Challenging Extraction and Replacement of an Eight-year-old Nanostim Leadless Pacemaker and AVEIR Implant.

Q3 Medicine
Journal of Innovations in Cardiac Rhythm Management Pub Date : 2024-12-15 eCollection Date: 2024-12-01 DOI:10.19102/icrm.2024.15126
Evan Czulada, Rajiv Kabadi, Binaya Basyal, Cyrus Hadadi, Athanasios Thomaides
{"title":"Challenging Extraction and Replacement of an Eight-year-old Nanostim Leadless Pacemaker and AVEIR Implant.","authors":"Evan Czulada, Rajiv Kabadi, Binaya Basyal, Cyrus Hadadi, Athanasios Thomaides","doi":"10.19102/icrm.2024.15126","DOIUrl":null,"url":null,"abstract":"<p><p>Leadless pacemakers (LPs) are emerging options for bradyarrhythmias. However, extraction can be risky if the device is in an unfavorable position. We present a challenging case of a Nanostim LP (NLP) (Abbott Medical Inc., Abbott Park, IL, USA) placed 8 years prior to removal and subsequent replacement with an AVEIR LP (ALP) (Abbott). A 72-year-old man received an NLP in 2015 for persistent atrial fibrillation with bradycardia. The NLP could not be interrogated in our office. An external event monitor demonstrated persistent atrial fibrillation with bradycardia and pauses. A premature battery depletion of the NLP was suspected. An ALP was chosen for replacement. On a computed tomography scan of the chest, the NLP was seen in the mid-free wall of the right ventricle, and its proximal portion abutted the tricuspid annulus. The AVEIR retrieval catheter (ARC) was used for retrieval. Multiple attempts were made to snare the device, yet it proved difficult due to poor placement and button tissue formation. The snare became damaged, and a second ARC was needed. On the successful attempt, the NLP was snared proximally and permitted docking. We advanced the protective sleeve over the NLP body, but resistance was observed due to tissue growth. Counterclockwise torsion was applied, and the device disconnected. Once the NLP was in linear orientation, the protective sleeve was eventually positioned over its body, allowing removal. The ALP was then installed without difficulty or structural complications. This report shows the importance of proper LP placement in the right ventricular septal wall. LP removal can be performed safely, yet complications can arise based on the age and location of the LP. The ARC can be successfully used to extract non-AVEIR LPs with evidence of docking button tissue growth. Similar interventions should exercise caution when attempting extraction and subsequent implantation.</p>","PeriodicalId":36299,"journal":{"name":"Journal of Innovations in Cardiac Rhythm Management","volume":"15 12","pages":"6126-6129"},"PeriodicalIF":0.0000,"publicationDate":"2024-12-15","publicationTypes":"Journal Article","fieldsOfStudy":null,"isOpenAccess":false,"openAccessPdf":"https://www.ncbi.nlm.nih.gov/pmc/articles/PMC11717154/pdf/","citationCount":"0","resultStr":null,"platform":"Semanticscholar","paperid":null,"PeriodicalName":"Journal of Innovations in Cardiac Rhythm Management","FirstCategoryId":"1085","ListUrlMain":"https://doi.org/10.19102/icrm.2024.15126","RegionNum":0,"RegionCategory":null,"ArticlePicture":[],"TitleCN":null,"AbstractTextCN":null,"PMCID":null,"EPubDate":"2024/12/1 0:00:00","PubModel":"eCollection","JCR":"Q3","JCRName":"Medicine","Score":null,"Total":0}
引用次数: 0

