Phototherapy to Facilitate Wound Healing Following Pacemaker Infection: A Promising Tool to Improve Outcomes.

Q3 Medicine
Journal of Innovations in Cardiac Rhythm Management Pub Date : 2024-12-15 eCollection Date: 2024-12-01 DOI:10.19102/icrm.2024.15124
James Kneller
{"title":"Phototherapy to Facilitate Wound Healing Following Pacemaker Infection: A Promising Tool to Improve Outcomes.","authors":"James Kneller","doi":"10.19102/icrm.2024.15124","DOIUrl":null,"url":null,"abstract":"<p><p>Device infection remains a dreaded and increasingly common complication of pacemaker procedures, often mandating removal of all implanted materials. Intensive wound management may be necessary following extraction, requiring multiple follow-up encounters in the outpatient setting. Here, a case of pacemaker pocket infection necessitating complete system extraction is presented. A cutaneous phototherapy device (X39<sup>®</sup>; LifeWave, Inc., San Diego, CA, USA) was used to facilitate wound closure. Healing was found to occur 40%-50% faster with this adjunctive therapy, reducing the number of follow-up visits by half. These adhesive patches contain natural compounds that reflect back infrared frequencies emitted by the skin. Biologic activity includes elevation of glycyl-L-histidyl-L-lysine levels, with a plethora of effects. This non-pharmacological wellness device may be useful to hasten wound healing and recovery from pocket infection.</p>","PeriodicalId":36299,"journal":{"name":"Journal of Innovations in Cardiac Rhythm Management","volume":"15 12","pages":"6122-6125"},"PeriodicalIF":0.0000,"publicationDate":"2024-12-15","publicationTypes":"Journal Article","fieldsOfStudy":null,"isOpenAccess":false,"openAccessPdf":"https://www.ncbi.nlm.nih.gov/pmc/articles/PMC11717157/pdf/","citationCount":"0","resultStr":null,"platform":"Semanticscholar","paperid":null,"PeriodicalName":"Journal of Innovations in Cardiac Rhythm Management","FirstCategoryId":"1085","ListUrlMain":"https://doi.org/10.19102/icrm.2024.15124","RegionNum":0,"RegionCategory":null,"ArticlePicture":[],"TitleCN":null,"AbstractTextCN":null,"PMCID":null,"EPubDate":"2024/12/1 0:00:00","PubModel":"eCollection","JCR":"Q3","JCRName":"Medicine","Score":null,"Total":0}
引用次数: 0

Abstract

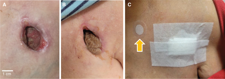
Device infection remains a dreaded and increasingly common complication of pacemaker procedures, often mandating removal of all implanted materials. Intensive wound management may be necessary following extraction, requiring multiple follow-up encounters in the outpatient setting. Here, a case of pacemaker pocket infection necessitating complete system extraction is presented. A cutaneous phototherapy device (X39®; LifeWave, Inc., San Diego, CA, USA) was used to facilitate wound closure. Healing was found to occur 40%-50% faster with this adjunctive therapy, reducing the number of follow-up visits by half. These adhesive patches contain natural compounds that reflect back infrared frequencies emitted by the skin. Biologic activity includes elevation of glycyl-L-histidyl-L-lysine levels, with a plethora of effects. This non-pharmacological wellness device may be useful to hasten wound healing and recovery from pocket infection.

Abstract Image

Abstract Image

Abstract Image

光疗促进起搏器感染后伤口愈合:一种有希望改善预后的工具。
设备感染仍然是起搏器手术的一个可怕且日益常见的并发症,通常需要移除所有植入的材料。拔牙后可能需要加强伤口管理,需要在门诊进行多次随访。在此,我们报告一例心脏起搏器口袋感染,需要取出完整的系统。皮肤光疗装置(X39®;LifeWave, Inc, San Diego, CA, USA)用于促进伤口愈合。发现这种辅助治疗的愈合速度快了40%-50%,随访次数减少了一半。这些贴片含有天然化合物,可以反射皮肤发出的红外频率。生物活性包括glyyl -l -histidyl- l-赖氨酸水平的升高,具有过多的影响。这种非药物保健装置可能有助于加速伤口愈合和从口袋感染恢复。
本文章由计算机程序翻译,如有差异,请以英文原文为准。
求助全文
约1分钟内获得全文 求助全文
来源期刊
Journal of Innovations in Cardiac Rhythm Management
Journal of Innovations in Cardiac Rhythm Management Medicine-Cardiology and Cardiovascular Medicine
CiteScore
1.50
自引率
0.00%
发文量
70
×
引用
GB/T 7714-2015
复制
MLA
复制
APA
复制
导出至
BibTeX EndNote RefMan NoteFirst NoteExpress
×
提示
您的信息不完整,为了账户安全,请先补充。
现在去补充
×
提示
您因"违规操作"
具体请查看互助需知
我知道了
×
提示
确定
请完成安全验证×
copy
已复制链接
快去分享给好友吧!
我知道了
右上角分享
点击右上角分享
0
联系我们:info@booksci.cn Book学术提供免费学术资源搜索服务,方便国内外学者检索中英文文献。致力于提供最便捷和优质的服务体验。 Copyright © 2023 布克学术 All rights reserved.
京ICP备2023020795号-1
ghs 京公网安备 11010802042870号
Book学术文献互助
Book学术文献互助群
群 号:604180095
Book学术官方微信