Evaluation of the effects of occlusal splint and masseter muscle injection in patients with myofascial pain: a randomised controlled trial.

IF 2.4 3区 医学 Q2 DENTISTRY, ORAL SURGERY & MEDICINE
Journal of Oral & Facial Pain and Headache Pub Date : 2024-09-01 Epub Date: 2024-09-12 DOI:10.22514/jofph.2024.028
Reyhan Saglam, Cagri Delilbasi, Gulsum Sayin Ozel, Irmak Durur Subasi
{"title":"Evaluation of the effects of occlusal splint and masseter muscle injection in patients with myofascial pain: a randomised controlled trial.","authors":"Reyhan Saglam, Cagri Delilbasi, Gulsum Sayin Ozel, Irmak Durur Subasi","doi":"10.22514/jofph.2024.028","DOIUrl":null,"url":null,"abstract":"<p><p>Myofascial pain is one of the common symptoms in patients with temporomandibular joint disorders (TMD). Occlusal splint (OS) and masticatory muscle trigger point (TP) local injections are primary treatment options. We aimed to investigate the effects of these treatments using clinical and elastography measures. Patients who were diagnosed with myofascial pain according to Diagnostic Criteria for Temporomandibular Disorders (DC/TMD) were included. There were 16 patients in each group. Group 1 was treated with occlusal splint, Group 2 was treated with occlusal splint and masseter muscle lidocaine injection, Group 3 was treated with masseter muscle lidocaine injection and Group 4 consisted of healthy volunteers. Degree of pain and maximum mouth opening (MMO) were recorded. Masseter muscle stiffness was evaluated by Shear wave elastography. Measurements were repeated at 1st and 3rd months of post-treatment. Pain decreased at all times in all the patients (<i>p</i> = 0.001). Pain in Group 2 and Group 3 approached 0 level at 3rd month. MMO increased from baseline to 1st month and from 1st month to 3rd month and masseter stiffness decreased from baseline to 1st month and to 3rd month (<i>p</i> = 0.001) in all groups. Occlusal splint and masseter muscle lidocaine injection were effective in reducing pain and increasing MMO in patients with myofascial pain. All treatments reduced masseter muscle stiffness. All the treatment modalities had clinically similar and successful outcomes.</p>","PeriodicalId":48800,"journal":{"name":"Journal of Oral & Facial Pain and Headache","volume":"38 3","pages":"64-76"},"PeriodicalIF":2.4000,"publicationDate":"2024-09-01","publicationTypes":"Journal Article","fieldsOfStudy":null,"isOpenAccess":false,"openAccessPdf":"https://www.ncbi.nlm.nih.gov/pmc/articles/PMC11810675/pdf/","citationCount":"0","resultStr":null,"platform":"Semanticscholar","paperid":null,"PeriodicalName":"Journal of Oral & Facial Pain and Headache","FirstCategoryId":"3","ListUrlMain":"https://doi.org/10.22514/jofph.2024.028","RegionNum":3,"RegionCategory":"医学","ArticlePicture":[],"TitleCN":null,"AbstractTextCN":null,"PMCID":null,"EPubDate":"2024/9/12 0:00:00","PubModel":"Epub","JCR":"Q2","JCRName":"DENTISTRY, ORAL SURGERY & MEDICINE","Score":null,"Total":0}
引用次数: 0

