Non-instrumented management of traumatic atlanto-axial rotatory subluxation: surgical technique.

Q1 Medicine
Journal of spine surgery Pub Date : 2024-12-20 Epub Date: 2024-12-11 DOI:10.21037/jss-24-44
Oluwaseun Omoba, Ryan Farrell, William Chase Johnson, Samon Tavakoli, David Wallace, Viktor Bartanusz, Cristian Gragnaniello, Fassil B Mesfin, Michael McGinity
{"title":"Non-instrumented management of traumatic atlanto-axial rotatory subluxation: surgical technique.","authors":"Oluwaseun Omoba, Ryan Farrell, William Chase Johnson, Samon Tavakoli, David Wallace, Viktor Bartanusz, Cristian Gragnaniello, Fassil B Mesfin, Michael McGinity","doi":"10.21037/jss-24-44","DOIUrl":null,"url":null,"abstract":"<p><p>Atlantoaxial rotatory subluxation (AARS) in the adult population is primarily trauma-induced. Conservative and surgical treatments have both been used successfully in treating AARS. In cases where AARS cannot be reduced by conservative measures, open reduction and fusion is the conventional treatment approach. This report details a novel approach for treating adult AARS, where an open reduction was performed without instrumentation or fusion. The patient, a 48-year-old female involved in a high-speed vehicular collision, initially underwent conservative treatment with Gardner Wells Tongs and manual traction. Despite these efforts, X-ray and computed tomography (CT) scans indicated persistent subluxation. Subsequently, the patient was taken to the operating room, where successful open reduction was achieved without the need for fusion or instrumentation. Preoperative imaging revealed rotatory subluxation of C1-2 with a comminuted and displaced fracture of the right C1-2 facet joint and a nondisplaced fracture of the base of the occiput. The surgical technique involved precise manual manipulation using a Cloward spreader and real-time assessment with O-arm 3D X-ray tomography to ensure successful reduction. The absence of significant laxity or instability during intraoperative testing led to the conclusion that fusion was unnecessary. This approach minimizes invasive tissue dissection and preserves natural cervical range of motion (ROM). Postoperatively, the patient was asymptomatic with no joint instability and demonstrated satisfactory alignment at follow-up.</p>","PeriodicalId":17131,"journal":{"name":"Journal of spine surgery","volume":"10 4","pages":"697-705"},"PeriodicalIF":0.0000,"publicationDate":"2024-12-20","publicationTypes":"Journal Article","fieldsOfStudy":null,"isOpenAccess":false,"openAccessPdf":"https://www.ncbi.nlm.nih.gov/pmc/articles/PMC11732323/pdf/","citationCount":"0","resultStr":null,"platform":"Semanticscholar","paperid":null,"PeriodicalName":"Journal of spine surgery","FirstCategoryId":"1085","ListUrlMain":"https://doi.org/10.21037/jss-24-44","RegionNum":0,"RegionCategory":null,"ArticlePicture":[],"TitleCN":null,"AbstractTextCN":null,"PMCID":null,"EPubDate":"2024/12/11 0:00:00","PubModel":"Epub","JCR":"Q1","JCRName":"Medicine","Score":null,"Total":0}
引用次数: 0

