Placental Histopathological Changes and the Level of Anti-Spike Antibody After Covid-19 Vaccination During Pregnancy: A Case Series.

Q2 Medicine
Zohreh Heidary, Omid Kohandel Gargari, Majid Zaki-Dizaji, Arman Shafiee, Haniyeh Fathi, Roya Saeednejad, Marjan Ghaemi, Sedigheh Hantoushzadeh
{"title":"Placental Histopathological Changes and the Level of Anti-Spike Antibody After Covid-19 Vaccination During Pregnancy: A Case Series.","authors":"Zohreh Heidary, Omid Kohandel Gargari, Majid Zaki-Dizaji, Arman Shafiee, Haniyeh Fathi, Roya Saeednejad, Marjan Ghaemi, Sedigheh Hantoushzadeh","doi":"10.18502/jri.v25i3.17018","DOIUrl":null,"url":null,"abstract":"<p><strong>Background: </strong>COVID-19 infection during pregnancy could be associated with placental histopathological changes such as vascular diseases and malperfusion. There are studies showing that mRNA vaccines are not associated with significant placental pathological changes. Our objective was to evaluate the placental histopathology in pregnant women who received Sinopharm, an inactivated virus vaccine, during pregnancy.</p><p><strong>Case presentation: </strong>The study included placental samples collected from mothers who gave birth of living singletons through elective cesarean sections performed between March 2022 and May 2022 at Imam Khomeini Hospital Complex. The study included women who had no history of positive reverse transcription polymerase chain reaction (RT-PCR) testing for COVID-19 during pregnancy, and had received at least one dose of COVID-19 vaccine during their pregnancy. Humoral levels of anti-SARS-CoV-2 spike IgG were measured in both the mothers and neonates.</p><p><strong>Results: </strong>The study included 20 mother-neonate pairs. The mean maternal age was 34±3.6 years, and all mothers received Sinopharm vaccine as their first and second doses. The last vaccine dose was administered during pregnancy, with 3 mothers receiving it in the first trimester, 9 in the second trimester, and 8 in the third trimester. The histopathological findings in the placental samples included decidual vasculopathy, subchorionic thrombosis, and chronic histiocytic intervillositis. All mothers and neonates, except one pair, were positive for anti-spike antibody.</p><p><strong>Conclusion: </strong>Multiple abnormal histopathological findings were reported in placenta of vaccinated mothers. However, similar to previous studies, these placental findings are considered mild lesions and have been observed in both vaccinated and unvaccinated mothers.</p>","PeriodicalId":38826,"journal":{"name":"Journal of Reproduction and Infertility","volume":"25 3","pages":"231-237"},"PeriodicalIF":0.0000,"publicationDate":"2024-07-01","publicationTypes":"Journal Article","fieldsOfStudy":null,"isOpenAccess":false,"openAccessPdf":"https://www.ncbi.nlm.nih.gov/pmc/articles/PMC11736271/pdf/","citationCount":"0","resultStr":null,"platform":"Semanticscholar","paperid":null,"PeriodicalName":"Journal of Reproduction and Infertility","FirstCategoryId":"1085","ListUrlMain":"https://doi.org/10.18502/jri.v25i3.17018","RegionNum":0,"RegionCategory":null,"ArticlePicture":[],"TitleCN":null,"AbstractTextCN":null,"PMCID":null,"EPubDate":"","PubModel":"","JCR":"Q2","JCRName":"Medicine","Score":null,"Total":0}
引用次数: 0

Abstract

Background: COVID-19 infection during pregnancy could be associated with placental histopathological changes such as vascular diseases and malperfusion. There are studies showing that mRNA vaccines are not associated with significant placental pathological changes. Our objective was to evaluate the placental histopathology in pregnant women who received Sinopharm, an inactivated virus vaccine, during pregnancy.

