A combination of low-temperature radiofrequency thermocoagulation and pulsed radiofrequency of the bilateral Gasserian ganglion for bilateral trigeminal neuralgia due to multiple sclerosis: a case report.

IF 1 Q3 ANESTHESIOLOGY
Mihoko Tamura, Masayuki Nakagawa, Yoichiro Abe
{"title":"A combination of low-temperature radiofrequency thermocoagulation and pulsed radiofrequency of the bilateral Gasserian ganglion for bilateral trigeminal neuralgia due to multiple sclerosis: a case report.","authors":"Mihoko Tamura, Masayuki Nakagawa, Yoichiro Abe","doi":"10.1186/s40981-025-00764-1","DOIUrl":null,"url":null,"abstract":"<p><strong>Background: </strong>Bilateral trigeminal neuralgia secondary to multiple sclerosis is an extremely rare condition. When Gasserian ganglion block is performed, it is necessary to achieve reliable long-term analgesic effects while avoiding treatment-related complications.</p><p><strong>Case presentation: </strong>A 49-year-old male with multiple sclerosis exhibited persistent dull pain and paroxysmal electric shock-like pain in his bilateral maxillary molars and mandible. He was diagnosed with trigeminal neuralgia due to multiple sclerosis. Due to severe side effects, it was difficult to achieve adequate pain control with medication alone. By performing low-temperature radiofrequency thermocoagulation and pulsed radiofrequency of the Gasserian ganglion while monitoring masseter muscle contraction, a satisfactory and rapid analgesic effect was obtained without masticatory atonia.</p><p><strong>Conclusions: </strong>To the best of our knowledge, this is the first case of bilateral trigeminal neuralgia due to multiple sclerosis in which low-temperature radiofrequency thermocoagulation combined with pulsed radiofrequency was successfully performed for pain relief without masticatory atonia.</p>","PeriodicalId":14635,"journal":{"name":"JA Clinical Reports","volume":"11 1","pages":"1"},"PeriodicalIF":1.0000,"publicationDate":"2025-01-13","publicationTypes":"Journal Article","fieldsOfStudy":null,"isOpenAccess":false,"openAccessPdf":"https://www.ncbi.nlm.nih.gov/pmc/articles/PMC11730039/pdf/","citationCount":"0","resultStr":null,"platform":"Semanticscholar","paperid":null,"PeriodicalName":"JA Clinical Reports","FirstCategoryId":"1085","ListUrlMain":"https://doi.org/10.1186/s40981-025-00764-1","RegionNum":0,"RegionCategory":null,"ArticlePicture":[],"TitleCN":null,"AbstractTextCN":null,"PMCID":null,"EPubDate":"","PubModel":"","JCR":"Q3","JCRName":"ANESTHESIOLOGY","Score":null,"Total":0}
引用次数: 0

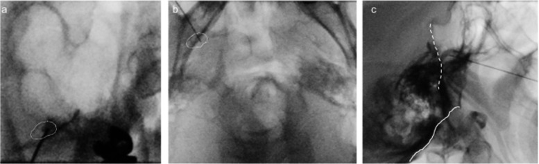
Abstract

Background: Bilateral trigeminal neuralgia secondary to multiple sclerosis is an extremely rare condition. When Gasserian ganglion block is performed, it is necessary to achieve reliable long-term analgesic effects while avoiding treatment-related complications.

Case presentation: A 49-year-old male with multiple sclerosis exhibited persistent dull pain and paroxysmal electric shock-like pain in his bilateral maxillary molars and mandible. He was diagnosed with trigeminal neuralgia due to multiple sclerosis. Due to severe side effects, it was difficult to achieve adequate pain control with medication alone. By performing low-temperature radiofrequency thermocoagulation and pulsed radiofrequency of the Gasserian ganglion while monitoring masseter muscle contraction, a satisfactory and rapid analgesic effect was obtained without masticatory atonia.

Conclusions: To the best of our knowledge, this is the first case of bilateral trigeminal neuralgia due to multiple sclerosis in which low-temperature radiofrequency thermocoagulation combined with pulsed radiofrequency was successfully performed for pain relief without masticatory atonia.

Abstract Image

Abstract Image

Abstract Image

低温射频热凝联合双侧Gasserian神经节脉冲射频治疗多发性硬化所致双侧三叉神经痛1例报告。
背景:双侧三叉神经痛继发于多发性硬化症是一种极为罕见的疾病。当进行Gasserian神经节阻滞时,有必要在避免治疗相关并发症的同时获得可靠的长期镇痛效果。病例介绍:一名49岁男性多发性硬化症患者表现为双侧上颌磨牙和下颌骨持续钝痛和阵发性电击样疼痛。他被诊断为多发性硬化症引起的三叉神经痛。由于严重的副作用,单靠药物很难达到充分的疼痛控制。在监测咬肌收缩的同时,对Gasserian神经节进行低温射频热凝和脉冲射频治疗,获得满意、快速的镇痛效果,无咀嚼性张力。结论:据我们所知,这是第一例低温射频热凝联合脉冲射频成功缓解双侧三叉神经痛的多发性硬化症,无咀嚼性肌张力。
本文章由计算机程序翻译,如有差异,请以英文原文为准。
求助全文
约1分钟内获得全文 求助全文
来源期刊
JA Clinical Reports
JA Clinical Reports ANESTHESIOLOGY-
CiteScore
1.30
自引率
0.00%
发文量
90
审稿时长
9 weeks
期刊介绍: JA Clinical Reports is a companion journal to the Journal of Anesthesia (JA), the official journal of the Japanese Society of Anesthesiologists (JSA). This journal is an open access, peer-reviewed, online journal related to clinical anesthesia practices such as anesthesia management, pain management and intensive care. Case reports are very important articles from the viewpoint of education and the cultivation of scientific thinking in the field of anesthesia. However, submissions of anesthesia research and clinical reports from Japan are notably decreasing in major anesthesia journals. Therefore, the JSA has decided to launch a new journal, JA Clinical Reports, to encourage JSA members, particularly junior Japanese anesthesiologists, to publish papers in English language.
×
引用
GB/T 7714-2015
复制
MLA
复制
APA
复制
导出至
BibTeX EndNote RefMan NoteFirst NoteExpress
×
提示
您的信息不完整,为了账户安全,请先补充。
现在去补充
×
提示
您因"违规操作"
具体请查看互助需知
我知道了
×
提示
确定
请完成安全验证×
copy
已复制链接
快去分享给好友吧!
我知道了
右上角分享
点击右上角分享
0
联系我们:info@booksci.cn Book学术提供免费学术资源搜索服务,方便国内外学者检索中英文文献。致力于提供最便捷和优质的服务体验。 Copyright © 2023 布克学术 All rights reserved.
京ICP备2023020795号-1
ghs 京公网安备 11010802042870号
Book学术文献互助
Book学术文献互助群
群 号:604180095
Book学术官方微信