The insane path of two cervical intervertebral implants: late migration, esophageal ingrowth, and rectal excretion: an exceptional case report.

Q1 Medicine
Journal of spine surgery Pub Date : 2024-12-20 Epub Date: 2024-10-21 DOI:10.21037/jss-24-23
Philipp R Sager, Martin A Seule, Fabrice A Külling
{"title":"The insane path of two cervical intervertebral implants: late migration, esophageal ingrowth, and rectal excretion: an exceptional case report.","authors":"Philipp R Sager, Martin A Seule, Fabrice A Külling","doi":"10.21037/jss-24-23","DOIUrl":null,"url":null,"abstract":"<p><strong>Background: </strong>The objective of this report is to present a case of two cervical spine artificial discs (Bryan Cervical Disk) that completely disappeared within 6 months as a result of a high-energy trauma more than 10 years after the initial surgery. Implant dislocation is a known complication in artificial cervical disc replacement. However, this report presents the case of an exceptional migration path with esophageal ingrowth and rectal excretion, not only for one artificial disc but for two at different times It highlights the need for long-term follow-up examinations after artificial cervical disc arthroplasty (ACDA).</p><p><strong>Case description: </strong>The patient was seen in a Swiss outpatient spine center. He presented with a history of chronic laryngitis, which led to multiple ear, nose, and throat (ENT) diagnostic examinations without any cause being found. Migration of two cervical artificial discs was discovered incidentally in a cervical spine magnet resonance imaging (MRI), which was performed due to chronic myofascial pain in the lower extremities. The MRI showed anterior/retropharyngeal migration of one cervical disc. The second one could not be seen on the whole spine MRI. The complete patient history and radiographic findings were collected and reviewed. In addition, a whole-body computer tomography (CT) scan was done, and the patient was sent to an ENT center to rule out esophagus perforation and to verify the location of the two BRYAN © Cervical Disc.</p><p><strong>Conclusions: </strong>This case highlights the importance of considering the possibility of migration of an artificial disc in patients who have undergone cervical disc replacement surgery, even if it has been years since the surgery. In particular, patients presenting with symptoms of hoarseness, dysphagia, or globus sensation and a history of cervical disc replacement surgery should receive at least one low-threshold conventional X-ray of the affected segments.</p>","PeriodicalId":17131,"journal":{"name":"Journal of spine surgery","volume":"10 4","pages":"738-744"},"PeriodicalIF":0.0000,"publicationDate":"2024-12-20","publicationTypes":"Journal Article","fieldsOfStudy":null,"isOpenAccess":false,"openAccessPdf":"https://www.ncbi.nlm.nih.gov/pmc/articles/PMC11732322/pdf/","citationCount":"0","resultStr":null,"platform":"Semanticscholar","paperid":null,"PeriodicalName":"Journal of spine surgery","FirstCategoryId":"1085","ListUrlMain":"https://doi.org/10.21037/jss-24-23","RegionNum":0,"RegionCategory":null,"ArticlePicture":[],"TitleCN":null,"AbstractTextCN":null,"PMCID":null,"EPubDate":"2024/10/21 0:00:00","PubModel":"Epub","JCR":"Q1","JCRName":"Medicine","Score":null,"Total":0}
引用次数: 0

Abstract

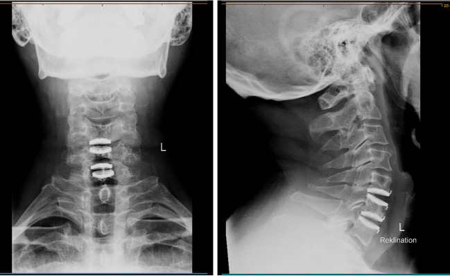
Background: The objective of this report is to present a case of two cervical spine artificial discs (Bryan Cervical Disk) that completely disappeared within 6 months as a result of a high-energy trauma more than 10 years after the initial surgery. Implant dislocation is a known complication in artificial cervical disc replacement. However, this report presents the case of an exceptional migration path with esophageal ingrowth and rectal excretion, not only for one artificial disc but for two at different times It highlights the need for long-term follow-up examinations after artificial cervical disc arthroplasty (ACDA).

