The Migration of an Intrauterine Device in the Bladder of an Asymptomatic Woman: A Case Report.

Q2 Medicine
Seyedeh Azam Pourhoseini, Leili Hafizi, Mona Jafari
{"title":"The Migration of an Intrauterine Device in the Bladder of an Asymptomatic Woman: A Case Report.","authors":"Seyedeh Azam Pourhoseini, Leili Hafizi, Mona Jafari","doi":"10.18502/jri.v25i3.17019","DOIUrl":null,"url":null,"abstract":"<p><strong>Background: </strong>The use of intrauterine devices (IUDs) for contraception has increased in many countries. However, their application has some serious complications such as uterine perforation and injury to adjacent organs. The translocated IUD into the bladder is a very rare occurrence.</p><p><strong>Case presentation: </strong>Our case was a 41-year-old woman whose IUD was accidentally discovered in her bladder during a routine ultrasound. The IUD has migrated from its normal position in the uterus to the bladder. The IUD was successfully removed by cystoscopy without any complications.</p><p><strong>Conclusion: </strong>The mislocation of an IUD in the bladder, while uncommon, is a possibility that should be considered when the IUD string is not visible during examinations.</p>","PeriodicalId":38826,"journal":{"name":"Journal of Reproduction and Infertility","volume":"25 3","pages":"238-241"},"PeriodicalIF":0.0000,"publicationDate":"2024-07-01","publicationTypes":"Journal Article","fieldsOfStudy":null,"isOpenAccess":false,"openAccessPdf":"https://www.ncbi.nlm.nih.gov/pmc/articles/PMC11736265/pdf/","citationCount":"0","resultStr":null,"platform":"Semanticscholar","paperid":null,"PeriodicalName":"Journal of Reproduction and Infertility","FirstCategoryId":"1085","ListUrlMain":"https://doi.org/10.18502/jri.v25i3.17019","RegionNum":0,"RegionCategory":null,"ArticlePicture":[],"TitleCN":null,"AbstractTextCN":null,"PMCID":null,"EPubDate":"","PubModel":"","JCR":"Q2","JCRName":"Medicine","Score":null,"Total":0}
引用次数: 0

Abstract

Background: The use of intrauterine devices (IUDs) for contraception has increased in many countries. However, their application has some serious complications such as uterine perforation and injury to adjacent organs. The translocated IUD into the bladder is a very rare occurrence.

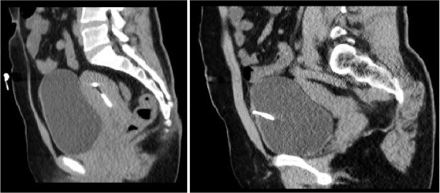
Case presentation: Our case was a 41-year-old woman whose IUD was accidentally discovered in her bladder during a routine ultrasound. The IUD has migrated from its normal position in the uterus to the bladder. The IUD was successfully removed by cystoscopy without any complications.

Conclusion: The mislocation of an IUD in the bladder, while uncommon, is a possibility that should be considered when the IUD string is not visible during examinations.

Abstract Image

Abstract Image

Abstract Image

子宫内节育器在无症状妇女膀胱内的迁移:1例报告。
背景:在许多国家,宫内节育器(iud)的使用有所增加。然而,其应用有一些严重的并发症,如子宫穿孔和邻近器官的损伤。宫内节育器移位到膀胱是非常罕见的。病例介绍:我们的病例是一位41岁的女性,她的宫内节育器在常规超声检查中意外发现在膀胱中。宫内节育器从子宫的正常位置移到了膀胱。膀胱镜检查成功取出宫内节育器,无并发症。结论:宫内节育器在膀胱中的错位虽然不常见,但当检查时看不到宫内节育器串时,应考虑宫内节育器在膀胱中的错位。
本文章由计算机程序翻译,如有差异,请以英文原文为准。
求助全文
约1分钟内获得全文 求助全文
来源期刊
Journal of Reproduction and Infertility
Journal of Reproduction and Infertility Medicine-Reproductive Medicine
CiteScore
2.70
自引率
0.00%
发文量
44
×
引用
GB/T 7714-2015
复制
MLA
复制
APA
复制
导出至
BibTeX EndNote RefMan NoteFirst NoteExpress
×
提示
您的信息不完整,为了账户安全,请先补充。
现在去补充
×
提示
您因"违规操作"
具体请查看互助需知
我知道了
×
提示
确定
请完成安全验证×
copy
已复制链接
快去分享给好友吧!
我知道了
右上角分享
点击右上角分享
0
联系我们:info@booksci.cn Book学术提供免费学术资源搜索服务,方便国内外学者检索中英文文献。致力于提供最便捷和优质的服务体验。 Copyright © 2023 布克学术 All rights reserved.
京ICP备2023020795号-1
ghs 京公网安备 11010802042870号
Book学术文献互助
Book学术文献互助群
群 号:604180095
Book学术官方微信