MANAGEMENT OF SYNCHRONIC LARGE LIVER METASTASIS IN A NON-OCCLUSIVE COLON TUMOR.

IF 1.8
Eduardo José Brommelstroet Ramos, Hugo Pinto Marques, Martin Palavecino, Timothy Pawlik, Rene Adam, Olivier Soubrane, Paulo Herman, Ricardo Lemos Cotta-Pereira
{"title":"MANAGEMENT OF SYNCHRONIC LARGE LIVER METASTASIS IN A NON-OCCLUSIVE COLON TUMOR.","authors":"Eduardo José Brommelstroet Ramos, Hugo Pinto Marques, Martin Palavecino, Timothy Pawlik, Rene Adam, Olivier Soubrane, Paulo Herman, Ricardo Lemos Cotta-Pereira","doi":"10.1590/0102-6720202400064e1858","DOIUrl":null,"url":null,"abstract":"<p><p>In patients with synchronic liver colorectal metastasis, resection of the primary tumor and liver metastases is the only potentially curative strategy. In such cases, there is no consensus on whether resection of the primary tumor and metastases should be performed simultaneously or whether a staged approach should be performed (resection of the primary tumor and after, hepatectomy, or hepatectomy first). Patients with no bowel occlusion and with extensive liver disease are advised neoadjuvant oncological therapy. Similarly, various strategies such as portal vein embolization, liver deprivation, two-staged hepatectomy, and associating liver partition and portal vein ligation are available for patients who do not have a sufficient future liver remnant (generally 30-40% of the total). Therefore, a multidisciplinary approach is required for the treatment of these patients.</p>","PeriodicalId":72298,"journal":{"name":"Arquivos brasileiros de cirurgia digestiva : ABCD = Brazilian archives of digestive surgery","volume":"37 ","pages":"e1858"},"PeriodicalIF":1.8000,"publicationDate":"2025-01-20","publicationTypes":"Journal Article","fieldsOfStudy":null,"isOpenAccess":false,"openAccessPdf":"https://www.ncbi.nlm.nih.gov/pmc/articles/PMC11745478/pdf/","citationCount":"0","resultStr":null,"platform":"Semanticscholar","paperid":null,"PeriodicalName":"Arquivos brasileiros de cirurgia digestiva : ABCD = Brazilian archives of digestive surgery","FirstCategoryId":"1085","ListUrlMain":"https://doi.org/10.1590/0102-6720202400064e1858","RegionNum":0,"RegionCategory":null,"ArticlePicture":[],"TitleCN":null,"AbstractTextCN":null,"PMCID":null,"EPubDate":"2025/1/1 0:00:00","PubModel":"eCollection","JCR":"","JCRName":"","Score":null,"Total":0}
引用次数: 0

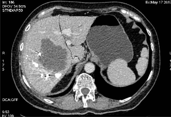
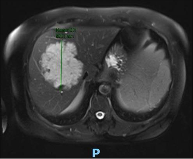
Abstract

In patients with synchronic liver colorectal metastasis, resection of the primary tumor and liver metastases is the only potentially curative strategy. In such cases, there is no consensus on whether resection of the primary tumor and metastases should be performed simultaneously or whether a staged approach should be performed (resection of the primary tumor and after, hepatectomy, or hepatectomy first). Patients with no bowel occlusion and with extensive liver disease are advised neoadjuvant oncological therapy. Similarly, various strategies such as portal vein embolization, liver deprivation, two-staged hepatectomy, and associating liver partition and portal vein ligation are available for patients who do not have a sufficient future liver remnant (generally 30-40% of the total). Therefore, a multidisciplinary approach is required for the treatment of these patients.

Abstract Image

Abstract Image

Abstract Image

非闭塞性结肠肿瘤同步大肝转移的处理。
在同时性肝结直肠转移的患者中,切除原发肿瘤和肝转移是唯一潜在的治疗策略。在这种情况下,是否应该同时切除原发肿瘤和转移灶,或者是否应该分阶段进行(原发肿瘤切除后,肝切除术,还是先肝切除术),目前尚无共识。没有肠阻塞和广泛肝脏疾病的患者建议进行新辅助肿瘤治疗。同样,对于未来肝残量不足(一般占总数的30-40%)的患者,可采用门静脉栓塞、肝剥夺、两期肝切除术、相关肝分区和门静脉结扎等多种策略。因此,需要多学科的方法来治疗这些患者。
本文章由计算机程序翻译,如有差异,请以英文原文为准。
求助全文
约1分钟内获得全文 求助全文
来源期刊
自引率
0.00%
发文量
0
×
引用
GB/T 7714-2015
复制
MLA
复制
APA
复制
导出至
BibTeX EndNote RefMan NoteFirst NoteExpress
×
提示
您的信息不完整,为了账户安全,请先补充。
现在去补充
×
提示
您因"违规操作"
具体请查看互助需知
我知道了
×
提示
确定
请完成安全验证×
copy
已复制链接
快去分享给好友吧!
我知道了
右上角分享
点击右上角分享
0
联系我们:info@booksci.cn Book学术提供免费学术资源搜索服务,方便国内外学者检索中英文文献。致力于提供最便捷和优质的服务体验。 Copyright © 2023 布克学术 All rights reserved.
京ICP备2023020795号-1
ghs 京公网安备 11010802042870号
Book学术文献互助
Book学术文献互助群
群 号:604180095
Book学术官方微信