Trends in pulmonary function in patients with Birt-Hogg-Dubé syndrome: a retrospective cohort study.

IF 1.4 Q3 RESPIRATORY SYSTEM
European Clinical Respiratory Journal Pub Date : 2025-01-15 eCollection Date: 2025-01-01 DOI:10.1080/20018525.2024.2449271
Marie Moldt Holmager, Sarah Wordenskjold Stougaard, Ole Graumann, Marianne Præstegaard, Lilian Bomme Ousager, Lars Lund, Annette Schuster, Casper Falster, Jesper Rømhild Davidsen
{"title":"Trends in pulmonary function in patients with Birt-Hogg-Dubé syndrome: a retrospective cohort study.","authors":"Marie Moldt Holmager, Sarah Wordenskjold Stougaard, Ole Graumann, Marianne Præstegaard, Lilian Bomme Ousager, Lars Lund, Annette Schuster, Casper Falster, Jesper Rømhild Davidsen","doi":"10.1080/20018525.2024.2449271","DOIUrl":null,"url":null,"abstract":"<p><strong>Background: </strong>Birt-Hogg-Dubé syndrome (BHD), a rare genetic disease characterized by multiple pulmonary cysts, can lead to spontaneous pneumothorax, cutaneous hamartomas, renal cysts, and renal cell cancer. The overall aim of this study was to assess clinical characteristics of patients with BHD-emphasizing on trends in pulmonary function patterns.</p><p><strong>Methods: </strong>By use of data from electronic patient journals, we conducted a retrospective cohort study on clinical characteristics and pulmonary function tests (PFT) from patients with BHD, who were clinically followed-up in a Danish tertiary referral center for rare and interstitial lung diseases.</p><p><strong>Results: </strong>A total of 101 patients (44 men (43.6%); mean age 48.4 years (SD ± 15.9 years)) with BHD were included. Chest HRCT scans revealed pulmonary cysts in 82.2% of whom 38.6% had experienced at least one pneumothorax (median 2; IQR1-4). Baseline PFT showed FEV1/FVC ratio and RV% within normal values of predicted. In 28.7% of the patients, a slight decrease in DLco below 80% of predicted was observed (mean 86.9% ± SD 15.8%). At two years follow-up, there were no significant declines in FEV1 and FVC, nor after accounting for age, gender, and smoking. At baseline cutaneous manifestations were found in 58.4% of the patients, 47.5% had benign renal cysts, and 11.9% had renal tumours.</p><p><strong>Conclusion: </strong>More than 80% of patients with BHD presented with pulmonary cysts, but consistent with other studies all had normal PFTs at two years follow-up. We conclude that routine monitoring of pulmonary function and pulmonary follow-up may not be necessary in patients with BHD.</p>","PeriodicalId":11872,"journal":{"name":"European Clinical Respiratory Journal","volume":"12 1","pages":"2449271"},"PeriodicalIF":1.4000,"publicationDate":"2025-01-15","publicationTypes":"Journal Article","fieldsOfStudy":null,"isOpenAccess":false,"openAccessPdf":"https://www.ncbi.nlm.nih.gov/pmc/articles/PMC11737049/pdf/","citationCount":"0","resultStr":null,"platform":"Semanticscholar","paperid":null,"PeriodicalName":"European Clinical Respiratory Journal","FirstCategoryId":"1085","ListUrlMain":"https://doi.org/10.1080/20018525.2024.2449271","RegionNum":0,"RegionCategory":null,"ArticlePicture":[],"TitleCN":null,"AbstractTextCN":null,"PMCID":null,"EPubDate":"2025/1/1 0:00:00","PubModel":"eCollection","JCR":"Q3","JCRName":"RESPIRATORY SYSTEM","Score":null,"Total":0}
引用次数: 0

Abstract

Background: Birt-Hogg-Dubé syndrome (BHD), a rare genetic disease characterized by multiple pulmonary cysts, can lead to spontaneous pneumothorax, cutaneous hamartomas, renal cysts, and renal cell cancer. The overall aim of this study was to assess clinical characteristics of patients with BHD-emphasizing on trends in pulmonary function patterns.

