CT Angiography Assessment of Dorsal Pancreatic Artery and Intrapancreatic Arcade Anatomy: Impact on Whipple Surgery Outcomes.

IF 2.2 4区 医学 Q2 RADIOLOGY, NUCLEAR MEDICINE & MEDICAL IMAGING
Gorkem Ozdemir, Tolga Olmez, Okan Dilek, Berkay Eyi, Alper Sozutek, Ahmet Seker
{"title":"CT Angiography Assessment of Dorsal Pancreatic Artery and Intrapancreatic Arcade Anatomy: Impact on Whipple Surgery Outcomes.","authors":"Gorkem Ozdemir, Tolga Olmez, Okan Dilek, Berkay Eyi, Alper Sozutek, Ahmet Seker","doi":"10.3390/tomography11010009","DOIUrl":null,"url":null,"abstract":"<p><strong>Background/objectives: </strong>The aim was to investigate the association between variations in the dorsal pancreatic artery (DPA) and intrapancreatic arcade anatomy with Whipple procedure outcomes and postoperative complications.</p><p><strong>Methods: </strong>This retrospective study was conducted with 362 patients who underwent a Whipple procedure at the Department of Gastroenterological Surgery of Adana City Training and Research Hospital between January 2018 and April 2024. All data collected from medical records were compared and statistically analyzed according to the patients' survival status and arcade subtypes.</p><p><strong>Results: </strong>After excluding cases that did not meet the study criteria, a total of 284 patients were included in the study. DPA was visualized in 55.98% (159/284) of patients, while the intrapancreatic arcade was observed in 25% (71/284). The most common origin of the DPA was the splenic artery in 69.2% (n = 110) of patients, followed by the superior mesenteric artery in 17.6% (n = 28). The frequency of intrapancreatic arcade anatomy variations was as follows: type 1: 28.2% (n = 20), type 2: 49.3% (n = 35) and type 3: 22.5% (n = 16). Arcade type 4 anatomy was not detected. Postoperative pancreatic fistula (POPF) complication was found to be statistically significantly higher in patients with type 3 anatomy (<i>p</i> = 0.042). The 90-day mortality and long-term mortality rates did not differ among the groups based on the variations in both DPA and intrapancreatic arcade anatomy types.</p><p><strong>Conclusions: </strong>Patients with intrapancreatic arcade type 3 anatomy had a higher risk of POPF complications. Determination of preoperative arcade type by computed tomography (CT) angiography may help to predict the risk of POPF.</p>","PeriodicalId":51330,"journal":{"name":"Tomography","volume":"11 1","pages":""},"PeriodicalIF":2.2000,"publicationDate":"2025-01-14","publicationTypes":"Journal Article","fieldsOfStudy":null,"isOpenAccess":false,"openAccessPdf":"https://www.ncbi.nlm.nih.gov/pmc/articles/PMC11769064/pdf/","citationCount":"0","resultStr":null,"platform":"Semanticscholar","paperid":null,"PeriodicalName":"Tomography","FirstCategoryId":"3","ListUrlMain":"https://doi.org/10.3390/tomography11010009","RegionNum":4,"RegionCategory":"医学","ArticlePicture":[],"TitleCN":null,"AbstractTextCN":null,"PMCID":null,"EPubDate":"","PubModel":"","JCR":"Q2","JCRName":"RADIOLOGY, NUCLEAR MEDICINE & MEDICAL IMAGING","Score":null,"Total":0}
引用次数: 0

Abstract

Background/objectives: The aim was to investigate the association between variations in the dorsal pancreatic artery (DPA) and intrapancreatic arcade anatomy with Whipple procedure outcomes and postoperative complications.

Methods: This retrospective study was conducted with 362 patients who underwent a Whipple procedure at the Department of Gastroenterological Surgery of Adana City Training and Research Hospital between January 2018 and April 2024. All data collected from medical records were compared and statistically analyzed according to the patients' survival status and arcade subtypes.

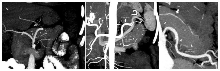
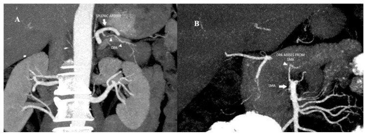
Results: After excluding cases that did not meet the study criteria, a total of 284 patients were included in the study. DPA was visualized in 55.98% (159/284) of patients, while the intrapancreatic arcade was observed in 25% (71/284). The most common origin of the DPA was the splenic artery in 69.2% (n = 110) of patients, followed by the superior mesenteric artery in 17.6% (n = 28). The frequency of intrapancreatic arcade anatomy variations was as follows: type 1: 28.2% (n = 20), type 2: 49.3% (n = 35) and type 3: 22.5% (n = 16). Arcade type 4 anatomy was not detected. Postoperative pancreatic fistula (POPF) complication was found to be statistically significantly higher in patients with type 3 anatomy (p = 0.042). The 90-day mortality and long-term mortality rates did not differ among the groups based on the variations in both DPA and intrapancreatic arcade anatomy types.