Case presentation: The study included placental samples collected from mothers who gave birth of living singletons through elective cesarean sections performed between March 2022 and May 2022 at Imam Khomeini Hospital Complex. The study included women who had no history of positive reverse transcription polymerase chain reaction (RT-PCR) testing for COVID-19 during pregnancy, and had received at least one dose of COVID-19 vaccine during their pregnancy. Humoral levels of anti-SARS-CoV-2 spike IgG were measured in both the mothers and neonates.

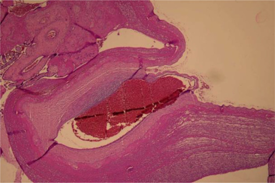
Results: The study included 20 mother-neonate pairs. The mean maternal age was 34±3.6 years, and all mothers received Sinopharm vaccine as their first and second doses. The last vaccine dose was administered during pregnancy, with 3 mothers receiving it in the first trimester, 9 in the second trimester, and 8 in the third trimester. The histopathological findings in the placental samples included decidual vasculopathy, subchorionic thrombosis, and chronic histiocytic intervillositis. All mothers and neonates, except one pair, were positive for anti-spike antibody.

Conclusion: Multiple abnormal histopathological findings were reported in placenta of vaccinated mothers. However, similar to previous studies, these placental findings are considered mild lesions and have been observed in both vaccinated and unvaccinated mothers.

Abstract Image

妊娠期新冠肺炎疫苗接种后胎盘组织病理学变化及抗刺突抗体水平的研究
背景:妊娠期COVID-19感染可能与胎盘血管疾病、灌注不良等组织病理学改变有关。有研究表明mRNA疫苗与显著的胎盘病理改变无关。我们的目的是评估怀孕期间接种国药灭活疫苗的孕妇胎盘组织病理学。病例介绍:该研究包括从2022年3月至2022年5月在伊玛目霍梅尼医院进行的选择性剖宫产手术中分娩活单胎的母亲收集的胎盘样本。该研究包括在怀孕期间没有COVID-19逆转录聚合酶链反应(RT-PCR)检测阳性病史,并且在怀孕期间至少接受过一剂COVID-19疫苗的妇女。在母亲和新生儿中测量抗sars - cov -2刺突IgG的体液水平。结果:本研究共纳入20对母婴。产妇平均年龄为34±3.6岁,均接种了国药集团第一剂和第二剂疫苗。最后一剂疫苗是在怀孕期间接种的,有3名母亲在妊娠早期接种,9名在妊娠中期接种,8名在妊娠晚期接种。胎盘样本的组织病理学结果包括蜕膜血管病变、绒毛膜下血栓形成和慢性组织细胞绒毛间炎。除一对外,所有母亲和新生儿抗刺突抗体均呈阳性。结论:接种疫苗的母亲胎盘中存在多种组织病理学异常。然而,与以前的研究类似,这些胎盘的发现被认为是轻微的病变,并且在接种疫苗和未接种疫苗的母亲中都观察到。
本文章由计算机程序翻译,如有差异,请以英文原文为准。
求助全文
约1分钟内获得全文 求助全文
来源期刊
Journal of Reproduction and Infertility
Journal of Reproduction and Infertility Medicine-Reproductive Medicine
CiteScore
2.70
自引率
0.00%
发文量
44
×
引用
GB/T 7714-2015
复制
MLA
复制
APA
复制
导出至
BibTeX EndNote RefMan NoteFirst NoteExpress
×
提示
您的信息不完整,为了账户安全,请先补充。
现在去补充
×
提示
您因"违规操作"
具体请查看互助需知
我知道了
×
提示
确定
请完成安全验证×
copy
已复制链接
快去分享给好友吧!
我知道了
右上角分享
点击右上角分享
0
联系我们:info@booksci.cn Book学术提供免费学术资源搜索服务,方便国内外学者检索中英文文献。致力于提供最便捷和优质的服务体验。 Copyright © 2023 布克学术 All rights reserved.
京ICP备2023020795号-1
ghs 京公网安备 11010802042870号
Book学术文献互助
Book学术文献互助群
群 号:604180095
Book学术官方微信