The Prevalence of Peripheral Erythrophagocytosis in Pediatric Immune-Mediated Hemolytic Anemia.

IF 1.2 Q4 HEMATOLOGY
Anselm Chi-Wai Lee
{"title":"The Prevalence of Peripheral Erythrophagocytosis in Pediatric Immune-Mediated Hemolytic Anemia.","authors":"Anselm Chi-Wai Lee","doi":"10.3390/hematolrep17010004","DOIUrl":null,"url":null,"abstract":"<p><strong>Background: </strong>Peripheral erythrophagocytosis appears to be a unique sign of acquired immune-mediated hemolytic anemia. It is said to be rare but its prevalence among patients with autoimmune hemolytic anemia has not been studied.</p><p><strong>Methods: </strong>In this retrospective study from July 2014 to June 2024, the clinical and laboratory features, treatment and outcomes of children diagnosed with autoimmune hemolytic anemia were described. The prevalence of peripheral erythrophagocytosis was compared to a group of children with hereditary spherocytosis at the time of first diagnosis seen in the same period.</p><p><strong>Results: </strong>Twelve consecutive children with autoimmune hemolytic anemia were included. There were four female patients. The mean age was 6.7 (range 0.8 to 16.6) years. The mean hemoglobin was 6.0 (range 2.5 to 8.1) g/dL. Seven patients were positive by a direct antiglobulin test, three were positive with cold agglutinins and two were positive on both tests. In seven cases, an acute infection appeared to be the precipitating factor. Mycoplasma pneumoniae infection was documented in three and suspected in another two cases. Peripheral erythrophagocytosis was present in five cases (42%) but was not found at diagnosis in any of the 16 cases of hereditary spherocytosis (<i>p</i> = 0.0081). Six children had pre-existing diseases, including two with hereditary hemolytic anemia.</p><p><strong>Conclusions: </strong>Peripheral erythrophagocytosis is a relatively common and characteristic finding in pediatric autoimmune hemolytic anemia and should be actively looked for in the evaluation of acute hemolysis, including in children with pre-existing hereditary hemolytic disorders.</p>","PeriodicalId":12829,"journal":{"name":"Hematology Reports","volume":"17 1","pages":""},"PeriodicalIF":1.2000,"publicationDate":"2025-01-20","publicationTypes":"Journal Article","fieldsOfStudy":null,"isOpenAccess":false,"openAccessPdf":"https://www.ncbi.nlm.nih.gov/pmc/articles/PMC11755530/pdf/","citationCount":"0","resultStr":null,"platform":"Semanticscholar","paperid":null,"PeriodicalName":"Hematology Reports","FirstCategoryId":"1085","ListUrlMain":"https://doi.org/10.3390/hematolrep17010004","RegionNum":0,"RegionCategory":null,"ArticlePicture":[],"TitleCN":null,"AbstractTextCN":null,"PMCID":null,"EPubDate":"","PubModel":"","JCR":"Q4","JCRName":"HEMATOLOGY","Score":null,"Total":0}
引用次数: 0

Abstract

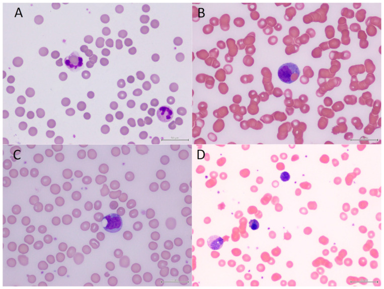
Background: Peripheral erythrophagocytosis appears to be a unique sign of acquired immune-mediated hemolytic anemia. It is said to be rare but its prevalence among patients with autoimmune hemolytic anemia has not been studied.

Methods: In this retrospective study from July 2014 to June 2024, the clinical and laboratory features, treatment and outcomes of children diagnosed with autoimmune hemolytic anemia were described. The prevalence of peripheral erythrophagocytosis was compared to a group of children with hereditary spherocytosis at the time of first diagnosis seen in the same period.

Results: Twelve consecutive children with autoimmune hemolytic anemia were included. There were four female patients. The mean age was 6.7 (range 0.8 to 16.6) years. The mean hemoglobin was 6.0 (range 2.5 to 8.1) g/dL. Seven patients were positive by a direct antiglobulin test, three were positive with cold agglutinins and two were positive on both tests. In seven cases, an acute infection appeared to be the precipitating factor. Mycoplasma pneumoniae infection was documented in three and suspected in another two cases. Peripheral erythrophagocytosis was present in five cases (42%) but was not found at diagnosis in any of the 16 cases of hereditary spherocytosis (p = 0.0081). Six children had pre-existing diseases, including two with hereditary hemolytic anemia.

Conclusions: Peripheral erythrophagocytosis is a relatively common and characteristic finding in pediatric autoimmune hemolytic anemia and should be actively looked for in the evaluation of acute hemolysis, including in children with pre-existing hereditary hemolytic disorders.

Abstract Image

儿童免疫介导的溶血性贫血中外周血红细胞吞噬的患病率。
背景:外周性红细胞吞噬似乎是获得性免疫介导的溶血性贫血的一个独特标志。据说它是罕见的,但其在自身免疫性溶血性贫血患者中的患病率尚未研究。方法:回顾性分析2014年7月至2024年6月诊断为自身免疫性溶血性贫血的儿童的临床和实验室特征、治疗和结局。外围的患病率erythrophagocytosis相比,是一组遗传性球形红细胞症患儿首次诊断的时候出现在同一时期。结果:连续纳入12例自身免疫性溶血性贫血患儿。有4名女性患者。平均年龄为6.7岁(0.8 ~ 16.6岁)。平均血红蛋白6.0(范围2.5 ~ 8.1)g/dL。7例患者直接抗球蛋白试验阳性,3例冷凝集素试验阳性,2例两项试验均阳性。在7例中,急性感染似乎是诱发因素。3例记录为肺炎支原体感染,另外2例疑似感染。5例(42%)外周血有红细胞增多症,但16例遗传性球形红细胞增多症诊断时未发现(p = 0.0081)。六名儿童先前患有疾病,其中两名患有遗传性溶血性贫血。结论:外围erythrophagocytosis是相对常见的和特点找到儿童自身免疫性溶血性贫血,应积极寻找在评价急性溶血,包括儿童已有的遗传性溶血性疾病。
本文章由计算机程序翻译,如有差异,请以英文原文为准。
求助全文
约1分钟内获得全文 求助全文
来源期刊
Hematology Reports
Hematology Reports HEMATOLOGY-
CiteScore
0.90
自引率
0.00%
发文量
47
审稿时长
10 weeks
×
引用
GB/T 7714-2015
复制
MLA
复制
APA
复制
导出至
BibTeX EndNote RefMan NoteFirst NoteExpress
×
提示
您的信息不完整,为了账户安全,请先补充。
现在去补充
×
提示
您因"违规操作"
具体请查看互助需知
我知道了
×
提示
确定
请完成安全验证×
copy
已复制链接
快去分享给好友吧!
我知道了
右上角分享
点击右上角分享
0
联系我们:info@booksci.cn Book学术提供免费学术资源搜索服务,方便国内外学者检索中英文文献。致力于提供最便捷和优质的服务体验。 Copyright © 2023 布克学术 All rights reserved.
京ICP备2023020795号-1
ghs 京公网安备 11010802042870号
Book学术文献互助
Book学术文献互助群
群 号:604180095
Book学术官方微信