Methods: By use of data from electronic patient journals, we conducted a retrospective cohort study on clinical characteristics and pulmonary function tests (PFT) from patients with BHD, who were clinically followed-up in a Danish tertiary referral center for rare and interstitial lung diseases.

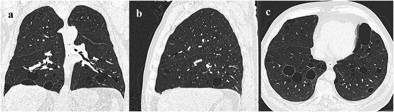
Results: A total of 101 patients (44 men (43.6%); mean age 48.4 years (SD ± 15.9 years)) with BHD were included. Chest HRCT scans revealed pulmonary cysts in 82.2% of whom 38.6% had experienced at least one pneumothorax (median 2; IQR1-4). Baseline PFT showed FEV1/FVC ratio and RV% within normal values of predicted. In 28.7% of the patients, a slight decrease in DLco below 80% of predicted was observed (mean 86.9% ± SD 15.8%). At two years follow-up, there were no significant declines in FEV1 and FVC, nor after accounting for age, gender, and smoking. At baseline cutaneous manifestations were found in 58.4% of the patients, 47.5% had benign renal cysts, and 11.9% had renal tumours.

Conclusion: More than 80% of patients with BHD presented with pulmonary cysts, but consistent with other studies all had normal PFTs at two years follow-up. We conclude that routine monitoring of pulmonary function and pulmonary follow-up may not be necessary in patients with BHD.

Abstract Image

birt - hogg - dub综合征患者肺功能的变化趋势:一项回顾性队列研究
背景:birt - hogg - dub综合征(BHD)是一种罕见的遗传性疾病,以多发肺囊肿为特征,可导致自发性气胸、皮肤错构瘤、肾囊肿和肾细胞癌。本研究的总体目的是评估bhd患者的临床特征,强调肺功能模式的趋势。方法:利用来自电子患者期刊的数据,我们对在丹麦三级转诊中心进行罕见肺间质性疾病临床随访的BHD患者的临床特征和肺功能测试(PFT)进行了回顾性队列研究。结果:共101例患者,其中男性44例(43.6%);BHD患者平均年龄48.4岁(SD±15.9岁)。胸部HRCT扫描显示肺囊肿占82.2%,其中38.6%至少经历过一次气胸(中位数2;IQR1-4)。基线PFT显示FEV1/FVC比值和RV%在预测正常值范围内。在28.7%的患者中,DLco略有下降,低于预期的80%(平均86.9%±标准差15.8%)。在两年的随访中,FEV1和FVC没有明显下降,在考虑到年龄、性别和吸烟后也是如此。基线时58.4%的患者有皮肤表现,47.5%为良性肾囊肿,11.9%为肾肿瘤。结论:超过80%的BHD患者表现为肺囊肿,但与其他研究一致,在两年的随访中,所有患者的pft均正常。我们的结论是,BHD患者可能没有必要进行常规肺功能监测和肺部随访。
本文章由计算机程序翻译,如有差异,请以英文原文为准。
求助全文
约1分钟内获得全文 求助全文
来源期刊
CiteScore
3.80
自引率
0.00%
发文量
15
审稿时长
16 weeks
×
引用
GB/T 7714-2015
复制
MLA
复制
APA
复制
导出至
BibTeX EndNote RefMan NoteFirst NoteExpress
×
提示
您的信息不完整,为了账户安全,请先补充。
现在去补充
×
提示
您因"违规操作"
具体请查看互助需知
我知道了
×
提示
确定
请完成安全验证×
copy
已复制链接
快去分享给好友吧!
我知道了
右上角分享
点击右上角分享
0
联系我们:info@booksci.cn Book学术提供免费学术资源搜索服务,方便国内外学者检索中英文文献。致力于提供最便捷和优质的服务体验。 Copyright © 2023 布克学术 All rights reserved.
京ICP备2023020795号-1
ghs 京公网安备 11010802042870号
Book学术文献互助
Book学术文献互助群
群 号:604180095
Book学术官方微信