Abstract

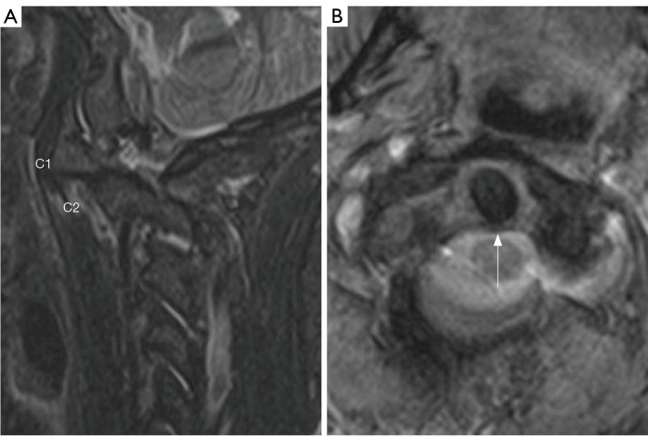
Atlantoaxial rotatory subluxation (AARS) in the adult population is primarily trauma-induced. Conservative and surgical treatments have both been used successfully in treating AARS. In cases where AARS cannot be reduced by conservative measures, open reduction and fusion is the conventional treatment approach. This report details a novel approach for treating adult AARS, where an open reduction was performed without instrumentation or fusion. The patient, a 48-year-old female involved in a high-speed vehicular collision, initially underwent conservative treatment with Gardner Wells Tongs and manual traction. Despite these efforts, X-ray and computed tomography (CT) scans indicated persistent subluxation. Subsequently, the patient was taken to the operating room, where successful open reduction was achieved without the need for fusion or instrumentation. Preoperative imaging revealed rotatory subluxation of C1-2 with a comminuted and displaced fracture of the right C1-2 facet joint and a nondisplaced fracture of the base of the occiput. The surgical technique involved precise manual manipulation using a Cloward spreader and real-time assessment with O-arm 3D X-ray tomography to ensure successful reduction. The absence of significant laxity or instability during intraoperative testing led to the conclusion that fusion was unnecessary. This approach minimizes invasive tissue dissection and preserves natural cervical range of motion (ROM). Postoperatively, the patient was asymptomatic with no joint instability and demonstrated satisfactory alignment at follow-up.

Abstract Image

Abstract Image

Abstract Image

创伤性寰枢旋转半脱位的非器械治疗:外科技术。
成人寰枢旋转半脱位(AARS)主要是外伤引起的。保守和手术治疗都成功地用于治疗急性呼吸道感染。在不能通过保守措施减少AARS的情况下,开放复位融合是常规治疗方法。本报告详细介绍了一种治疗成人AARS的新方法,在没有内固定或融合的情况下进行开放复位。患者是一名48岁的女性,发生高速车辆碰撞,最初接受了Gardner Wells钳和手动牵引的保守治疗。尽管这些努力,x射线和计算机断层扫描(CT)显示持续半脱位。随后,患者被送往手术室,在不需要融合或内固定的情况下成功地进行了切开复位。术前影像学显示C1-2旋转半脱位伴右侧C1-2小关节粉碎性移位性骨折和枕骨基部非移位性骨折。手术技术包括使用cloard扩散器进行精确的手动操作,并使用o臂3D x射线断层扫描进行实时评估,以确保成功复位。术中检查没有明显的松弛或不稳定,得出融合是不必要的结论。该方法最大限度地减少了侵入性组织剥离,并保留了自然的颈椎活动范围(ROM)。术后,患者无症状,无关节不稳定,随访时表现出令人满意的对齐。
本文章由计算机程序翻译,如有差异,请以英文原文为准。
求助全文
约1分钟内获得全文 求助全文
来源期刊
Journal of spine surgery
Journal of spine surgery Medicine-Surgery
CiteScore
5.60
自引率
0.00%
发文量
24
×
引用
GB/T 7714-2015
复制
MLA
复制
APA
复制
导出至
BibTeX EndNote RefMan NoteFirst NoteExpress
×
提示
您的信息不完整,为了账户安全,请先补充。
现在去补充
×
提示
您因"违规操作"
具体请查看互助需知
我知道了
×
提示
确定
请完成安全验证×
copy
已复制链接
快去分享给好友吧!
我知道了
右上角分享
点击右上角分享
0
联系我们:info@booksci.cn Book学术提供免费学术资源搜索服务,方便国内外学者检索中英文文献。致力于提供最便捷和优质的服务体验。 Copyright © 2023 布克学术 All rights reserved.
京ICP备2023020795号-1
ghs 京公网安备 11010802042870号
Book学术文献互助
Book学术文献互助群
群 号:604180095
Book学术官方微信