Liver macrophage activation: Relation with hepatic histopathological changes in patients with metabolic associated steatotic liver disease.

IF 1.7 Q3 GASTROENTEROLOGY & HEPATOLOGY
Clinical and Experimental Hepatology Pub Date : 2024-03-01 Epub Date: 2024-06-11 DOI:10.5114/ceh.2024.139983
Doaa H Hegazy, Fathalla S Mohamed, Sabah A H Mahmoud, Nevine M F El Deeb, Amany S Elyamany, Ahmed M Elgendi
{"title":"Liver macrophage activation: Relation with hepatic histopathological changes in patients with metabolic associated steatotic liver disease.","authors":"Doaa H Hegazy, Fathalla S Mohamed, Sabah A H Mahmoud, Nevine M F El Deeb, Amany S Elyamany, Ahmed M Elgendi","doi":"10.5114/ceh.2024.139983","DOIUrl":null,"url":null,"abstract":"<p><strong>Aim of the study: </strong>Metabolic associated steatotic liver disease (MASLD) is one of the most frequent chronic liver diseases in the world; macrophage activation is reflected by increased expression of CD163, which sheds as serum soluble CD163 that is linked to hepatic steatosis, inflammation, and fibrosis. Aim of the study was assessment of liver macrophage activation and hepatic histopathological changes in patients with MASLD.</p><p><strong>Material and methods: </strong>A total of 30 patients with MASLD and equal numbers of age- and sex-matched healthy controls were enrolled in the study. Quantitative serum levels of soluble CD163 (sCD163) were determined using a commercially available standard sandwich ELISA kit. Core liver biopsies were obtained from patients with MASLD and evaluation of CD163 using anti-CD163 Ab-1 (Clone 10D6) - mouse monoclonal antibody.</p><p><strong>Results: </strong>The median sCD163 level was significantly higher in patients with MASLD compared with healthy controls. It can discriminate patients with MASLD from healthy controls at a cut-off value of 814 pg/ml. sCD163 level and intrahepatic total CD163-positive cell count were positively correlated, and both showed positive correlations with nonalcoholic fatty liver disease activity score.</p><p><strong>Conclusions: </strong>Soluble CD163 can discriminate MASLD patients from healthy controls after the exclusion of other causes of inflammation.</p>","PeriodicalId":10281,"journal":{"name":"Clinical and Experimental Hepatology","volume":"10 2","pages":"79-89"},"PeriodicalIF":1.7000,"publicationDate":"2024-03-01","publicationTypes":"Journal Article","fieldsOfStudy":null,"isOpenAccess":false,"openAccessPdf":"https://www.ncbi.nlm.nih.gov/pmc/articles/PMC11748224/pdf/","citationCount":"0","resultStr":null,"platform":"Semanticscholar","paperid":null,"PeriodicalName":"Clinical and Experimental Hepatology","FirstCategoryId":"1085","ListUrlMain":"https://doi.org/10.5114/ceh.2024.139983","RegionNum":0,"RegionCategory":null,"ArticlePicture":[],"TitleCN":null,"AbstractTextCN":null,"PMCID":null,"EPubDate":"2024/6/11 0:00:00","PubModel":"Epub","JCR":"Q3","JCRName":"GASTROENTEROLOGY & HEPATOLOGY","Score":null,"Total":0}
引用次数: 0

Abstract

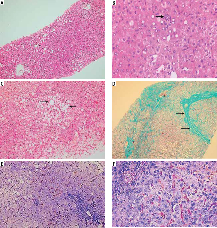
Aim of the study: Metabolic associated steatotic liver disease (MASLD) is one of the most frequent chronic liver diseases in the world; macrophage activation is reflected by increased expression of CD163, which sheds as serum soluble CD163 that is linked to hepatic steatosis, inflammation, and fibrosis. Aim of the study was assessment of liver macrophage activation and hepatic histopathological changes in patients with MASLD.

Material and methods: A total of 30 patients with MASLD and equal numbers of age- and sex-matched healthy controls were enrolled in the study. Quantitative serum levels of soluble CD163 (sCD163) were determined using a commercially available standard sandwich ELISA kit. Core liver biopsies were obtained from patients with MASLD and evaluation of CD163 using anti-CD163 Ab-1 (Clone 10D6) - mouse monoclonal antibody.

Results: The median sCD163 level was significantly higher in patients with MASLD compared with healthy controls. It can discriminate patients with MASLD from healthy controls at a cut-off value of 814 pg/ml. sCD163 level and intrahepatic total CD163-positive cell count were positively correlated, and both showed positive correlations with nonalcoholic fatty liver disease activity score.

Conclusions: Soluble CD163 can discriminate MASLD patients from healthy controls after the exclusion of other causes of inflammation.

Abstract Image

Abstract Image

Abstract Image

肝巨噬细胞活化:与代谢性脂肪变性肝病患者肝脏组织病理学改变的关系
研究目的:代谢性脂肪变性肝病(MASLD)是世界上最常见的慢性肝病之一;巨噬细胞活化通过CD163的表达增加来反映,CD163以血清可溶性CD163的形式脱落,与肝脏脂肪变性、炎症和纤维化有关。本研究的目的是评估MASLD患者肝巨噬细胞活化和肝脏组织病理学改变。材料和方法:共有30名MASLD患者和同等数量的年龄和性别匹配的健康对照者被纳入研究。使用市售的标准夹心ELISA试剂盒测定血清可溶性CD163 (sCD163)的定量水平。对MASLD患者进行核心肝活检,并使用抗CD163 Ab-1(克隆10D6) -小鼠单克隆抗体评估CD163。结果:与健康对照组相比,MASLD患者的中位sCD163水平显著升高。它可以区分MASLD患者与健康对照,临界值为814 pg/ml。sCD163水平与肝内总cd163阳性细胞计数呈正相关,且均与非酒精性脂肪肝活动性评分呈正相关。结论:在排除其他炎症原因后,可溶性CD163可以将MASLD患者与健康对照区分开来。
本文章由计算机程序翻译,如有差异,请以英文原文为准。
求助全文
约1分钟内获得全文 求助全文
来源期刊
Clinical and Experimental Hepatology
Clinical and Experimental Hepatology GASTROENTEROLOGY & HEPATOLOGY-
CiteScore
2.80
自引率
0.00%
发文量
32
期刊介绍: Clinical and Experimental Hepatology – quarterly of the Polish Association for Study of Liver – is a scientific and educational, peer-reviewed journal publishing original and review papers describing clinical and basic investigations in the field of hepatology.
×
引用
GB/T 7714-2015
复制
MLA
复制
APA
复制
导出至
BibTeX EndNote RefMan NoteFirst NoteExpress
×
提示
您的信息不完整,为了账户安全,请先补充。
现在去补充
×
提示
您因"违规操作"
具体请查看互助需知
我知道了
×
提示
确定
请完成安全验证×
copy
已复制链接
快去分享给好友吧!
我知道了
右上角分享
点击右上角分享
0
联系我们:info@booksci.cn Book学术提供免费学术资源搜索服务,方便国内外学者检索中英文文献。致力于提供最便捷和优质的服务体验。 Copyright © 2023 布克学术 All rights reserved.
京ICP备2023020795号-1
ghs 京公网安备 11010802042870号
Book学术文献互助
Book学术文献互助群
群 号:604180095
Book学术官方微信