Successful Treatment of Severe Ectopic ACTH-Dependent Cushing Syndrome Complicated by Hypocalcemia With Osilodrostat.

JCEM case reports Pub Date : 2025-01-20 eCollection Date: 2025-02-01 DOI:10.1210/jcemcr/luae255
Kristen Lee, Carolina Mendes Pessoa, Wenyu Huang
{"title":"Successful Treatment of Severe Ectopic ACTH-Dependent Cushing Syndrome Complicated by Hypocalcemia With Osilodrostat.","authors":"Kristen Lee, Carolina Mendes Pessoa, Wenyu Huang","doi":"10.1210/jcemcr/luae255","DOIUrl":null,"url":null,"abstract":"<p><p>Cushing syndrome due to ectopic adrenocorticotropic hormone (ACTH) secretion (EAS) is rare and may progress rapidly, making treatment very challenging. We report a 27-year-old woman with metastatic neuroendocrine tumor (NET) who presented with sudden onset and rapidly progressing fatigue, muscle weakness, and weight gain. Laboratory findings confirmed severe EAS with new onset hypocalcemia, hypokalemia, and hyperglycemia. The patient was hospitalized and initiated on high-dose osilodrostat. Cortisol levels rapidly decreased in response to osilodrostat. During treatment, she developed glucocorticoid withdrawal symptoms for which hydrocortisone treatment was started. Due to her ineligibility for bilateral adrenalectomy, bilateral adrenal arterial embolization was attempted but ultimately converted to right-only embolization due to hypertensive urgency and difficulty in catheterization. With significant improvement of cortisol levels, her hypocalcemia, hyperglycemia, and hypokalemia resolved. Her osilodrostat dose was gradually lowered during follow-up. Glucocorticoid replacement continued as part of the ongoing block-and-replace regimen.</p>","PeriodicalId":73540,"journal":{"name":"JCEM case reports","volume":"3 2","pages":"luae255"},"PeriodicalIF":0.0000,"publicationDate":"2025-01-20","publicationTypes":"Journal Article","fieldsOfStudy":null,"isOpenAccess":false,"openAccessPdf":"https://www.ncbi.nlm.nih.gov/pmc/articles/PMC11744044/pdf/","citationCount":"0","resultStr":null,"platform":"Semanticscholar","paperid":null,"PeriodicalName":"JCEM case reports","FirstCategoryId":"1085","ListUrlMain":"https://doi.org/10.1210/jcemcr/luae255","RegionNum":0,"RegionCategory":null,"ArticlePicture":[],"TitleCN":null,"AbstractTextCN":null,"PMCID":null,"EPubDate":"2025/2/1 0:00:00","PubModel":"eCollection","JCR":"","JCRName":"","Score":null,"Total":0}
引用次数: 0