Case description: The patient was seen in a Swiss outpatient spine center. He presented with a history of chronic laryngitis, which led to multiple ear, nose, and throat (ENT) diagnostic examinations without any cause being found. Migration of two cervical artificial discs was discovered incidentally in a cervical spine magnet resonance imaging (MRI), which was performed due to chronic myofascial pain in the lower extremities. The MRI showed anterior/retropharyngeal migration of one cervical disc. The second one could not be seen on the whole spine MRI. The complete patient history and radiographic findings were collected and reviewed. In addition, a whole-body computer tomography (CT) scan was done, and the patient was sent to an ENT center to rule out esophagus perforation and to verify the location of the two BRYAN © Cervical Disc.

Conclusions: This case highlights the importance of considering the possibility of migration of an artificial disc in patients who have undergone cervical disc replacement surgery, even if it has been years since the surgery. In particular, patients presenting with symptoms of hoarseness, dysphagia, or globus sensation and a history of cervical disc replacement surgery should receive at least one low-threshold conventional X-ray of the affected segments.

Abstract Image

Abstract Image

Abstract Image

两个颈椎间植体的疯狂路径:晚移,食道向内生长,直肠排泄:一个例外病例报告。
背景:本报告的目的是提出一个病例的两个颈椎人工椎间盘(布莱恩颈椎间盘),完全消失在6个月内的高能创伤的10年以上的首次手术后。假体脱位是人工颈椎间盘置换术中常见的并发症。然而,本报告提出了一个异常的迁移路径,伴有食管向内生长和直肠排泄,不仅是一个人工椎间盘,而且是两个不同时间的人工椎间盘。它强调了人工椎间盘置换术(ACDA)后需要长期随访检查。病例描述:患者在瑞士脊柱门诊中心就诊。他有慢性喉炎病史,多次耳鼻喉科(ENT)诊断检查均未发现病因。由于下肢慢性肌筋膜疼痛,在颈椎磁共振成像(MRI)中偶然发现两个颈椎人工椎间盘移位。MRI显示一个颈椎间盘前/咽后移位。第二个在整个脊柱MRI上都看不到。我们收集并回顾了完整的患者病史和影像学表现。此外,进行全身计算机断层扫描(CT),并将患者送往耳鼻喉科中心,以排除食管穿孔并验证两个BRYAN©颈椎间盘的位置。结论:本病例强调了在接受颈椎间盘置换术的患者中考虑人工椎间盘移位可能性的重要性,即使手术已经过了数年。特别是,出现声音嘶哑、吞咽困难或球感症状并有颈椎椎间盘置换术史的患者,应接受至少一次低阈值的病变节段常规x线检查。
本文章由计算机程序翻译,如有差异,请以英文原文为准。
求助全文
约1分钟内获得全文 求助全文
来源期刊
Journal of spine surgery
Journal of spine surgery Medicine-Surgery
CiteScore
5.60
自引率
0.00%
发文量
24
×
引用
GB/T 7714-2015
复制
MLA
复制
APA
复制
导出至
BibTeX EndNote RefMan NoteFirst NoteExpress
×
提示
您的信息不完整,为了账户安全,请先补充。
现在去补充
×
提示
您因"违规操作"
具体请查看互助需知
我知道了
×
提示
确定
请完成安全验证×
copy
已复制链接
快去分享给好友吧!
我知道了
右上角分享
点击右上角分享
0
联系我们:info@booksci.cn Book学术提供免费学术资源搜索服务,方便国内外学者检索中英文文献。致力于提供最便捷和优质的服务体验。 Copyright © 2023 布克学术 All rights reserved.
京ICP备2023020795号-1
ghs 京公网安备 11010802042870号
Book学术文献互助
Book学术文献互助群
群 号:604180095
Book学术官方微信