Glucocorticoid receptors: The key of the response to steroid therapy in autoimmune hepatitis.

IF 1.7 Q3 GASTROENTEROLOGY & HEPATOLOGY
Clinical and Experimental Hepatology Pub Date : 2024-03-01 Epub Date: 2024-06-18 DOI:10.5114/ceh.2024.140322
Mohamed A S El-Guindi, Haidy M Zakaria, Doha M Taie, Mohammed A Khedr, Nermin M Adawy, Basma M Abd-Elaati
{"title":"Glucocorticoid receptors: The key of the response to steroid therapy in autoimmune hepatitis.","authors":"Mohamed A S El-Guindi, Haidy M Zakaria, Doha M Taie, Mohammed A Khedr, Nermin M Adawy, Basma M Abd-Elaati","doi":"10.5114/ceh.2024.140322","DOIUrl":null,"url":null,"abstract":"<p><strong>Aim of the study: </strong>This study was performed to investigate the hepatic expression of glucocorticoid receptors (GR) and 11β-hydroxysteroid dehydrogenase type 1 (11β-HSD1) in pediatric autoimmune hepatitis (AIH) patients and its relation to the steroid response.</p><p><strong>Material and methods: </strong>This study included 100 patients diagnosed with AIH on immunosuppressive therapy with different responses to treatment. The patients were subjected to full history taking and thorough clinical examination, laboratory investigations, abdominal ultrasound and liver biopsy for histopathological evaluation and assessment of the hepatic expression of GR and 11β-HSD1.</p><p><strong>Results: </strong>Out of the 100 cases, 82 cases showed a complete response, 11 a partial response and 7 cases were non-responders. The sex, age distribution and clinical presentation of the disease were comparable among the different response groups. Glucocorticoid receptors reactivity was significantly more intense in patients with a complete response than both patients with a partial response and non-responders. 11β-HSD intensity was higher in complete and partial responders in comparison with non-responders but without significance. The percentage of patients with a GR intensity score ≥ 200 was significantly higher in patients with a complete response than patients with a partial response and non-responders (<i>p</i> < 0.05). The GR intensity score had a significant positive correlation with intensity of 11β-HSD (<i>r</i> = 0.369, <i>p</i> < 0.0001).</p><p><strong>Conclusions: </strong>Glucocorticoid receptors expression was significantly variable in children with AIH and closely related to the response to therapy. However, the 11β-HSD expression was comparable between different response groups.</p>","PeriodicalId":10281,"journal":{"name":"Clinical and Experimental Hepatology","volume":"10 2","pages":"111-119"},"PeriodicalIF":1.7000,"publicationDate":"2024-03-01","publicationTypes":"Journal Article","fieldsOfStudy":null,"isOpenAccess":false,"openAccessPdf":"https://www.ncbi.nlm.nih.gov/pmc/articles/PMC11748230/pdf/","citationCount":"0","resultStr":null,"platform":"Semanticscholar","paperid":null,"PeriodicalName":"Clinical and Experimental Hepatology","FirstCategoryId":"1085","ListUrlMain":"https://doi.org/10.5114/ceh.2024.140322","RegionNum":0,"RegionCategory":null,"ArticlePicture":[],"TitleCN":null,"AbstractTextCN":null,"PMCID":null,"EPubDate":"2024/6/18 0:00:00","PubModel":"Epub","JCR":"Q3","JCRName":"GASTROENTEROLOGY & HEPATOLOGY","Score":null,"Total":0}
引用次数: 0

Abstract

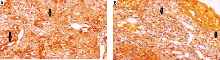
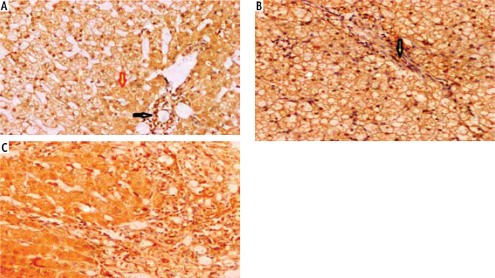
Aim of the study: This study was performed to investigate the hepatic expression of glucocorticoid receptors (GR) and 11β-hydroxysteroid dehydrogenase type 1 (11β-HSD1) in pediatric autoimmune hepatitis (AIH) patients and its relation to the steroid response.