Abstract

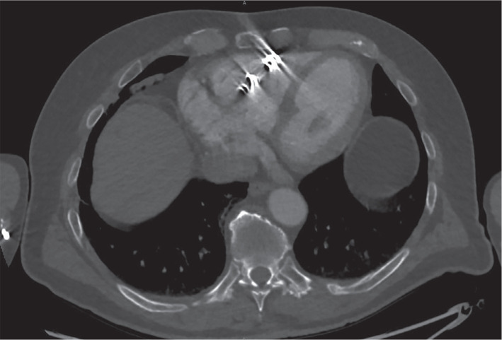
Leadless pacemakers (LPs) are emerging options for bradyarrhythmias. However, extraction can be risky if the device is in an unfavorable position. We present a challenging case of a Nanostim LP (NLP) (Abbott Medical Inc., Abbott Park, IL, USA) placed 8 years prior to removal and subsequent replacement with an AVEIR LP (ALP) (Abbott). A 72-year-old man received an NLP in 2015 for persistent atrial fibrillation with bradycardia. The NLP could not be interrogated in our office. An external event monitor demonstrated persistent atrial fibrillation with bradycardia and pauses. A premature battery depletion of the NLP was suspected. An ALP was chosen for replacement. On a computed tomography scan of the chest, the NLP was seen in the mid-free wall of the right ventricle, and its proximal portion abutted the tricuspid annulus. The AVEIR retrieval catheter (ARC) was used for retrieval. Multiple attempts were made to snare the device, yet it proved difficult due to poor placement and button tissue formation. The snare became damaged, and a second ARC was needed. On the successful attempt, the NLP was snared proximally and permitted docking. We advanced the protective sleeve over the NLP body, but resistance was observed due to tissue growth. Counterclockwise torsion was applied, and the device disconnected. Once the NLP was in linear orientation, the protective sleeve was eventually positioned over its body, allowing removal. The ALP was then installed without difficulty or structural complications. This report shows the importance of proper LP placement in the right ventricular septal wall. LP removal can be performed safely, yet complications can arise based on the age and location of the LP. The ARC can be successfully used to extract non-AVEIR LPs with evidence of docking button tissue growth. Similar interventions should exercise caution when attempting extraction and subsequent implantation.

Abstract Image

Abstract Image

具有挑战性的提取和更换一个8年的纳米刺激无铅起搏器和AVEIR植入物。
无铅起搏器(lp)是治疗慢性心律失常的新兴选择。然而,如果设备处于不利位置,提取可能会有风险。我们提出了一个具有挑战性的案例,Nanostim LP (NLP) (Abbott Medical Inc., Abbott Park, IL, USA)在取出前放置8年,随后用AVEIR LP (ALP) (Abbott)替换。一名72岁男性于2015年因持续性房颤合并心动过缓接受了NLP治疗。NLP不能在我们的办公室里审讯。外部事件监测仪显示持续性心房颤动伴心动过缓和暂停。怀疑NLP的电池过早耗尽。选择了一个ALP作为替代。在胸部的计算机断层扫描中,NLP位于右心室的中游离壁,其近端部分与三尖瓣环相邻。采用AVEIR检索导管(ARC)进行检索。多次尝试捕获设备,但由于放置不良和钮扣组织形成,证明是困难的。陷阱损坏了,需要第二个ARC。在成功的尝试中,NLP被近端捕获并允许对接。我们在NLP身体上推进了保护套筒,但由于组织生长,观察到阻力。逆时针扭转,断开装置。一旦NLP处于线性方向,保护套筒最终定位在其主体上,允许移除。然后安装了ALP,没有困难或结构并发症。本报告显示在右室间隔壁适当放置LP的重要性。腓肠肌切除术是安全的,但是由于腓肠肌的年龄和位置不同,可能会出现并发症。ARC可以成功地用于提取具有对接按钮组织生长证据的非aveir LPs。类似的干预措施在尝试拔牙和随后的植入时应谨慎。
本文章由计算机程序翻译,如有差异,请以英文原文为准。
求助全文
约1分钟内获得全文 求助全文
来源期刊
Journal of Innovations in Cardiac Rhythm Management
Journal of Innovations in Cardiac Rhythm Management Medicine-Cardiology and Cardiovascular Medicine
CiteScore
1.50
自引率
0.00%
发文量
70
×
引用
GB/T 7714-2015
复制
MLA
复制
APA
复制
导出至
BibTeX EndNote RefMan NoteFirst NoteExpress
×
提示
您的信息不完整,为了账户安全,请先补充。
现在去补充
×
提示
您因"违规操作"
具体请查看互助需知
我知道了
×
提示
确定
请完成安全验证×
copy
已复制链接
快去分享给好友吧!
我知道了
右上角分享
点击右上角分享
0
联系我们:info@booksci.cn Book学术提供免费学术资源搜索服务,方便国内外学者检索中英文文献。致力于提供最便捷和优质的服务体验。 Copyright © 2023 布克学术 All rights reserved.
京ICP备2023020795号-1
ghs 京公网安备 11010802042870号
Book学术文献互助
Book学术文献互助群
群 号:604180095
Book学术官方微信