Enhanced Detection of Residual Breast Cancer Post-Excisional Biopsy: Comparative Analysis of Contrast-Enhanced MRI with and Without Diffusion-Weighted Imaging.

IF 2.2 4区 医学 Q2 RADIOLOGY, NUCLEAR MEDICINE & MEDICAL IMAGING
Han Song Mun, Bong Joo Kang, Sung Hun Kim, Ga Eun Park
{"title":"Enhanced Detection of Residual Breast Cancer Post-Excisional Biopsy: Comparative Analysis of Contrast-Enhanced MRI with and Without Diffusion-Weighted Imaging.","authors":"Han Song Mun, Bong Joo Kang, Sung Hun Kim, Ga Eun Park","doi":"10.3390/tomography11010010","DOIUrl":null,"url":null,"abstract":"<p><strong>Objectives: </strong>To evaluate the effectiveness of breast MRI, including diffusion-weighted imaging (DWI), in detecting residual lesions in patients with malignancy after excisional biopsy.</p><p><strong>Methods: </strong>From January 2018 to December 2023, 3T breast MRI was performed to assess lesion morphology, residual size, and enhancement kinetics. The apparent diffusion coefficient (ADC) values were measured, and the diagnostic outcomes of CE-MRI, CE-MRI with DWI, mammography (MG), and ultrasound (US) were compared with clinical and histopathological data.</p><p><strong>Results: </strong>A total of 152 lesions were analyzed, with 36.2% showing residual malignancy. Both CE-MRI and CE-MRI with DWI effectively identified residual lesions, with significant differences in morphology, size, kinetic patterns, and ADC values (all <i>p</i> < 0.001). CE-MRI with DWI showed a sensitivity of 90.9% and an NPV of 93.6%, compared with 89.1% sensitivity and 92.2% NPV for CE-MRI alone. Sensitivities for MG and US were 57.1% and 38.7%, with NPVs of 64.7% and 59.6%, respectively. Diagnostic accuracy was highest for CE-MRI with DWI (80.9%), followed by CE-MRI (79.0%), MG (60.3%), and US (59.7%). The AUC for CE-MRI with DWI (0.831) was slightly higher than CE-MRI alone (0.811), though not significant (<i>p</i> = 0.095). AUCs for MG and US were lower at 0.623 and 0.563, with no significant difference between MG and US (<i>p</i> = 0.234).</p><p><strong>Conclusions: </strong>CE-MRI with DWI and CE-MRI alone were comparable and demonstrated excellent performance in discriminating between women with and without residual disease. Integrating CE-MRI with DWI could become a standard protocol for patients with suspected residual malignancy after excisional biopsy.</p>","PeriodicalId":51330,"journal":{"name":"Tomography","volume":"11 1","pages":""},"PeriodicalIF":2.2000,"publicationDate":"2025-01-20","publicationTypes":"Journal Article","fieldsOfStudy":null,"isOpenAccess":false,"openAccessPdf":"https://www.ncbi.nlm.nih.gov/pmc/articles/PMC11769435/pdf/","citationCount":"0","resultStr":null,"platform":"Semanticscholar","paperid":null,"PeriodicalName":"Tomography","FirstCategoryId":"3","ListUrlMain":"https://doi.org/10.3390/tomography11010010","RegionNum":4,"RegionCategory":"医学","ArticlePicture":[],"TitleCN":null,"AbstractTextCN":null,"PMCID":null,"EPubDate":"","PubModel":"","JCR":"Q2","JCRName":"RADIOLOGY, NUCLEAR MEDICINE & MEDICAL IMAGING","Score":null,"Total":0}
引用次数: 0

Abstract

Objectives: To evaluate the effectiveness of breast MRI, including diffusion-weighted imaging (DWI), in detecting residual lesions in patients with malignancy after excisional biopsy.

Methods: From January 2018 to December 2023, 3T breast MRI was performed to assess lesion morphology, residual size, and enhancement kinetics. The apparent diffusion coefficient (ADC) values were measured, and the diagnostic outcomes of CE-MRI, CE-MRI with DWI, mammography (MG), and ultrasound (US) were compared with clinical and histopathological data.

Results: A total of 152 lesions were analyzed, with 36.2% showing residual malignancy. Both CE-MRI and CE-MRI with DWI effectively identified residual lesions, with significant differences in morphology, size, kinetic patterns, and ADC values (all p < 0.001). CE-MRI with DWI showed a sensitivity of 90.9% and an NPV of 93.6%, compared with 89.1% sensitivity and 92.2% NPV for CE-MRI alone. Sensitivities for MG and US were 57.1% and 38.7%, with NPVs of 64.7% and 59.6%, respectively. Diagnostic accuracy was highest for CE-MRI with DWI (80.9%), followed by CE-MRI (79.0%), MG (60.3%), and US (59.7%). The AUC for CE-MRI with DWI (0.831) was slightly higher than CE-MRI alone (0.811), though not significant (p = 0.095). AUCs for MG and US were lower at 0.623 and 0.563, with no significant difference between MG and US (p = 0.234).