Material and methods: This study included 100 patients diagnosed with AIH on immunosuppressive therapy with different responses to treatment. The patients were subjected to full history taking and thorough clinical examination, laboratory investigations, abdominal ultrasound and liver biopsy for histopathological evaluation and assessment of the hepatic expression of GR and 11β-HSD1.

Results: Out of the 100 cases, 82 cases showed a complete response, 11 a partial response and 7 cases were non-responders. The sex, age distribution and clinical presentation of the disease were comparable among the different response groups. Glucocorticoid receptors reactivity was significantly more intense in patients with a complete response than both patients with a partial response and non-responders. 11β-HSD intensity was higher in complete and partial responders in comparison with non-responders but without significance. The percentage of patients with a GR intensity score ≥ 200 was significantly higher in patients with a complete response than patients with a partial response and non-responders (p < 0.05). The GR intensity score had a significant positive correlation with intensity of 11β-HSD (r = 0.369, p < 0.0001).

Conclusions: Glucocorticoid receptors expression was significantly variable in children with AIH and closely related to the response to therapy. However, the 11β-HSD expression was comparable between different response groups.

Abstract Image

Abstract Image

糖皮质激素受体:自身免疫性肝炎对类固醇治疗反应的关键。
研究目的:本研究旨在探讨儿童自身免疫性肝炎(AIH)患者肝脏糖皮质激素受体(GR)和11β-羟基类固醇脱氢酶1型(11β-HSD1)的表达及其与类固醇反应的关系。材料与方法:本研究纳入100例经免疫抑制治疗的AIH患者,治疗反应不同。对患者进行全面的病史和临床检查、实验室检查、腹部超声和肝脏活检,进行组织病理学评估,评估肝脏中GR和11β-HSD1的表达。结果:100例患者中,完全缓解82例,部分缓解11例,无缓解7例。不同反应组的性别、年龄分布和临床表现具有可比性。完全缓解患者的糖皮质激素受体反应性明显强于部分缓解和无缓解患者。完全缓解者和部分缓解者的11β-HSD强度均高于无缓解者,但差异无统计学意义。完全缓解组GR强度评分≥200的患者比例显著高于部分缓解组和无缓解组(p < 0.05)。GR强度评分与11β-HSD强度呈正相关(r = 0.369, p < 0.0001)。结论:糖皮质激素受体表达在AIH患儿中有显著差异,且与治疗反应密切相关。然而,11β-HSD的表达在不同反应组之间具有可比性。
本文章由计算机程序翻译,如有差异,请以英文原文为准。
求助全文
约1分钟内获得全文 求助全文
来源期刊
Clinical and Experimental Hepatology
Clinical and Experimental Hepatology GASTROENTEROLOGY & HEPATOLOGY-
CiteScore
2.80
自引率
0.00%
发文量
32
期刊介绍: Clinical and Experimental Hepatology – quarterly of the Polish Association for Study of Liver – is a scientific and educational, peer-reviewed journal publishing original and review papers describing clinical and basic investigations in the field of hepatology.
×
引用
GB/T 7714-2015
复制
MLA
复制
APA
复制
导出至
BibTeX EndNote RefMan NoteFirst NoteExpress
×
提示
您的信息不完整,为了账户安全,请先补充。
现在去补充
×
提示
您因"违规操作"
具体请查看互助需知
我知道了
×
提示
确定
请完成安全验证×
copy
已复制链接
快去分享给好友吧!
我知道了
右上角分享
点击右上角分享
0
联系我们:info@booksci.cn Book学术提供免费学术资源搜索服务,方便国内外学者检索中英文文献。致力于提供最便捷和优质的服务体验。 Copyright © 2023 布克学术 All rights reserved.
京ICP备2023020795号-1
ghs 京公网安备 11010802042870号
Book学术文献互助
Book学术文献互助群
群 号:604180095
Book学术官方微信