Treatment with BRAF/MEK: inhibitors in mutant BRAF V600E papillary craniopharyngioma.

Endocrine oncology (Bristol, England) Pub Date : 2024-12-19 eCollection Date: 2024-01-01 DOI:10.1530/EO-24-0024
Eva Marie Erfurth, Peter Siesjö, Pia C Sundgren, Björn Hammar, Sara Kinhult
{"title":"Treatment with BRAF/MEK: inhibitors in mutant BRAF V600E papillary craniopharyngioma.","authors":"Eva Marie Erfurth, Peter Siesjö, Pia C Sundgren, Björn Hammar, Sara Kinhult","doi":"10.1530/EO-24-0024","DOIUrl":null,"url":null,"abstract":"<p><strong>Summary: </strong>Craniopharyngiomas (CPs) are rare brain epithelial tumours arising in the suprasellar region, infiltrating adjacent areas causing visual loss, panhypopituitarism, cognitive deficits and morbid obesity. Papillary CPs (PCPs) harbour in 94% BRAF mutation cases. Two patients with PCP and BRAF V600E mutations but with different tumour status were treated with BRAF and MEK inhibitors. Case I was diagnosed with biopsy and treated for 16 months with BRAF and MEK inhibitors. After 3.5 months, there was a 50% reduction of the tumour volume, and after 13 months, the tumour volume decreased from 2220 to 90 mm<sup>3</sup> (96%). Two months after stopping the drugs, he was treated with fractionated cranial irradiation (54 Gy). No recurrence of the PCP was recorded. Eight months after stopping the drugs, he was diagnosed with an adenocarcinoma of the oesophagus, which led to his death 12 months later. In case II, a woman had had four surgeries due to recurrences of a PCP, and a BRAF V600E mutation was confirmed. After a new recurrence measuring 14 × 12 × 18 mm, she was started on BRAF and MEK inhibitors. After 4 months of treatment, a significant decrease to 8 × 9 × 13 mm was recorded. The treatment continued for 31 months, and the MRI demonstrated a stable unchanged size including scar tissue, with a volume reduction from 633 to 483 mm<sup>3</sup>. During treatment, her visual acuity improved in her left eye from 0.05 to 0.3. After stopping the drugs, 'watchful waiting' with repeated MRI was decided. She is now off treatment for 25 months, without any recurrence on MRI.</p><p><strong>Learning points: </strong>CPs are rare primary brain epithelial tumours arising in the suprasellar region from remnants of Rathke's pouch.CPs infiltrate adjacent areas causing visual loss, panhypopituitarism, cognitive deficits and morbid obesity.PCPs harbour in >90% BRAF V600E mutation.BRAF V600E mutation can successfully be treated with the combination of BRAF V600E and Mekinist inhibitors.It is suggested that PCP patients harbouring BRAF V600E mutation should be offered BRAF V600E and Mekinist inhibitors.</p>","PeriodicalId":72907,"journal":{"name":"Endocrine oncology (Bristol, England)","volume":"4 1","pages":"e240024"},"PeriodicalIF":0.0000,"publicationDate":"2024-12-19","publicationTypes":"Journal Article","fieldsOfStudy":null,"isOpenAccess":false,"openAccessPdf":"https://www.ncbi.nlm.nih.gov/pmc/articles/PMC11737518/pdf/","citationCount":"0","resultStr":null,"platform":"Semanticscholar","paperid":null,"PeriodicalName":"Endocrine oncology (Bristol, England)","FirstCategoryId":"1085","ListUrlMain":"https://doi.org/10.1530/EO-24-0024","RegionNum":0,"RegionCategory":null,"ArticlePicture":[],"TitleCN":null,"AbstractTextCN":null,"PMCID":null,"EPubDate":"2024/1/1 0:00:00","PubModel":"eCollection","JCR":"","JCRName":"","Score":null,"Total":0}
引用次数: 0

