Vascular injury in glomerulopathies: the role of the endothelium.

Frontiers in nephrology Pub Date : 2024-12-23 eCollection Date: 2024-01-01 DOI:10.3389/fneph.2024.1396588
Géssica Sabrine Braga Barbosa, Niels Olsen Saraiva Câmara, Felipe Lourenço Ledesma, Amaro Nunes Duarte Neto, Cristiane Bitencourt Dias
{"title":"Vascular injury in glomerulopathies: the role of the endothelium.","authors":"Géssica Sabrine Braga Barbosa, Niels Olsen Saraiva Câmara, Felipe Lourenço Ledesma, Amaro Nunes Duarte Neto, Cristiane Bitencourt Dias","doi":"10.3389/fneph.2024.1396588","DOIUrl":null,"url":null,"abstract":"<p><p>In glomerulopathies, endothelial dysfunction and the presence of histological vascular lesions such as thrombotic microangiopathy, arteriolar hyalinosis, and arteriosclerosis are related to a severe clinical course and worse renal prognosis. The endothelial cell, which naturally has anti-inflammatory and anti-thrombotic regulatory mechanisms, is particularly susceptible to damage caused by various etiologies and can become dysfunctional due to direct/indirect injury or a deficiency of protective factors. In addition, endothelial regulation and protection involve participation of the complement system, factors related to angiogenesis, the renin-angiotensin system (RAS), endothelin, the glycocalyx, the coagulation cascade, interaction between these pathways, interactions between glomerular structures (the endothelium, mesangium, podocyte, and basement membrane) and interstitial structures (tubules, arterioles and small vessels). Dysregulation of those components is also associated with the progression of renal fibrosis, since endothelial cell damage promotes endothelial-to-mesenchymal transition. Although the potential mechanisms of vascular injury have been widely described in diabetic kidney disease, hypertensive nephrosclerosis, and hemolytic uremic syndrome, they require further elucidation in other glomerulopathies. A better understanding of the pathogenesis of vascular injury in patients with glomerular diseases could contribute to the development of specific treatments for such injury.</p>","PeriodicalId":73091,"journal":{"name":"Frontiers in nephrology","volume":"4 ","pages":"1396588"},"PeriodicalIF":0.0000,"publicationDate":"2024-12-23","publicationTypes":"Journal Article","fieldsOfStudy":null,"isOpenAccess":false,"openAccessPdf":"https://www.ncbi.nlm.nih.gov/pmc/articles/PMC11707422/pdf/","citationCount":"0","resultStr":null,"platform":"Semanticscholar","paperid":null,"PeriodicalName":"Frontiers in nephrology","FirstCategoryId":"1085","ListUrlMain":"https://doi.org/10.3389/fneph.2024.1396588","RegionNum":0,"RegionCategory":null,"ArticlePicture":[],"TitleCN":null,"AbstractTextCN":null,"PMCID":null,"EPubDate":"2024/1/1 0:00:00","PubModel":"eCollection","JCR":"","JCRName":"","Score":null,"Total":0}
引用次数: 0

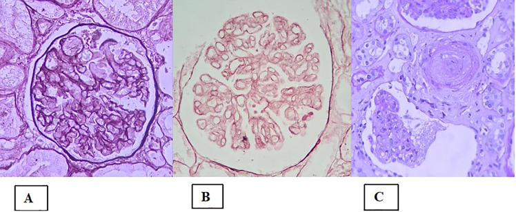
Abstract

In glomerulopathies, endothelial dysfunction and the presence of histological vascular lesions such as thrombotic microangiopathy, arteriolar hyalinosis, and arteriosclerosis are related to a severe clinical course and worse renal prognosis. The endothelial cell, which naturally has anti-inflammatory and anti-thrombotic regulatory mechanisms, is particularly susceptible to damage caused by various etiologies and can become dysfunctional due to direct/indirect injury or a deficiency of protective factors. In addition, endothelial regulation and protection involve participation of the complement system, factors related to angiogenesis, the renin-angiotensin system (RAS), endothelin, the glycocalyx, the coagulation cascade, interaction between these pathways, interactions between glomerular structures (the endothelium, mesangium, podocyte, and basement membrane) and interstitial structures (tubules, arterioles and small vessels). Dysregulation of those components is also associated with the progression of renal fibrosis, since endothelial cell damage promotes endothelial-to-mesenchymal transition. Although the potential mechanisms of vascular injury have been widely described in diabetic kidney disease, hypertensive nephrosclerosis, and hemolytic uremic syndrome, they require further elucidation in other glomerulopathies. A better understanding of the pathogenesis of vascular injury in patients with glomerular diseases could contribute to the development of specific treatments for such injury.

Abstract Image

Abstract Image

Abstract Image

肾小球病变中的血管损伤:内皮的作用。
在肾小球疾病中,内皮功能障碍和组织学血管病变(如血栓性微血管病、小动脉透明质病和动脉硬化)的存在与严重的临床病程和较差的肾脏预后有关。内皮细胞具有天然的抗炎和抗血栓调节机制,特别容易受到各种病因引起的损伤,并可能由于直接/间接损伤或缺乏保护因子而变得功能失调。此外,内皮调节和保护还涉及补体系统、血管生成相关因子、肾素-血管紧张素系统(RAS)、内皮素、糖盏、凝血级联、这些通路之间的相互作用、肾小球结构(内皮、系膜、足细胞和基底膜)和间质结构(小管、小动脉和小血管)之间的相互作用。这些成分的失调也与肾纤维化的进展有关,因为内皮细胞损伤促进了内皮细胞向间质细胞的转变。虽然血管损伤的潜在机制已在糖尿病肾病、高血压肾硬化和溶血性尿毒症综合征中被广泛描述,但在其他肾小球疾病中还需要进一步阐明。更好地了解肾小球疾病患者血管损伤的发病机制有助于开发针对此类损伤的特异性治疗方法。
本文章由计算机程序翻译,如有差异,请以英文原文为准。
求助全文
约1分钟内获得全文 求助全文
来源期刊
自引率
0.00%
发文量
0
×
引用
GB/T 7714-2015
复制
MLA
复制
APA
复制
导出至
BibTeX EndNote RefMan NoteFirst NoteExpress
×
提示
您的信息不完整,为了账户安全,请先补充。
现在去补充
×
提示
您因"违规操作"
具体请查看互助需知
我知道了
×
提示
确定
请完成安全验证×
copy
已复制链接
快去分享给好友吧!
我知道了
右上角分享
点击右上角分享
0
联系我们:info@booksci.cn Book学术提供免费学术资源搜索服务,方便国内外学者检索中英文文献。致力于提供最便捷和优质的服务体验。 Copyright © 2023 布克学术 All rights reserved.
京ICP备2023020795号-1
ghs 京公网安备 11010802042870号
Book学术文献互助
Book学术文献互助群
群 号:604180095
Book学术官方微信