Peripartum cardiomyopathy management: insights from a Latin American case report.

Javier Torres-Valencia, Gabriela Zavaleta-Camacho, José Saucedo-Chinchay, Karen Alayo-Rojas, Carlos Diaz-Arocutipa
{"title":"Peripartum cardiomyopathy management: insights from a Latin American case report.","authors":"Javier Torres-Valencia, Gabriela Zavaleta-Camacho, José Saucedo-Chinchay, Karen Alayo-Rojas, Carlos Diaz-Arocutipa","doi":"10.47487/apcyccv.v5i4.422","DOIUrl":null,"url":null,"abstract":"<p><p>Peripartum cardiomyopathy (PPCM) is a potentially life-threatening condition that can occur during the late pregnancy or puerperium. A 31-year-old woman with a recent twin pregnancy presented with heart failure symptoms nine days postpartum. On admission, she had volume overload and hemodynamic compromise, which was rapidly reversed with inotropic levosimendan support. Echocardiography revealed a left ventricular ejection fraction (LVEF) of 20% with global hypokinesia. Once stabilized, she was discharged on heart failure medication, bromocriptine, and warfarin. Cardiac magnetic resonance imaging at five weeks demonstrated a preserved LVEF of 57% and no evidence of myocardial scarring or edema. During the 4-year follow-up, the patient remained stable with no new pregnancies. This case highlights the importance of considering PPCM in the differential diagnosis of heart failure in the peripartum period after excluding other etiologies. It also describes the successful use of bromocriptine in facilitating recovery of systolic function without long-term complications.</p>","PeriodicalId":72295,"journal":{"name":"Archivos Peruanos de cardiologia y cirugia cardiovascular","volume":"5 4","pages":"249-254"},"PeriodicalIF":0.0000,"publicationDate":"2024-12-11","publicationTypes":"Journal Article","fieldsOfStudy":null,"isOpenAccess":false,"openAccessPdf":"https://www.ncbi.nlm.nih.gov/pmc/articles/PMC11753419/pdf/","citationCount":"0","resultStr":null,"platform":"Semanticscholar","paperid":null,"PeriodicalName":"Archivos Peruanos de cardiologia y cirugia cardiovascular","FirstCategoryId":"1085","ListUrlMain":"https://doi.org/10.47487/apcyccv.v5i4.422","RegionNum":0,"RegionCategory":null,"ArticlePicture":[],"TitleCN":null,"AbstractTextCN":null,"PMCID":null,"EPubDate":"2024/10/1 0:00:00","PubModel":"eCollection","JCR":"","JCRName":"","Score":null,"Total":0}
引用次数: 0

Abstract

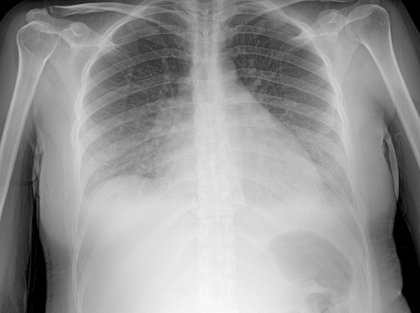
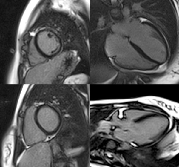
Peripartum cardiomyopathy (PPCM) is a potentially life-threatening condition that can occur during the late pregnancy or puerperium. A 31-year-old woman with a recent twin pregnancy presented with heart failure symptoms nine days postpartum. On admission, she had volume overload and hemodynamic compromise, which was rapidly reversed with inotropic levosimendan support. Echocardiography revealed a left ventricular ejection fraction (LVEF) of 20% with global hypokinesia. Once stabilized, she was discharged on heart failure medication, bromocriptine, and warfarin. Cardiac magnetic resonance imaging at five weeks demonstrated a preserved LVEF of 57% and no evidence of myocardial scarring or edema. During the 4-year follow-up, the patient remained stable with no new pregnancies. This case highlights the importance of considering PPCM in the differential diagnosis of heart failure in the peripartum period after excluding other etiologies. It also describes the successful use of bromocriptine in facilitating recovery of systolic function without long-term complications.

Abstract Image

Abstract Image

Abstract Image

围产期心肌病管理:来自拉丁美洲病例报告的见解。
围产期心肌病(PPCM)是一种潜在的危及生命的状况,可发生在妊娠晚期或产褥期。一位31岁的女性与最近的双胎妊娠后9天出现心力衰竭症状。入院时,患者有容量超载和血流动力学损害,在左西孟旦支持下,这种情况迅速得到扭转。超声心动图显示左心室射血分数(LVEF)为20%,整体运动不足。病情稳定后,她出院了,服用了治疗心力衰竭的药物、溴隐亭和华法林。5周的心脏磁共振成像显示LVEF保留了57%,没有心肌瘢痕或水肿的证据。在4年的随访中,患者病情稳定,无新妊娠。本病例强调在排除其他病因后,在围产期心力衰竭鉴别诊断中考虑PPCM的重要性。它还描述了溴隐亭在促进收缩功能恢复无长期并发症的成功使用。
本文章由计算机程序翻译,如有差异,请以英文原文为准。
求助全文
约1分钟内获得全文 求助全文
来源期刊
CiteScore
0.40
自引率
0.00%
发文量
0
审稿时长
4 weeks
×
引用
GB/T 7714-2015
复制
MLA
复制
APA
复制
导出至
BibTeX EndNote RefMan NoteFirst NoteExpress
×
提示
您的信息不完整,为了账户安全,请先补充。
现在去补充
×
提示
您因"违规操作"
具体请查看互助需知
我知道了
×
提示
确定
请完成安全验证×
copy
已复制链接
快去分享给好友吧!
我知道了
右上角分享
点击右上角分享
0
联系我们:info@booksci.cn Book学术提供免费学术资源搜索服务,方便国内外学者检索中英文文献。致力于提供最便捷和优质的服务体验。 Copyright © 2023 布克学术 All rights reserved.
京ICP备2023020795号-1
ghs 京公网安备 11010802042870号
Book学术文献互助
Book学术文献互助群
群 号:604180095
Book学术官方微信