Conclusions: Patients with intrapancreatic arcade type 3 anatomy had a higher risk of POPF complications. Determination of preoperative arcade type by computed tomography (CT) angiography may help to predict the risk of POPF.

Abstract Image

Abstract Image

Abstract Image

胰腺背侧动脉和胰腺内拱廊解剖的CT血管造影评估:对惠普尔手术结果的影响。
背景/目的:目的是研究胰背动脉(DPA)和胰腺内拱廊解剖变化与惠普尔手术结果和术后并发症之间的关系。方法:本回顾性研究对2018年1月至2024年4月期间在阿达纳市培训研究医院消化外科接受惠普尔手术的362例患者进行了研究。根据患者的生存状况和街机亚型对病历资料进行比较和统计分析。结果:剔除不符合研究标准的病例后,共纳入284例患者。55.98%(159/284)患者可见DPA, 25%(71/284)患者可见胰腺内拱廊。DPA最常见的来源是脾动脉,占69.2% (n = 110),其次是肠系膜上动脉,占17.6% (n = 28)。胰腺内拱廊解剖变异的频率如下:1型:28.2% (n = 20), 2型:49.3% (n = 35), 3型:22.5% (n = 16)。未检出拱廊4型解剖。3型解剖患者术后胰瘘(POPF)并发症发生率有统计学意义(p = 0.042)。基于DPA和胰腺内拱廊解剖类型的差异,90天死亡率和长期死亡率在各组之间没有差异。结论:胰腺内拱廊型3型解剖患者发生POPF并发症的风险较高。术前通过CT血管造影确定拱廊型可能有助于预测POPF的发生风险。
本文章由计算机程序翻译,如有差异,请以英文原文为准。
求助全文
约1分钟内获得全文 求助全文
来源期刊
Tomography
Tomography Medicine-Radiology, Nuclear Medicine and Imaging
CiteScore
2.70
自引率
10.50%
发文量
222
期刊介绍: TomographyTM publishes basic (technical and pre-clinical) and clinical scientific articles which involve the advancement of imaging technologies. Tomography encompasses studies that use single or multiple imaging modalities including for example CT, US, PET, SPECT, MR and hyperpolarization technologies, as well as optical modalities (i.e. bioluminescence, photoacoustic, endomicroscopy, fiber optic imaging and optical computed tomography) in basic sciences, engineering, preclinical and clinical medicine. Tomography also welcomes studies involving exploration and refinement of contrast mechanisms and image-derived metrics within and across modalities toward the development of novel imaging probes for image-based feedback and intervention. The use of imaging in biology and medicine provides unparalleled opportunities to noninvasively interrogate tissues to obtain real-time dynamic and quantitative information required for diagnosis and response to interventions and to follow evolving pathological conditions. As multi-modal studies and the complexities of imaging technologies themselves are ever increasing to provide advanced information to scientists and clinicians. Tomography provides a unique publication venue allowing investigators the opportunity to more precisely communicate integrated findings related to the diverse and heterogeneous features associated with underlying anatomical, physiological, functional, metabolic and molecular genetic activities of normal and diseased tissue. Thus Tomography publishes peer-reviewed articles which involve the broad use of imaging of any tissue and disease type including both preclinical and clinical investigations. In addition, hardware/software along with chemical and molecular probe advances are welcome as they are deemed to significantly contribute towards the long-term goal of improving the overall impact of imaging on scientific and clinical discovery.
×
引用
GB/T 7714-2015
复制
MLA
复制
APA
复制
导出至
BibTeX EndNote RefMan NoteFirst NoteExpress
×
提示
您的信息不完整,为了账户安全,请先补充。
现在去补充
×
提示
您因"违规操作"
具体请查看互助需知
我知道了
×
提示
确定
请完成安全验证×
copy
已复制链接
快去分享给好友吧!
我知道了
右上角分享
点击右上角分享
0
联系我们:info@booksci.cn Book学术提供免费学术资源搜索服务,方便国内外学者检索中英文文献。致力于提供最便捷和优质的服务体验。 Copyright © 2023 布克学术 All rights reserved.
京ICP备2023020795号-1
ghs 京公网安备 11010802042870号
Book学术文献互助
Book学术文献互助群
群 号:604180095
Book学术官方微信