Use of ceramic synthetic allografts in spine surgery: a narrative review with early basic science and clinic data of novel nanosynthetic bone graft.

Q1 Medicine
Journal of spine surgery Pub Date : 2024-12-20 Epub Date: 2024-12-17 DOI:10.21037/jss-24-55
Christopher L Antonacci, Annabelle P Davey, Cameron Kia, Hanbing Zhou
{"title":"Use of ceramic synthetic allografts in spine surgery: a narrative review with early basic science and clinic data of novel nanosynthetic bone graft.","authors":"Christopher L Antonacci, Annabelle P Davey, Cameron Kia, Hanbing Zhou","doi":"10.21037/jss-24-55","DOIUrl":null,"url":null,"abstract":"<p><strong>Background and objective: </strong>As the global population ages, degenerative spinal disorders are on the rise, leading to an increased focus on optimizing spinal fusion therapies. Despite the high success rate of iliac crest bone autografts, their usage is hampered by donor site morbidity and limited supply. The objective of this review is to assess the viability of ceramic-based synthetic materials as alternatives in spinal fusion surgeries.</p><p><strong>Methods: </strong>A review of national databases was performed using key terms \"allograft\", \"nanosynthetic\", \"spine\", and \"surgery\" for literature from 1900 to 2024. Studies that aimed to describe the utility of ceramic allografts, associated outcomes, limitations, and future directions were included. Studies that were not in English were excluded.</p><p><strong>Key content and findings: </strong>Successful spinal fusion relies on osteoconductivity, osteoinductivity, osteogenesis, and osteointegration. Ceramic-based materials, primarily calcium sulfates, phosphates, hydroxyapatites (HAs), and silicon nitrides, are recognized for their osteoconductive properties. Recent studies suggest the efficacy of ceramics as graft extenders and highlight both their compatibility and cost-effectiveness. Innovations like nanosynthetic bone grafts have shown potential in preclinical trials, offering enhanced bone formation and resorption properties. The narrative review details comparative outcomes of various synthetic grafts against autografts and allografts, indicating similar fusion rates with potentially lower complication rates.</p><p><strong>Conclusions: </strong>Ceramic-based synthetic materials represent a significant advancement in spinal fusion procedures, with properties that can potentially match those of autografts. Nanosynthetic grafts, in particular, exhibit promising results in animal studies and initial clinical trials. The continuous development and evaluation of these materials could optimize fusion rates and reduce the morbidity associated with autograft harvesting. However, further research is required to assess long-term outcomes and determine the best practices for their use in spinal surgeries.</p>","PeriodicalId":17131,"journal":{"name":"Journal of spine surgery","volume":"10 4","pages":"715-723"},"PeriodicalIF":0.0000,"publicationDate":"2024-12-20","publicationTypes":"Journal Article","fieldsOfStudy":null,"isOpenAccess":false,"openAccessPdf":"https://www.ncbi.nlm.nih.gov/pmc/articles/PMC11732321/pdf/","citationCount":"0","resultStr":null,"platform":"Semanticscholar","paperid":null,"PeriodicalName":"Journal of spine surgery","FirstCategoryId":"1085","ListUrlMain":"https://doi.org/10.21037/jss-24-55","RegionNum":0,"RegionCategory":null,"ArticlePicture":[],"TitleCN":null,"AbstractTextCN":null,"PMCID":null,"EPubDate":"2024/12/17 0:00:00","PubModel":"Epub","JCR":"Q1","JCRName":"Medicine","Score":null,"Total":0}
引用次数: 0

Abstract

Background and objective: As the global population ages, degenerative spinal disorders are on the rise, leading to an increased focus on optimizing spinal fusion therapies. Despite the high success rate of iliac crest bone autografts, their usage is hampered by donor site morbidity and limited supply. The objective of this review is to assess the viability of ceramic-based synthetic materials as alternatives in spinal fusion surgeries.

Methods: A review of national databases was performed using key terms "allograft", "nanosynthetic", "spine", and "surgery" for literature from 1900 to 2024. Studies that aimed to describe the utility of ceramic allografts, associated outcomes, limitations, and future directions were included. Studies that were not in English were excluded.

