A rare case of bone lesion: Mandible's fibrous dysplasia.

National journal of maxillofacial surgery Pub Date : 2024-09-01 Epub Date: 2024-11-16 DOI:10.4103/njms.njms_35_23
Pietro Fusari, Federico Guerri, Matteo Arcari, Andrea Sardella
{"title":"A rare case of bone lesion: Mandible's fibrous dysplasia.","authors":"Pietro Fusari, Federico Guerri, Matteo Arcari, Andrea Sardella","doi":"10.4103/njms.njms_35_23","DOIUrl":null,"url":null,"abstract":"<p><p>Fibrous dysplasia is a rare genetic syndrome that affects bone tissue. This pathology replaces the mineralized matrix of the bone affected with connective and fibrous tissue. This article describes a mandibular fibrous osseous dysplasia case and its surgical treatment. A 45-year-old woman complained about a slow development of swelling of the left mandibular bone. The orthopantomography (OPT) and the cone beam computed tomography (CBCT) revealed a well-circumscribed sclerotic lesion with a ground-glass appearance apical to the 3.5 element. The surgery was performed to excise the lesion. Anatomopathological examination of tissue confirmed the suspects among the diagnosis of fibrous dysplasia. The patient underwent to follow-up of 4 years, and no recurrences were found. In the absence of a univocal consensus on therapy, surgery remains the treatment of choice for unifocal forms.</p>","PeriodicalId":101444,"journal":{"name":"National journal of maxillofacial surgery","volume":"15 3","pages":"518-520"},"PeriodicalIF":0.0000,"publicationDate":"2024-09-01","publicationTypes":"Journal Article","fieldsOfStudy":null,"isOpenAccess":false,"openAccessPdf":"https://www.ncbi.nlm.nih.gov/pmc/articles/PMC11737581/pdf/","citationCount":"0","resultStr":null,"platform":"Semanticscholar","paperid":null,"PeriodicalName":"National journal of maxillofacial surgery","FirstCategoryId":"1085","ListUrlMain":"https://doi.org/10.4103/njms.njms_35_23","RegionNum":0,"RegionCategory":null,"ArticlePicture":[],"TitleCN":null,"AbstractTextCN":null,"PMCID":null,"EPubDate":"2024/11/16 0:00:00","PubModel":"Epub","JCR":"","JCRName":"","Score":null,"Total":0}
引用次数: 0

Abstract

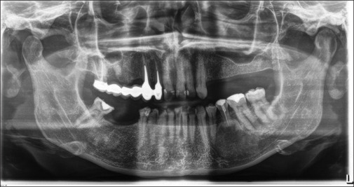
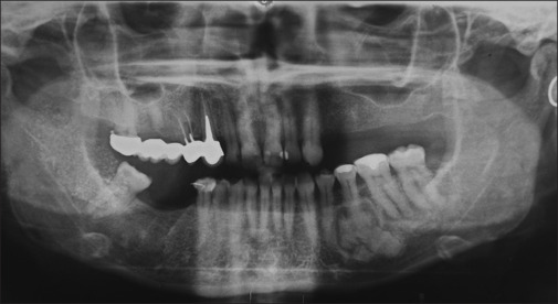
Fibrous dysplasia is a rare genetic syndrome that affects bone tissue. This pathology replaces the mineralized matrix of the bone affected with connective and fibrous tissue. This article describes a mandibular fibrous osseous dysplasia case and its surgical treatment. A 45-year-old woman complained about a slow development of swelling of the left mandibular bone. The orthopantomography (OPT) and the cone beam computed tomography (CBCT) revealed a well-circumscribed sclerotic lesion with a ground-glass appearance apical to the 3.5 element. The surgery was performed to excise the lesion. Anatomopathological examination of tissue confirmed the suspects among the diagnosis of fibrous dysplasia. The patient underwent to follow-up of 4 years, and no recurrences were found. In the absence of a univocal consensus on therapy, surgery remains the treatment of choice for unifocal forms.

Abstract Image

Abstract Image

Abstract Image

下颌骨纤维性发育不良1例。
纤维发育不良是一种罕见的影响骨组织的遗传综合征。这种病理用结缔组织和纤维组织取代受影响的骨矿化基质。本文报告一下颌纤维性骨性发育不良病例及其手术治疗。45岁女性主诉左下颌骨缓慢肿胀。正体层析成像(OPT)和锥束计算机断层扫描(CBCT)显示一个边界清晰的硬化性病变,具有磨玻璃样外观,顶端至3.5元。手术是为了切除病变。组织的解剖病理检查证实了可疑间纤维发育不良的诊断。随访4年,无复发。在缺乏对治疗的统一共识的情况下,手术仍然是治疗单一形式的选择。
本文章由计算机程序翻译,如有差异,请以英文原文为准。
求助全文
约1分钟内获得全文 求助全文
来源期刊
CiteScore
1.20
自引率
0.00%
发文量
0
×
引用
GB/T 7714-2015
复制
MLA
复制
APA
复制
导出至
BibTeX EndNote RefMan NoteFirst NoteExpress
×
提示
您的信息不完整,为了账户安全,请先补充。
现在去补充
×
提示
您因"违规操作"
具体请查看互助需知
我知道了
×
提示
确定
请完成安全验证×
copy
已复制链接
快去分享给好友吧!
我知道了
右上角分享
点击右上角分享
0
联系我们:info@booksci.cn Book学术提供免费学术资源搜索服务,方便国内外学者检索中英文文献。致力于提供最便捷和优质的服务体验。 Copyright © 2023 布克学术 All rights reserved.
京ICP备2023020795号-1
ghs 京公网安备 11010802042870号
Book学术文献互助
Book学术文献互助群
群 号:604180095
Book学术官方微信