Persistent left superior vena cava with retrograde flow and absent coronary sinus in a child with ventricular septal defect and patent ductus arteriosus.

IF 0.7 Q4 CARDIAC & CARDIOVASCULAR SYSTEMS
Annals of Pediatric Cardiology Pub Date : 2024-09-01 Epub Date: 2024-12-24 DOI:10.4103/apc.apc_152_24
Rashmi Kishore, Rajesh Babu Gudipati, Palaparthi Sairam, Thomas Mathew, Suman Y Vyas, Nitin K Rao
{"title":"Persistent left superior vena cava with retrograde flow and absent coronary sinus in a child with ventricular septal defect and patent ductus arteriosus.","authors":"Rashmi Kishore, Rajesh Babu Gudipati, Palaparthi Sairam, Thomas Mathew, Suman Y Vyas, Nitin K Rao","doi":"10.4103/apc.apc_152_24","DOIUrl":null,"url":null,"abstract":"<p><p>Coronary sinus (CS) defects are rare congenital cardiac anomalies that occur in isolation or with other congenital heart diseases. Persistent left superior vena cava (LSVC) is a relatively common entity that usually drains into the CS, is of no hemodynamic consequence, and is easily diagnosed on echocardiography by a dilated CS and an antegrade flow toward the heart. However, a combination of LSVC and CS defect may reverse its flow direction and CS dilation may be absent. In the absence of echocardiographic clues, the reversed flow can be easily misdiagnosed for other structures such as the more common vertical vein of anomalous pulmonary venous connection or the rarer levoatrial cardinal vein. Here, we report a 2-year-old boy with ventricular septal defect, patent ductus arteriosus, absent CS, and a persistent LSVC with retrograde flow producing a hemodynamically significant pretricuspid left-to-right shunt along with its diagnostic challenges. He underwent successful surgical closure of these defects and had been asymptomatic on follow-up.</p>","PeriodicalId":8026,"journal":{"name":"Annals of Pediatric Cardiology","volume":"17 5","pages":"364-368"},"PeriodicalIF":0.7000,"publicationDate":"2024-09-01","publicationTypes":"Journal Article","fieldsOfStudy":null,"isOpenAccess":false,"openAccessPdf":"https://www.ncbi.nlm.nih.gov/pmc/articles/PMC11737631/pdf/","citationCount":"0","resultStr":null,"platform":"Semanticscholar","paperid":null,"PeriodicalName":"Annals of Pediatric Cardiology","FirstCategoryId":"1085","ListUrlMain":"https://doi.org/10.4103/apc.apc_152_24","RegionNum":0,"RegionCategory":null,"ArticlePicture":[],"TitleCN":null,"AbstractTextCN":null,"PMCID":null,"EPubDate":"2024/12/24 0:00:00","PubModel":"Epub","JCR":"Q4","JCRName":"CARDIAC & CARDIOVASCULAR SYSTEMS","Score":null,"Total":0}
引用次数: 0

Abstract

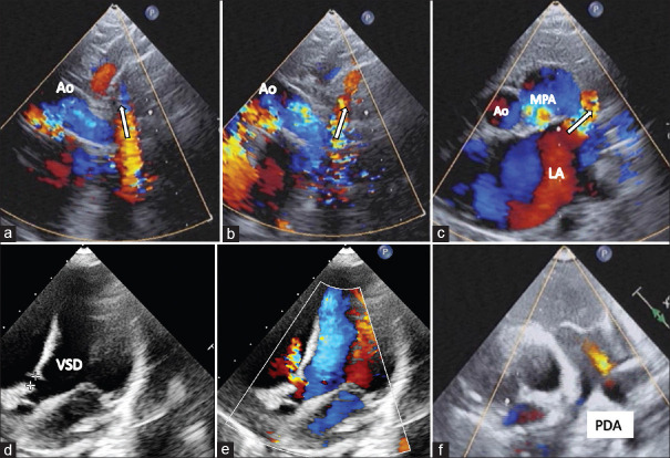
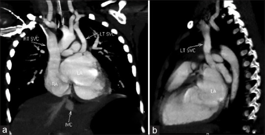
Coronary sinus (CS) defects are rare congenital cardiac anomalies that occur in isolation or with other congenital heart diseases. Persistent left superior vena cava (LSVC) is a relatively common entity that usually drains into the CS, is of no hemodynamic consequence, and is easily diagnosed on echocardiography by a dilated CS and an antegrade flow toward the heart. However, a combination of LSVC and CS defect may reverse its flow direction and CS dilation may be absent. In the absence of echocardiographic clues, the reversed flow can be easily misdiagnosed for other structures such as the more common vertical vein of anomalous pulmonary venous connection or the rarer levoatrial cardinal vein. Here, we report a 2-year-old boy with ventricular septal defect, patent ductus arteriosus, absent CS, and a persistent LSVC with retrograde flow producing a hemodynamically significant pretricuspid left-to-right shunt along with its diagnostic challenges. He underwent successful surgical closure of these defects and had been asymptomatic on follow-up.

Abstract Image

Abstract Image

Abstract Image

室间隔缺损及动脉导管未闭儿童持续性左上腔静脉伴逆行血流及冠状窦缺失。
冠状窦缺损是一种罕见的先天性心脏异常,可单独发生或与其他先天性心脏病合并发生。持续性左上腔静脉(LSVC)是一种相对常见的实体,通常流入CS,没有血流动力学后果,在超声心动图上很容易通过扩张的CS和顺行流向心脏的血流诊断。然而,LSVC和CS缺陷的组合可能会逆转其流动方向,CS扩张可能不存在。在没有超声心动图线索的情况下,反流很容易被误诊为其他结构,如更常见的肺静脉连接异常的垂直静脉或罕见的左房主静脉。在这里,我们报告了一个2岁的男孩,患有室间隔缺损,动脉导管未闭,CS缺失,持续性LSVC伴逆行血流,产生血流动力学显著的三尖前左向右分流及其诊断挑战。他接受了成功的手术关闭这些缺陷,并在随访中无症状。
本文章由计算机程序翻译,如有差异,请以英文原文为准。
求助全文
约1分钟内获得全文 求助全文
来源期刊
Annals of Pediatric Cardiology
Annals of Pediatric Cardiology CARDIAC & CARDIOVASCULAR SYSTEMS-
CiteScore
1.40
自引率
14.30%
发文量
51
审稿时长
23 weeks
×
引用
GB/T 7714-2015
复制
MLA
复制
APA
复制
导出至
BibTeX EndNote RefMan NoteFirst NoteExpress
×
提示
您的信息不完整,为了账户安全,请先补充。
现在去补充
×
提示
您因"违规操作"
具体请查看互助需知
我知道了
×
提示
确定
请完成安全验证×
copy
已复制链接
快去分享给好友吧!
我知道了
右上角分享
点击右上角分享
0
联系我们:info@booksci.cn Book学术提供免费学术资源搜索服务,方便国内外学者检索中英文文献。致力于提供最便捷和优质的服务体验。 Copyright © 2023 布克学术 All rights reserved.
京ICP备2023020795号-1
ghs 京公网安备 11010802042870号
Book学术文献互助
Book学术文献互助群
群 号:604180095
Book学术官方微信