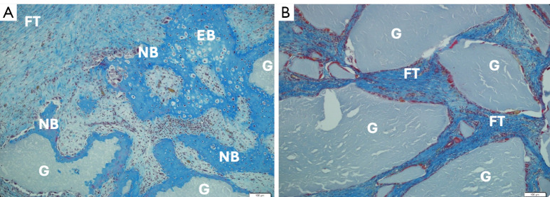
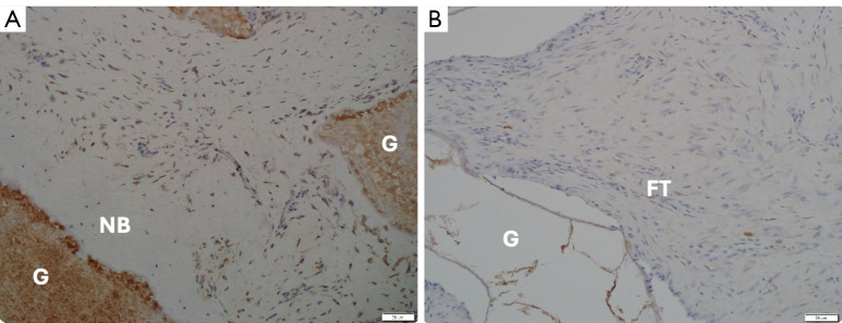
Key content and findings: Successful spinal fusion relies on osteoconductivity, osteoinductivity, osteogenesis, and osteointegration. Ceramic-based materials, primarily calcium sulfates, phosphates, hydroxyapatites (HAs), and silicon nitrides, are recognized for their osteoconductive properties. Recent studies suggest the efficacy of ceramics as graft extenders and highlight both their compatibility and cost-effectiveness. Innovations like nanosynthetic bone grafts have shown potential in preclinical trials, offering enhanced bone formation and resorption properties. The narrative review details comparative outcomes of various synthetic grafts against autografts and allografts, indicating similar fusion rates with potentially lower complication rates.

Conclusions: Ceramic-based synthetic materials represent a significant advancement in spinal fusion procedures, with properties that can potentially match those of autografts. Nanosynthetic grafts, in particular, exhibit promising results in animal studies and initial clinical trials. The continuous development and evaluation of these materials could optimize fusion rates and reduce the morbidity associated with autograft harvesting. However, further research is required to assess long-term outcomes and determine the best practices for their use in spinal surgeries.

Abstract Image

Abstract Image

陶瓷合成同种异体骨移植在脊柱外科中的应用:新型纳米合成骨移植早期基础科学和临床数据的叙述回顾。
背景和目的:随着全球人口的老龄化,退行性脊柱疾病呈上升趋势,导致人们越来越关注脊柱融合治疗的优化。尽管自体髂骨移植的成功率很高,但其应用受到供体部位发病率和供应有限的限制。本综述的目的是评估陶瓷基合成材料作为脊柱融合手术替代材料的可行性。方法:以“同种异体移植”、“纳米合成”、“脊柱”和“外科”为关键词检索1900年至2024年的国家数据库文献。包括旨在描述同种异体陶瓷移植的应用、相关结果、局限性和未来方向的研究。非英语研究被排除在外。成功的脊柱融合依赖于骨传导、骨诱导、成骨和骨融合。陶瓷基材料,主要是硫酸钙、磷酸盐、羟基磷灰石(HAs)和氮化硅,被认为具有骨导电性。最近的研究表明陶瓷作为接枝延伸剂的有效性,并强调了它们的相容性和成本效益。像纳米合成骨移植物这样的创新在临床前试验中显示出潜力,提供增强的骨形成和吸收特性。叙述回顾详细比较了各种合成移植物与自体移植物和同种异体移植物的结果,表明相似的融合率和潜在的更低的并发症发生率。结论:基于陶瓷的合成材料代表了脊柱融合手术的重大进步,其性能可能与自体移植物相匹配。特别是纳米合成移植物,在动物研究和初步临床试验中显示出有希望的结果。这些材料的不断发展和评估可以优化融合率,减少自体移植收获相关的发病率。然而,需要进一步的研究来评估其长期效果,并确定其在脊柱手术中的最佳应用。
本文章由计算机程序翻译,如有差异,请以英文原文为准。
求助全文
约1分钟内获得全文 求助全文
来源期刊
Journal of spine surgery
Journal of spine surgery Medicine-Surgery
CiteScore
5.60
自引率
0.00%
发文量
24
×
引用
GB/T 7714-2015
复制
MLA
复制
APA
复制
导出至
BibTeX EndNote RefMan NoteFirst NoteExpress
×
提示
您的信息不完整,为了账户安全,请先补充。
现在去补充
×
提示
您因"违规操作"
具体请查看互助需知
我知道了
×
提示
确定
请完成安全验证×
copy
已复制链接
快去分享给好友吧!
我知道了
右上角分享
点击右上角分享
0
联系我们:info@booksci.cn Book学术提供免费学术资源搜索服务,方便国内外学者检索中英文文献。致力于提供最便捷和优质的服务体验。 Copyright © 2023 布克学术 All rights reserved.
京ICP备2023020795号-1
ghs 京公网安备 11010802042870号
Book学术文献互助
Book学术文献互助群
群 号:604180095
Book学术官方微信