Role of decompression in pediatric mandibular odontogenic keratocyst.

National journal of maxillofacial surgery Pub Date : 2024-09-01 Epub Date: 2024-11-16 DOI:10.4103/njms.njms_143_23
Zainab Chaudhary, Neeraj Bansal, Chayanika Sharma, Abhinav Nehra
{"title":"Role of decompression in pediatric mandibular odontogenic keratocyst.","authors":"Zainab Chaudhary, Neeraj Bansal, Chayanika Sharma, Abhinav Nehra","doi":"10.4103/njms.njms_143_23","DOIUrl":null,"url":null,"abstract":"<p><p>Special care is required for the management of jaw lesions in pediatric population. The following article describes the decompression technique as the least aggressive approach for the management of pediatric mandibular odontogenic keratocyst. A custom-made acrylic splint was fabricated around teeth, and it was attached to a piece of Foley's catheter to be used as a decompression port. Subsequent radiographs revealed a decrease in the size of radiolucency, bone formation, and eruption of permanent premolars during a time period of 1 year only. This technique prevents damage to permanent tooth buds, vital anatomic structures like inferior alveolar neurovascular bundle, and fracture of bone which may occur with other common techniques of management of odontogenic keratocyst.</p>","PeriodicalId":101444,"journal":{"name":"National journal of maxillofacial surgery","volume":"15 3","pages":"526-529"},"PeriodicalIF":0.0000,"publicationDate":"2024-09-01","publicationTypes":"Journal Article","fieldsOfStudy":null,"isOpenAccess":false,"openAccessPdf":"https://www.ncbi.nlm.nih.gov/pmc/articles/PMC11737552/pdf/","citationCount":"0","resultStr":null,"platform":"Semanticscholar","paperid":null,"PeriodicalName":"National journal of maxillofacial surgery","FirstCategoryId":"1085","ListUrlMain":"https://doi.org/10.4103/njms.njms_143_23","RegionNum":0,"RegionCategory":null,"ArticlePicture":[],"TitleCN":null,"AbstractTextCN":null,"PMCID":null,"EPubDate":"2024/11/16 0:00:00","PubModel":"Epub","JCR":"","JCRName":"","Score":null,"Total":0}
引用次数: 0

Abstract

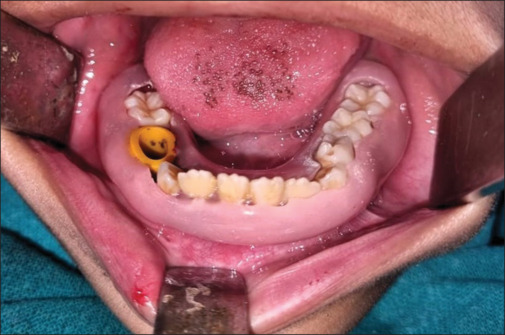
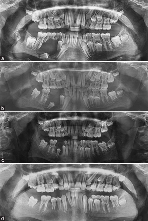
Special care is required for the management of jaw lesions in pediatric population. The following article describes the decompression technique as the least aggressive approach for the management of pediatric mandibular odontogenic keratocyst. A custom-made acrylic splint was fabricated around teeth, and it was attached to a piece of Foley's catheter to be used as a decompression port. Subsequent radiographs revealed a decrease in the size of radiolucency, bone formation, and eruption of permanent premolars during a time period of 1 year only. This technique prevents damage to permanent tooth buds, vital anatomic structures like inferior alveolar neurovascular bundle, and fracture of bone which may occur with other common techniques of management of odontogenic keratocyst.

Abstract Image

Abstract Image

减压在小儿下颌牙源性角化囊肿中的作用。
特殊护理是需要管理的颌骨病变的儿科人口。下面的文章描述了减压技术是治疗儿童下颌牙源性角化囊肿的最不具侵略性的方法。在牙齿周围制作了一个定制的丙烯酸夹板,并将其连接到Foley的导管上,作为减压口。随后的x线片显示,仅在1年的时间内,恒磨牙的放射透光度大小、骨形成和萌出都有所下降。该技术可防止永久性牙芽、下牙槽神经血管束等重要解剖结构的损伤,以及其他治疗牙源性角化囊肿的常用技术可能发生的骨折。
本文章由计算机程序翻译,如有差异,请以英文原文为准。
求助全文
约1分钟内获得全文 求助全文
来源期刊
CiteScore
1.20
自引率
0.00%
发文量
0
×
引用
GB/T 7714-2015
复制
MLA
复制
APA
复制
导出至
BibTeX EndNote RefMan NoteFirst NoteExpress
×
提示
您的信息不完整,为了账户安全,请先补充。
现在去补充
×
提示
您因"违规操作"
具体请查看互助需知
我知道了
×
提示
确定
请完成安全验证×
copy
已复制链接
快去分享给好友吧!
我知道了
右上角分享
点击右上角分享
0
联系我们:info@booksci.cn Book学术提供免费学术资源搜索服务,方便国内外学者检索中英文文献。致力于提供最便捷和优质的服务体验。 Copyright © 2023 布克学术 All rights reserved.
京ICP备2023020795号-1
ghs 京公网安备 11010802042870号
Book学术文献互助
Book学术文献互助群
群 号:604180095
Book学术官方微信