Abstract

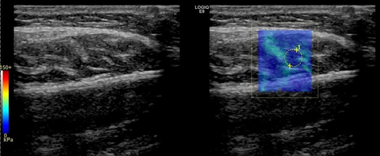
Myofascial pain is one of the common symptoms in patients with temporomandibular joint disorders (TMD). Occlusal splint (OS) and masticatory muscle trigger point (TP) local injections are primary treatment options. We aimed to investigate the effects of these treatments using clinical and elastography measures. Patients who were diagnosed with myofascial pain according to Diagnostic Criteria for Temporomandibular Disorders (DC/TMD) were included. There were 16 patients in each group. Group 1 was treated with occlusal splint, Group 2 was treated with occlusal splint and masseter muscle lidocaine injection, Group 3 was treated with masseter muscle lidocaine injection and Group 4 consisted of healthy volunteers. Degree of pain and maximum mouth opening (MMO) were recorded. Masseter muscle stiffness was evaluated by Shear wave elastography. Measurements were repeated at 1st and 3rd months of post-treatment. Pain decreased at all times in all the patients (p = 0.001). Pain in Group 2 and Group 3 approached 0 level at 3rd month. MMO increased from baseline to 1st month and from 1st month to 3rd month and masseter stiffness decreased from baseline to 1st month and to 3rd month (p = 0.001) in all groups. Occlusal splint and masseter muscle lidocaine injection were effective in reducing pain and increasing MMO in patients with myofascial pain. All treatments reduced masseter muscle stiffness. All the treatment modalities had clinically similar and successful outcomes.

Abstract Image

Abstract Image

Abstract Image

评估咬合夹板和咬肌注射对肌筋膜疼痛患者的影响:一项随机对照试验。
肌筋膜疼痛是颞下颌关节疾病(TMD)患者的常见症状之一。咬合夹板(OS)和咀嚼肌触发点(TP)局部注射是主要的治疗选择。我们的目的是通过临床和弹性测量来研究这些治疗的效果。纳入根据颞下颌疾病诊断标准(DC/TMD)诊断为肌筋膜疼痛的患者。每组16例。组1采用咬合夹板治疗,组2采用咬合夹板联合咬肌注射利多卡因治疗,组3采用咬肌注射利多卡因治疗,组4为健康志愿者。记录疼痛程度和最大开口(MMO)。用剪切波弹性图评价咬肌刚度。在治疗后第1个月和第3个月重复测量。所有患者的疼痛在任何时候都有所减轻(p = 0.001)。第3个月时,2组和3组疼痛接近0。从基线到第1个月和从第1个月到第3个月,所有组的咬肌硬度从基线到第1个月和第3个月均有所下降(p = 0.001)。咬合夹板和咬肌注射利多卡因能有效减轻肌筋膜疼痛患者的疼痛,增加MMO。所有治疗均可减轻咬肌僵硬。所有的治疗方式均有相似的临床效果和成功的结果。
本文章由计算机程序翻译,如有差异,请以英文原文为准。
求助全文
约1分钟内获得全文 求助全文
来源期刊
Journal of Oral & Facial Pain and Headache
Journal of Oral & Facial Pain and Headache DENTISTRY, ORAL SURGERY & MEDICINE-
CiteScore
5.10
自引率
4.00%
发文量
18
期刊介绍: Founded upon sound scientific principles, this journal continues to make important contributions that strongly influence the work of dental and medical professionals involved in treating oral and facial pain, including temporomandibular disorders, and headache. In addition to providing timely scientific research and clinical articles, the journal presents diagnostic techniques and treatment therapies for oral and facial pain, headache, mandibular dysfunction, and occlusion and covers pharmacology, physical therapy, surgery, and other pain-management methods.
×
引用
GB/T 7714-2015
复制
MLA
复制
APA
复制
导出至
BibTeX EndNote RefMan NoteFirst NoteExpress
×
提示
您的信息不完整,为了账户安全,请先补充。
现在去补充
×
提示
您因"违规操作"
具体请查看互助需知
我知道了
×
提示
确定
请完成安全验证×
copy
已复制链接
快去分享给好友吧!
我知道了
右上角分享
点击右上角分享
0
联系我们:info@booksci.cn Book学术提供免费学术资源搜索服务,方便国内外学者检索中英文文献。致力于提供最便捷和优质的服务体验。 Copyright © 2023 布克学术 All rights reserved.
京ICP备2023020795号-1
ghs 京公网安备 11010802042870号
Book学术文献互助
Book学术文献互助群
群 号:604180095
Book学术官方微信