Conclusions: CE-MRI with DWI and CE-MRI alone were comparable and demonstrated excellent performance in discriminating between women with and without residual disease. Integrating CE-MRI with DWI could become a standard protocol for patients with suspected residual malignancy after excisional biopsy.

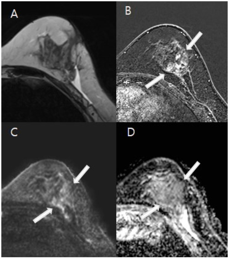
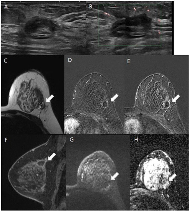
Abstract Image

Abstract Image

Abstract Image

增强乳腺癌切除后活检残留的检测:增强MRI伴和不伴弥散加权成像的对比分析。
目的:评价乳腺MRI(包括弥散加权成像(DWI))在恶性肿瘤切除活检后检测残留病灶的有效性。方法:2018年1月至2023年12月,行3T乳腺MRI检查,评估病变形态、残留大小和增强动力学。测量表观扩散系数(ADC)值,并将CE-MRI、CE-MRI合并DWI、乳腺x线摄影(MG)、超声(US)的诊断结果与临床和组织病理学资料进行比较。结果:共分析病变152例,其中残留恶性肿瘤占36.2%。CE-MRI和CE-MRI合并DWI均能有效识别残余病变,在形态、大小、动力学模式和ADC值方面存在显著差异(均p < 0.001)。CE-MRI联合DWI的敏感性为90.9%,NPV为93.6%,而单独CE-MRI的敏感性为89.1%,NPV为92.2%。MG和US的敏感性分别为57.1%和38.7%,npv分别为64.7%和59.6%。CE-MRI与DWI的诊断准确率最高(80.9%),其次是CE-MRI(79.0%)、MG(60.3%)和US(59.7%)。CE-MRI合并DWI的AUC(0.831)略高于CE-MRI单独的AUC(0.811),但差异无统计学意义(p = 0.095)。MG和US的auc较低,分别为0.623和0.563,MG和US之间无显著差异(p = 0.234)。结论:CE-MRI联合DWI和单独CE-MRI具有可比性,并且在区分有和没有残留疾病的女性方面表现出色。CE-MRI与DWI的结合可成为切除活检后疑似残留恶性肿瘤患者的标准方案。
本文章由计算机程序翻译,如有差异,请以英文原文为准。
求助全文
约1分钟内获得全文 求助全文
来源期刊
Tomography
Tomography Medicine-Radiology, Nuclear Medicine and Imaging
CiteScore
2.70
自引率
10.50%
发文量
222
期刊介绍: TomographyTM publishes basic (technical and pre-clinical) and clinical scientific articles which involve the advancement of imaging technologies. Tomography encompasses studies that use single or multiple imaging modalities including for example CT, US, PET, SPECT, MR and hyperpolarization technologies, as well as optical modalities (i.e. bioluminescence, photoacoustic, endomicroscopy, fiber optic imaging and optical computed tomography) in basic sciences, engineering, preclinical and clinical medicine. Tomography also welcomes studies involving exploration and refinement of contrast mechanisms and image-derived metrics within and across modalities toward the development of novel imaging probes for image-based feedback and intervention. The use of imaging in biology and medicine provides unparalleled opportunities to noninvasively interrogate tissues to obtain real-time dynamic and quantitative information required for diagnosis and response to interventions and to follow evolving pathological conditions. As multi-modal studies and the complexities of imaging technologies themselves are ever increasing to provide advanced information to scientists and clinicians. Tomography provides a unique publication venue allowing investigators the opportunity to more precisely communicate integrated findings related to the diverse and heterogeneous features associated with underlying anatomical, physiological, functional, metabolic and molecular genetic activities of normal and diseased tissue. Thus Tomography publishes peer-reviewed articles which involve the broad use of imaging of any tissue and disease type including both preclinical and clinical investigations. In addition, hardware/software along with chemical and molecular probe advances are welcome as they are deemed to significantly contribute towards the long-term goal of improving the overall impact of imaging on scientific and clinical discovery.
×
引用
GB/T 7714-2015
复制
MLA
复制
APA
复制
导出至
BibTeX EndNote RefMan NoteFirst NoteExpress
×
提示
您的信息不完整,为了账户安全,请先补充。
现在去补充
×
提示
您因"违规操作"
具体请查看互助需知
我知道了
×
提示
确定
请完成安全验证×
copy
已复制链接
快去分享给好友吧!
我知道了
右上角分享
点击右上角分享
0
联系我们:info@booksci.cn Book学术提供免费学术资源搜索服务,方便国内外学者检索中英文文献。致力于提供最便捷和优质的服务体验。 Copyright © 2023 布克学术 All rights reserved.
京ICP备2023020795号-1
ghs 京公网安备 11010802042870号
Book学术文献互助
Book学术文献互助群
群 号:604180095
Book学术官方微信