Abstract

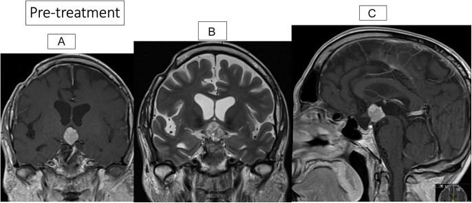
Summary: Craniopharyngiomas (CPs) are rare brain epithelial tumours arising in the suprasellar region, infiltrating adjacent areas causing visual loss, panhypopituitarism, cognitive deficits and morbid obesity. Papillary CPs (PCPs) harbour in 94% BRAF mutation cases. Two patients with PCP and BRAF V600E mutations but with different tumour status were treated with BRAF and MEK inhibitors. Case I was diagnosed with biopsy and treated for 16 months with BRAF and MEK inhibitors. After 3.5 months, there was a 50% reduction of the tumour volume, and after 13 months, the tumour volume decreased from 2220 to 90 mm3 (96%). Two months after stopping the drugs, he was treated with fractionated cranial irradiation (54 Gy). No recurrence of the PCP was recorded. Eight months after stopping the drugs, he was diagnosed with an adenocarcinoma of the oesophagus, which led to his death 12 months later. In case II, a woman had had four surgeries due to recurrences of a PCP, and a BRAF V600E mutation was confirmed. After a new recurrence measuring 14 × 12 × 18 mm, she was started on BRAF and MEK inhibitors. After 4 months of treatment, a significant decrease to 8 × 9 × 13 mm was recorded. The treatment continued for 31 months, and the MRI demonstrated a stable unchanged size including scar tissue, with a volume reduction from 633 to 483 mm3. During treatment, her visual acuity improved in her left eye from 0.05 to 0.3. After stopping the drugs, 'watchful waiting' with repeated MRI was decided. She is now off treatment for 25 months, without any recurrence on MRI.

Learning points: CPs are rare primary brain epithelial tumours arising in the suprasellar region from remnants of Rathke's pouch.CPs infiltrate adjacent areas causing visual loss, panhypopituitarism, cognitive deficits and morbid obesity.PCPs harbour in >90% BRAF V600E mutation.BRAF V600E mutation can successfully be treated with the combination of BRAF V600E and Mekinist inhibitors.It is suggested that PCP patients harbouring BRAF V600E mutation should be offered BRAF V600E and Mekinist inhibitors.

Abstract Image

Abstract Image

Abstract Image

BRAF/MEK抑制剂治疗突变型BRAF V600E乳头状颅咽管瘤
颅咽管瘤(CPs)是一种罕见的发生于鞍上区域的脑上皮性肿瘤,可浸润邻近区域,导致视力丧失、全垂体功能低下、认知缺陷和病态肥胖。乳头状CPs (pcp)在94%的BRAF突变病例中存在。2例PCP和BRAF V600E突变但肿瘤状态不同的患者接受BRAF和MEK抑制剂治疗。病例1被诊断为活检,并使用BRAF和MEK抑制剂治疗了16个月。3.5个月后,肿瘤体积缩小50%,13个月后,肿瘤体积从2220缩小到90mm3(96%)。停药2个月后,行分次颅脑照射(54 Gy)治疗。无PCP复发记录。停药8个月后,他被诊断出患有食道腺癌,12个月后去世。病例二,一名妇女因PCP复发而进行了四次手术,并证实了BRAF V600E突变。在新的复发为14 × 12 × 18 mm后,她开始使用BRAF和MEK抑制剂。治疗4个月后,显著降低至8 × 9 × 13 mm。治疗持续了31个月,MRI显示包括疤痕组织在内的大小稳定不变,体积从633减小到483 mm3。在治疗期间,她的左眼视力从0.05提高到0.3。停药后,决定“观察等待”,反复进行MRI检查。她现在已经停止治疗25个月了,核磁共振显示没有任何复发。学习要点:CPs是一种罕见的原发性脑上皮肿瘤,起源于鞍上区Rathke's眼袋的残余。CPs渗入邻近区域,导致视力丧失、垂体功能减退、认知缺陷和病态肥胖。pcp携带90% BRAF V600E突变。BRAF V600E与Mekinist抑制剂联合使用可成功治疗BRAF V600E突变。提示携带BRAF V600E突变的PCP患者应给予BRAF V600E和Mekinist抑制剂。
本文章由计算机程序翻译,如有差异,请以英文原文为准。
求助全文
约1分钟内获得全文 求助全文
来源期刊
自引率
0.00%
发文量
0
×
引用
GB/T 7714-2015
复制
MLA
复制
APA
复制
导出至
BibTeX EndNote RefMan NoteFirst NoteExpress
×
提示
您的信息不完整,为了账户安全,请先补充。
现在去补充
×
提示
您因"违规操作"
具体请查看互助需知
我知道了
×
提示
确定
请完成安全验证×
copy
已复制链接
快去分享给好友吧!
我知道了
右上角分享
点击右上角分享
0
联系我们:info@booksci.cn Book学术提供免费学术资源搜索服务,方便国内外学者检索中英文文献。致力于提供最便捷和优质的服务体验。 Copyright © 2023 布克学术 All rights reserved.
京ICP备2023020795号-1
ghs 京公网安备 11010802042870号
Book学术文献互助
Book学术文献互助群
群 号:604180095
Book学术官方微信