CHROMOPHOBE HEPATOCELLULAR CARCINOMA: DIAGNOSTIC CHALLENGES.

IF 1.8
Sana Ben-Slama, Ines Mallek, Eya Ghorbeli, Mohamed Hajri, Taher Labidi, Hafedh Mestiri, Ahlem Lahmar, Dhouha Bacha
{"title":"CHROMOPHOBE HEPATOCELLULAR CARCINOMA: DIAGNOSTIC CHALLENGES.","authors":"Sana Ben-Slama, Ines Mallek, Eya Ghorbeli, Mohamed Hajri, Taher Labidi, Hafedh Mestiri, Ahlem Lahmar, Dhouha Bacha","doi":"10.1590/0102-6720202400069e1863","DOIUrl":null,"url":null,"abstract":"<p><strong>Background: </strong>Hepatocellular carcinoma (HCC) encompasses rare variants like chromophobe hepatocellular carcinoma (CHCC) characterized by distinct histological features and molecular profiles.</p><p><strong>Case report: </strong>A 56-year-old male with chronic hepatitis C, presenting pain in the right hypochondrium. Imaging revealed a solitary liver lesion, subsequently resected and histologically diagnosed as HCC. Macroscopic examination found a 4×4 cm encapsulated liver nodule with necrotic areas, surrounded by numerous smaller satellite nodules in Segment 6. The liver was in micronodular cirrhosis. Histologically, the tumor had focal trabecular or pseudoglandular patterns within a vascularized stroma. The cells were large, with clear to eosinophilic cytoplasm and hyperchromatic and pleomorphic nuclei with focal anaplastic features. No vascular invasion was noted in adjacent cirrhotic liver tissue.</p><p><strong>Results: </strong>The final diagnosis was CHCC. Due to its rarity and overlapping characteristics with other hepatic tumors, CHCC poses diagnostic challenges. Accurate diagnosis necessitates thorough histopathological assessment and molecular testing. The identification of the alternative lengthening of telomeres phenotype may distinguish CHCC from conventional HCC and hold potential implications for targeted therapeutic approaches.</p><p><strong>Conclusions: </strong>Recognition of HCC variants is critical for effective management and underscores the need for continued research into its clinical behavior and therapeutic responses.</p>","PeriodicalId":72298,"journal":{"name":"Arquivos brasileiros de cirurgia digestiva : ABCD = Brazilian archives of digestive surgery","volume":"37 ","pages":"e1863"},"PeriodicalIF":1.8000,"publicationDate":"2025-01-20","publicationTypes":"Journal Article","fieldsOfStudy":null,"isOpenAccess":false,"openAccessPdf":"https://www.ncbi.nlm.nih.gov/pmc/articles/PMC11745479/pdf/","citationCount":"0","resultStr":null,"platform":"Semanticscholar","paperid":null,"PeriodicalName":"Arquivos brasileiros de cirurgia digestiva : ABCD = Brazilian archives of digestive surgery","FirstCategoryId":"1085","ListUrlMain":"https://doi.org/10.1590/0102-6720202400069e1863","RegionNum":0,"RegionCategory":null,"ArticlePicture":[],"TitleCN":null,"AbstractTextCN":null,"PMCID":null,"EPubDate":"2025/1/1 0:00:00","PubModel":"eCollection","JCR":"","JCRName":"","Score":null,"Total":0}
引用次数: 0

Abstract

Background: Hepatocellular carcinoma (HCC) encompasses rare variants like chromophobe hepatocellular carcinoma (CHCC) characterized by distinct histological features and molecular profiles.

