Resection of shrinking secondary thymic cyst during follow-up-a case report.

Mediastinum (Hong Kong, China) Pub Date : 2024-07-12 eCollection Date: 2024-01-01 DOI:10.21037/med-24-13
Taekyung Kang, Mi-Jin Kang
{"title":"Resection of shrinking secondary thymic cyst during follow-up-a case report.","authors":"Taekyung Kang, Mi-Jin Kang","doi":"10.21037/med-24-13","DOIUrl":null,"url":null,"abstract":"<p><strong>Background: </strong>Thymic cysts can be classified as congenital or acquired. Most thymic cysts do not change in size over a short period of time. Although very rare, thymic cyst rupture is associated with serious complications, such as mediastinal hemorrhage and hemothorax. We experienced a case of partial rupture of a secondary thymic cyst, in an asymptomatic patient.</p><p><strong>Case description: </strong>A 60-year-old woman visited Inje University Sanggye Paik Hospital with left hilar bulging detected on routine chest radiograph. A chest computed tomography (CT) scan revealed a 6 cm well-defined cystic mass with partial septation in the prevascular mediastinum. Thus, secondary thymic cyst was suggested. On the follow-up chest CT scan taken 3 months later, the size of the thymic cyst decreased, while the solid portion increased slightly, suggesting the potential presence of malignancy. Consequently, surgery was conducted. Adhesion to the lung and aorta was observed, but they were relatively well separated. The pathological findings revealed a partially ruptured thymic cyst with fat necrosis and multifocal granulomas.</p><p><strong>Conclusions: </strong>There are controversies in the treatment of thymic cysts. Some clinicians prefer strict medical supervision to avoid unnecessary surgery, while others advocate immediate excision to avoid complication. However, if any changes are observed during the follow-up of the thymic cyst, it may indicate malignant transformation or rupture, necessitating prompt surgical excision.</p>","PeriodicalId":74139,"journal":{"name":"Mediastinum (Hong Kong, China)","volume":"8 ","pages":"52"},"PeriodicalIF":0.0000,"publicationDate":"2024-07-12","publicationTypes":"Journal Article","fieldsOfStudy":null,"isOpenAccess":false,"openAccessPdf":"https://www.ncbi.nlm.nih.gov/pmc/articles/PMC11707434/pdf/","citationCount":"0","resultStr":null,"platform":"Semanticscholar","paperid":null,"PeriodicalName":"Mediastinum (Hong Kong, China)","FirstCategoryId":"1085","ListUrlMain":"https://doi.org/10.21037/med-24-13","RegionNum":0,"RegionCategory":null,"ArticlePicture":[],"TitleCN":null,"AbstractTextCN":null,"PMCID":null,"EPubDate":"2024/1/1 0:00:00","PubModel":"eCollection","JCR":"","JCRName":"","Score":null,"Total":0}
引用次数: 0

Abstract

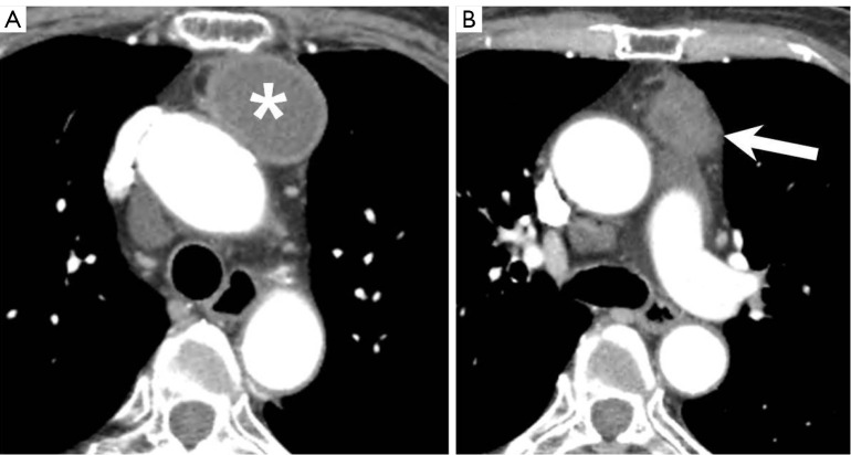
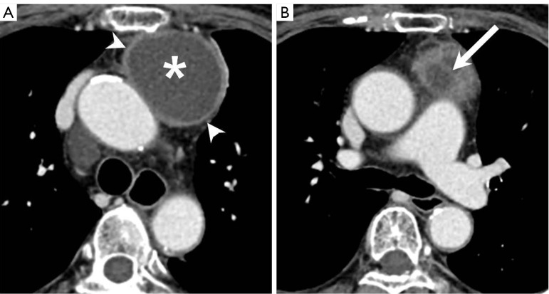
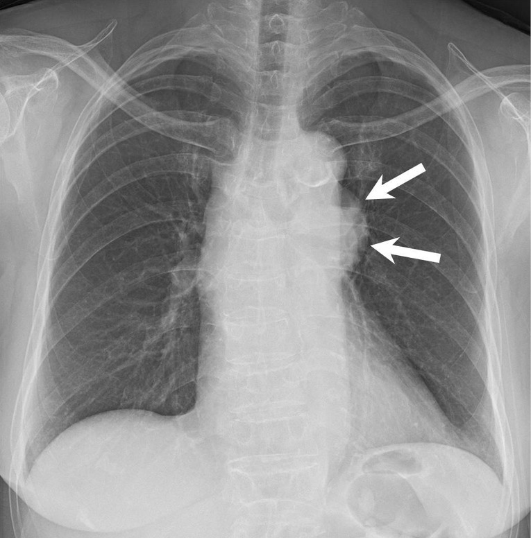
Background: Thymic cysts can be classified as congenital or acquired. Most thymic cysts do not change in size over a short period of time. Although very rare, thymic cyst rupture is associated with serious complications, such as mediastinal hemorrhage and hemothorax. We experienced a case of partial rupture of a secondary thymic cyst, in an asymptomatic patient.

