Ectopic Thyrotropin-Secreting Tumor in the Nasopharynx Causing Central Hyperthyroidism.

JCEM case reports Pub Date : 2025-01-15 eCollection Date: 2025-01-01 DOI:10.1210/jcemcr/luae250
Maria Phylactou, Luke Dixon, Catherine Rennie, Thang Han, Jyotsana Gaur, Niamh M Martin
{"title":"Ectopic Thyrotropin-Secreting Tumor in the Nasopharynx Causing Central Hyperthyroidism.","authors":"Maria Phylactou, Luke Dixon, Catherine Rennie, Thang Han, Jyotsana Gaur, Niamh M Martin","doi":"10.1210/jcemcr/luae250","DOIUrl":null,"url":null,"abstract":"<p><p>We report a 31-year-old man with diarrhea and tachycardia. Diagnostic workup confirmed raised free thyroid hormones with unsuppressed thyroid stimulating hormone (TSH). Laboratory assay and medication interference were excluded. Consistent with a high glycoprotein hormone α-subunit (α-GSU), the α-GSU:TSH molar ratio was increased. However, anterior pituitary panel testing also confirmed an isolated, raised follicle stimulating hormone (FSH) (17.3 IU/L; reference range, 1.7-8.0). Therefore, interpretation of α-GSU was limited given the co-existent elevated FSH. There was no pituitary lesion on magnetic resonance imaging (MRI) and stimulated TSH was 232% of baseline levels following thyrotropin-releasing hormone (TRH) stimulation, making a diagnosis of TSH-oma less likely. Genetic analysis revealed no pathogenic variants in the thyroid hormone receptor β gene. Due to the persistently elevated FSH, a follow-up pituitary MRI was arranged, which identified a nasopharyngeal mass on the floor of the sphenoid sinus, raising the possibility of ectopic pituitary tissue. The patient underwent endoscopic resection of this lesion, with subsequent normalization of free T4, TSH, and FSH within a few weeks. Histology confirmed a plurihormonal pituitary adenoma with staining for TSH, growth hormone, luteinizing hormone, and FSH. This case highlights the biochemical and radiological challenges of diagnosing ectopic TSH-secreting pituitary tumors.</p>","PeriodicalId":73540,"journal":{"name":"JCEM case reports","volume":"3 1","pages":"luae250"},"PeriodicalIF":0.0000,"publicationDate":"2025-01-15","publicationTypes":"Journal Article","fieldsOfStudy":null,"isOpenAccess":false,"openAccessPdf":"https://www.ncbi.nlm.nih.gov/pmc/articles/PMC11733770/pdf/","citationCount":"0","resultStr":null,"platform":"Semanticscholar","paperid":null,"PeriodicalName":"JCEM case reports","FirstCategoryId":"1085","ListUrlMain":"https://doi.org/10.1210/jcemcr/luae250","RegionNum":0,"RegionCategory":null,"ArticlePicture":[],"TitleCN":null,"AbstractTextCN":null,"PMCID":null,"EPubDate":"2025/1/1 0:00:00","PubModel":"eCollection","JCR":"","JCRName":"","Score":null,"Total":0}
引用次数: 0

Abstract

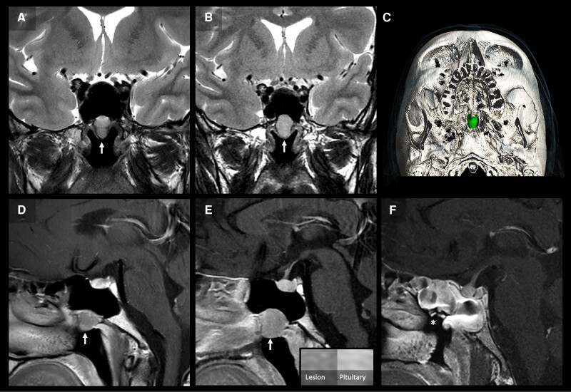
We report a 31-year-old man with diarrhea and tachycardia. Diagnostic workup confirmed raised free thyroid hormones with unsuppressed thyroid stimulating hormone (TSH). Laboratory assay and medication interference were excluded. Consistent with a high glycoprotein hormone α-subunit (α-GSU), the α-GSU:TSH molar ratio was increased. However, anterior pituitary panel testing also confirmed an isolated, raised follicle stimulating hormone (FSH) (17.3 IU/L; reference range, 1.7-8.0). Therefore, interpretation of α-GSU was limited given the co-existent elevated FSH. There was no pituitary lesion on magnetic resonance imaging (MRI) and stimulated TSH was 232% of baseline levels following thyrotropin-releasing hormone (TRH) stimulation, making a diagnosis of TSH-oma less likely. Genetic analysis revealed no pathogenic variants in the thyroid hormone receptor β gene. Due to the persistently elevated FSH, a follow-up pituitary MRI was arranged, which identified a nasopharyngeal mass on the floor of the sphenoid sinus, raising the possibility of ectopic pituitary tissue. The patient underwent endoscopic resection of this lesion, with subsequent normalization of free T4, TSH, and FSH within a few weeks. Histology confirmed a plurihormonal pituitary adenoma with staining for TSH, growth hormone, luteinizing hormone, and FSH. This case highlights the biochemical and radiological challenges of diagnosing ectopic TSH-secreting pituitary tumors.

Abstract Image

Abstract Image

Abstract Image

鼻咽部异位促甲状腺素分泌肿瘤引起中枢性甲状腺功能亢进。
我们报告一个31岁的男性腹泻和心动过速。诊断检查证实游离甲状腺激素升高伴未抑制的促甲状腺激素(TSH)。排除实验室检测和药物干扰。与高糖蛋白激素α-亚基(α-GSU)一致,α-GSU:TSH摩尔比升高。然而,垂体前叶检查也证实了分离的、升高的促卵泡激素(FSH) (17.3 IU/L;参考范围,1.7-8.0)。因此,考虑到同时存在FSH升高,α-GSU的解释是有限的。磁共振成像(MRI)未见垂体病变,促甲状腺激素释放激素(TRH)刺激后刺激的TSH为基线水平的232%,诊断为TSH瘤的可能性较小。遗传分析显示甲状腺激素受体β基因无致病性变异。由于FSH持续升高,随访垂体MRI发现蝶窦底鼻咽肿块,提示垂体组织异位的可能性。患者接受内窥镜切除该病变,随后几周内游离T4、TSH和FSH恢复正常。组织学证实为多激素垂体腺瘤,TSH、生长激素、促黄体生成素和促卵泡刺激素染色。本病例强调了诊断异位tsh分泌垂体肿瘤的生化和放射学挑战。
本文章由计算机程序翻译,如有差异,请以英文原文为准。
求助全文
约1分钟内获得全文 求助全文
来源期刊
自引率
0.00%
发文量
0
×
引用
GB/T 7714-2015
复制
MLA
复制
APA
复制
导出至
BibTeX EndNote RefMan NoteFirst NoteExpress
×
提示
您的信息不完整,为了账户安全,请先补充。
现在去补充
×
提示
您因"违规操作"
具体请查看互助需知
我知道了
×
提示
确定
请完成安全验证×
copy
已复制链接
快去分享给好友吧!
我知道了
右上角分享
点击右上角分享
0
联系我们:info@booksci.cn Book学术提供免费学术资源搜索服务,方便国内外学者检索中英文文献。致力于提供最便捷和优质的服务体验。 Copyright © 2023 布克学术 All rights reserved.
京ICP备2023020795号-1
ghs 京公网安备 11010802042870号
Book学术文献互助
Book学术文献互助群
群 号:604180095
Book学术官方微信