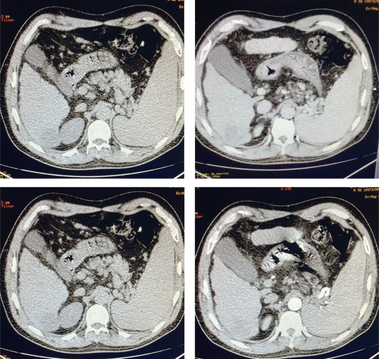
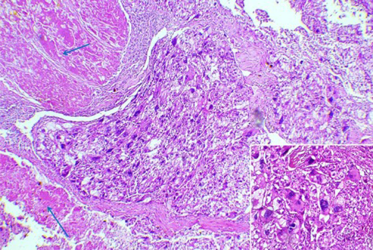
Case report: A 56-year-old male with chronic hepatitis C, presenting pain in the right hypochondrium. Imaging revealed a solitary liver lesion, subsequently resected and histologically diagnosed as HCC. Macroscopic examination found a 4×4 cm encapsulated liver nodule with necrotic areas, surrounded by numerous smaller satellite nodules in Segment 6. The liver was in micronodular cirrhosis. Histologically, the tumor had focal trabecular or pseudoglandular patterns within a vascularized stroma. The cells were large, with clear to eosinophilic cytoplasm and hyperchromatic and pleomorphic nuclei with focal anaplastic features. No vascular invasion was noted in adjacent cirrhotic liver tissue.

Results: The final diagnosis was CHCC. Due to its rarity and overlapping characteristics with other hepatic tumors, CHCC poses diagnostic challenges. Accurate diagnosis necessitates thorough histopathological assessment and molecular testing. The identification of the alternative lengthening of telomeres phenotype may distinguish CHCC from conventional HCC and hold potential implications for targeted therapeutic approaches.

Conclusions: Recognition of HCC variants is critical for effective management and underscores the need for continued research into its clinical behavior and therapeutic responses.

Abstract Image

Abstract Image

Abstract Image

憎色性肝细胞癌:诊断挑战。
背景:肝细胞癌(HCC)包括罕见的变体,如憎色性肝细胞癌(CHCC),具有独特的组织学特征和分子特征。病例报告:一名56岁男性慢性丙型肝炎患者,表现为右侧胁肋疼痛。影像学显示单发肝脏病变,随后切除,组织学诊断为HCC。肉眼检查发现一个4×4 cm包裹的肝结节伴坏死区域,周围有许多较小的6节段卫星结节。肝呈小结节性肝硬化。组织学上,肿瘤在血管化的间质内呈局灶性小梁或假腺型。细胞体积大,胞浆明显嗜酸性,细胞核深染多形性,具有局灶性间变性特征。邻近肝硬化肝组织未见血管侵犯。结果:最终诊断为CHCC。由于其罕见性和与其他肝脏肿瘤的重叠特征,CHCC给诊断带来了挑战。准确的诊断需要彻底的组织病理学评估和分子检测。鉴别端粒表型的选择性延长可能将CHCC与常规HCC区分开来,并对靶向治疗方法具有潜在的意义。结论:识别HCC变异对有效治疗至关重要,并强调了继续研究其临床行为和治疗反应的必要性。
本文章由计算机程序翻译,如有差异,请以英文原文为准。
求助全文
约1分钟内获得全文 求助全文
来源期刊
自引率
0.00%
发文量
0
×
引用
GB/T 7714-2015
复制
MLA
复制
APA
复制
导出至
BibTeX EndNote RefMan NoteFirst NoteExpress
×
提示
您的信息不完整,为了账户安全,请先补充。
现在去补充
×
提示
您因"违规操作"
具体请查看互助需知
我知道了
×
提示
确定
请完成安全验证×
copy
已复制链接
快去分享给好友吧!
我知道了
右上角分享
点击右上角分享
0
联系我们:info@booksci.cn Book学术提供免费学术资源搜索服务,方便国内外学者检索中英文文献。致力于提供最便捷和优质的服务体验。 Copyright © 2023 布克学术 All rights reserved.
京ICP备2023020795号-1
ghs 京公网安备 11010802042870号
Book学术文献互助
Book学术文献互助群
群 号:604180095
Book学术官方微信