Abstract

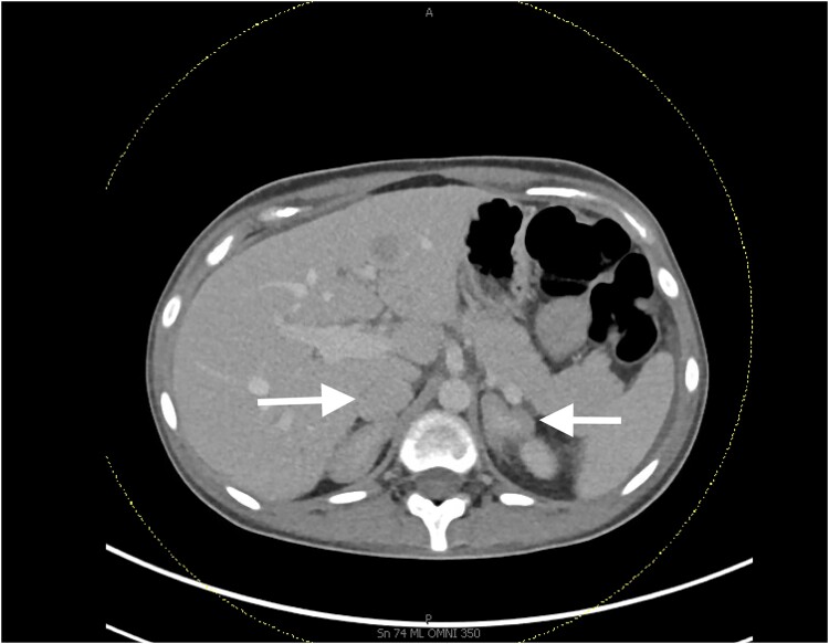
Cushing syndrome due to ectopic adrenocorticotropic hormone (ACTH) secretion (EAS) is rare and may progress rapidly, making treatment very challenging. We report a 27-year-old woman with metastatic neuroendocrine tumor (NET) who presented with sudden onset and rapidly progressing fatigue, muscle weakness, and weight gain. Laboratory findings confirmed severe EAS with new onset hypocalcemia, hypokalemia, and hyperglycemia. The patient was hospitalized and initiated on high-dose osilodrostat. Cortisol levels rapidly decreased in response to osilodrostat. During treatment, she developed glucocorticoid withdrawal symptoms for which hydrocortisone treatment was started. Due to her ineligibility for bilateral adrenalectomy, bilateral adrenal arterial embolization was attempted but ultimately converted to right-only embolization due to hypertensive urgency and difficulty in catheterization. With significant improvement of cortisol levels, her hypocalcemia, hyperglycemia, and hypokalemia resolved. Her osilodrostat dose was gradually lowered during follow-up. Glucocorticoid replacement continued as part of the ongoing block-and-replace regimen.

Abstract Image

Abstract Image

奥西洛他汀成功治疗严重异位acth依赖性库欣综合征合并低钙血症。
由于异位促肾上腺皮质激素(ACTH)分泌(EAS)引起的库欣综合征是罕见的,可能会迅速发展,使治疗非常具有挑战性。我们报告一位27岁的女性转移性神经内分泌肿瘤(NET),她表现为突然发作和迅速进展的疲劳,肌肉无力和体重增加。实验室结果证实严重的EAS伴新发低钙血症、低钾血症和高血糖。患者住院并开始大剂量奥西洛司他治疗。对奥西洛司他反应后,皮质醇水平迅速下降。在治疗期间,她出现糖皮质激素戒断症状,开始使用氢化可的松治疗。由于她不适合双侧肾上腺切除术,尝试双侧肾上腺动脉栓塞,但由于高血压急症和置管困难,最终改为右侧动脉栓塞。随着皮质醇水平的显著改善,她的低钙、高血糖和低钾血症得到缓解。随访期间,奥西洛司他剂量逐渐降低。糖皮质激素替代继续作为正在进行的阻断和替代方案的一部分。
本文章由计算机程序翻译,如有差异,请以英文原文为准。
求助全文
约1分钟内获得全文 求助全文
来源期刊
自引率
0.00%
发文量
0
×
引用
GB/T 7714-2015
复制
MLA
复制
APA
复制
导出至
BibTeX EndNote RefMan NoteFirst NoteExpress
×
提示
您的信息不完整,为了账户安全,请先补充。
现在去补充
×
提示
您因"违规操作"
具体请查看互助需知
我知道了
×
提示
确定
请完成安全验证×
copy
已复制链接
快去分享给好友吧!
我知道了
右上角分享
点击右上角分享
0
联系我们:info@booksci.cn Book学术提供免费学术资源搜索服务,方便国内外学者检索中英文文献。致力于提供最便捷和优质的服务体验。 Copyright © 2023 布克学术 All rights reserved.
京ICP备2023020795号-1
ghs 京公网安备 11010802042870号
Book学术文献互助
Book学术文献互助群
群 号:604180095
Book学术官方微信