损伤方面起着关键作用。此外,由于有了安全的结核病治疗方法,可以对这些患者进行更有效和更安全的管理。
本文章由计算机程序翻译,如有差异,请以英文原文为准。
求助全文
约1分钟内获得全文 求助全文
来源期刊
Therapeutic Advances in Drug Safety
Therapeutic Advances in Drug Safety Medicine-Pharmacology (medical)
CiteScore
6.70
自引率
4.50%
发文量
31
审稿时长
9 weeks
期刊介绍: Therapeutic Advances in Drug Safety delivers the highest quality peer-reviewed articles, reviews, and scholarly comment on pioneering efforts and innovative studies pertaining to the safe use of drugs in patients. The journal has a strong clinical and pharmacological focus and is aimed at clinicians and researchers in drug safety, providing a forum in print and online for publishing the highest quality articles in this area. The editors welcome articles of current interest on research across all areas of drug safety, including therapeutic drug monitoring, pharmacoepidemiology, adverse drug reactions, drug interactions, pharmacokinetics, pharmacovigilance, medication/prescribing errors, risk management, ethics and regulation.
×
引用
GB/T 7714-2015
复制
MLA
复制
APA
复制
导出至
BibTeX EndNote RefMan NoteFirst NoteExpress
×
提示
您的信息不完整,为了账户安全,请先补充。
现在去补充
×
提示
您因"违规操作"
具体请查看互助需知
我知道了
×
提示
确定
请完成安全验证×
copy
已复制链接
快去分享给好友吧!
我知道了
右上角分享
点击右上角分享
0
联系我们:info@booksci.cn Book学术提供免费学术资源搜索服务,方便国内外学者检索中英文文献。致力于提供最便捷和优质的服务体验。 Copyright © 2023 布克学术 All rights reserved.
京ICP备2023020795号-1
ghs 京公网安备 11010802042870号
Book学术文献互助
Book学术文献互助群
群 号:604180095
Book学术官方微信