Case description: A 60-year-old woman visited Inje University Sanggye Paik Hospital with left hilar bulging detected on routine chest radiograph. A chest computed tomography (CT) scan revealed a 6 cm well-defined cystic mass with partial septation in the prevascular mediastinum. Thus, secondary thymic cyst was suggested. On the follow-up chest CT scan taken 3 months later, the size of the thymic cyst decreased, while the solid portion increased slightly, suggesting the potential presence of malignancy. Consequently, surgery was conducted. Adhesion to the lung and aorta was observed, but they were relatively well separated. The pathological findings revealed a partially ruptured thymic cyst with fat necrosis and multifocal granulomas.

Conclusions: There are controversies in the treatment of thymic cysts. Some clinicians prefer strict medical supervision to avoid unnecessary surgery, while others advocate immediate excision to avoid complication. However, if any changes are observed during the follow-up of the thymic cyst, it may indicate malignant transformation or rupture, necessitating prompt surgical excision.

Abstract Image

Abstract Image

Abstract Image

随访中切除缩小性继发性胸腺囊肿1例。
背景:胸腺囊肿可分为先天性和后天性。大多数胸腺囊肿在短时间内不会改变大小。虽然非常罕见,但胸腺囊肿破裂常伴有严重的并发症,如纵隔出血和血胸。我们经历了一个病例部分破裂的继发性胸腺囊肿,在一个无症状的病人。病例描述:一名60岁妇女在仁济大学尚溪白医院就诊,常规胸片检查发现左肺门突出。胸部计算机断层扫描(CT)显示在血管前纵隔有一个6厘米明确的囊性肿块,部分分隔。因此,提示继发性胸腺囊肿。3个月后复查胸部CT,胸腺囊肿体积减小,实性部分略有增大,提示可能存在恶性肿瘤。因此,进行了手术。观察到肺和主动脉粘连,但它们相对较好地分离。病理结果显示胸腺囊肿部分破裂伴脂肪坏死及多灶性肉芽肿。结论:胸腺囊肿的治疗存在争议。一些临床医生倾向于严格的医疗监督,以避免不必要的手术,而另一些则主张立即切除,以避免并发症。然而,如果在随访中观察到任何变化,则可能表明胸腺囊肿恶性转化或破裂,需要及时手术切除。
本文章由计算机程序翻译,如有差异,请以英文原文为准。
求助全文
约1分钟内获得全文 求助全文
来源期刊
CiteScore
1.20
自引率
0.00%
发文量
0
×
引用
GB/T 7714-2015
复制
MLA
复制
APA
复制
导出至
BibTeX EndNote RefMan NoteFirst NoteExpress
×
提示
您的信息不完整,为了账户安全,请先补充。
现在去补充
×
提示
您因"违规操作"
具体请查看互助需知
我知道了
×
提示
确定
请完成安全验证×
copy
已复制链接
快去分享给好友吧!
我知道了
右上角分享
点击右上角分享
0
联系我们:info@booksci.cn Book学术提供免费学术资源搜索服务,方便国内外学者检索中英文文献。致力于提供最便捷和优质的服务体验。 Copyright © 2023 布克学术 All rights reserved.
京ICP备2023020795号-1
ghs 京公网安备 11010802042870号
Book学术文献互助
Book学术文献互助群
群 号:604180095
Book学术官方微信