Percutaneous transhepatic arterial access for coil embolization of hepatic artery infusion pump-associated bleeding.

IF 1.5 Q3 CARDIAC & CARDIOVASCULAR SYSTEMS
Anuj K Dutta, Vishal Shankar, Ernesto G Santos, Brett Marinelli, Erica S Alexander, Vlasios S Sotirchos, Ken Zhao
{"title":"Percutaneous transhepatic arterial access for coil embolization of hepatic artery infusion pump-associated bleeding.","authors":"Anuj K Dutta, Vishal Shankar, Ernesto G Santos, Brett Marinelli, Erica S Alexander, Vlasios S Sotirchos, Ken Zhao","doi":"10.1186/s42155-024-00515-w","DOIUrl":null,"url":null,"abstract":"<p><strong>Background: </strong>Hepatic artery infusion pump (HAIP) chemotherapy is a locoregional treatment for intrahepatic malignancies. HAIPs are surgically implanted, and the catheter tip is typically inserted into a ligated gastroduodenal artery stump. Potential complications at the catheter insertion site include dehiscence, pseudoaneurysm or extravasation, and adjacent hepatic arterial stenosis and thrombosis. Bleeding complications can be treated with stent-graft placement or coil embolization across the injury site, typically with standard antegrade arterial approach into the hepatic arterial system by transfemoral or transradial access. However, in cases where an antegrade approach is not possible, alternative methods are necessary.</p><p><strong>Case presentation: </strong>A patient presented with an enlarging hematoma due to bleeding at the gastroduodenal artery HAIP catheter insertion site. Emergent angiography revealed concomitant common hepatic artery occlusion and retrograde perfusion of the GDA via tortuous, diminutive hepatic collaterals which precluded standard antegrade approach. Collateral inflow from the dorsal pancreatic artery was utilized to opacify the right hepatic artery. The segment 5 hepatic artery was percutaneously accessed under fluoroscopic guidance, and microcoils were deployed both proximal and distal to origin of the gastroduodenal artery. The patient remained stable throughout the postoperative period and was discharged after an otherwise uneventful admission. Follow-up computed tomography demonstrated resolution of the hematoma and no bleeding or biliary complication from transhepatic access.</p><p><strong>Conclusions: </strong>This report highlights the safety and efficacy of percutaneous transhepatic arterial access for endovascular management of HAIP associated bleeding at the gastroduodenal artery when standard antegrade interventions cannot be performed. Interventional radiologists caring for patients with HAIPs should be familiar with their potential complications and the range of techniques required for management.</p>","PeriodicalId":52351,"journal":{"name":"CVIR Endovascular","volume":"8 1","pages":"5"},"PeriodicalIF":1.5000,"publicationDate":"2025-01-09","publicationTypes":"Journal Article","fieldsOfStudy":null,"isOpenAccess":false,"openAccessPdf":"https://www.ncbi.nlm.nih.gov/pmc/articles/PMC11717752/pdf/","citationCount":"0","resultStr":null,"platform":"Semanticscholar","paperid":null,"PeriodicalName":"CVIR Endovascular","FirstCategoryId":"1085","ListUrlMain":"https://doi.org/10.1186/s42155-024-00515-w","RegionNum":0,"RegionCategory":null,"ArticlePicture":[],"TitleCN":null,"AbstractTextCN":null,"PMCID":null,"EPubDate":"","PubModel":"","JCR":"Q3","JCRName":"CARDIAC & CARDIOVASCULAR SYSTEMS","Score":null,"Total":0}
引用次数: 0

Abstract

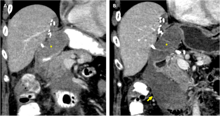
Background: Hepatic artery infusion pump (HAIP) chemotherapy is a locoregional treatment for intrahepatic malignancies. HAIPs are surgically implanted, and the catheter tip is typically inserted into a ligated gastroduodenal artery stump. Potential complications at the catheter insertion site include dehiscence, pseudoaneurysm or extravasation, and adjacent hepatic arterial stenosis and thrombosis. Bleeding complications can be treated with stent-graft placement or coil embolization across the injury site, typically with standard antegrade arterial approach into the hepatic arterial system by transfemoral or transradial access. However, in cases where an antegrade approach is not possible, alternative methods are necessary.

Case presentation: A patient presented with an enlarging hematoma due to bleeding at the gastroduodenal artery HAIP catheter insertion site. Emergent angiography revealed concomitant common hepatic artery occlusion and retrograde perfusion of the GDA via tortuous, diminutive hepatic collaterals which precluded standard antegrade approach. Collateral inflow from the dorsal pancreatic artery was utilized to opacify the right hepatic artery. The segment 5 hepatic artery was percutaneously accessed under fluoroscopic guidance, and microcoils were deployed both proximal and distal to origin of the gastroduodenal artery. The patient remained stable throughout the postoperative period and was discharged after an otherwise uneventful admission. Follow-up computed tomography demonstrated resolution of the hematoma and no bleeding or biliary complication from transhepatic access.

Conclusions: This report highlights the safety and efficacy of percutaneous transhepatic arterial access for endovascular management of HAIP associated bleeding at the gastroduodenal artery when standard antegrade interventions cannot be performed. Interventional radiologists caring for patients with HAIPs should be familiar with their potential complications and the range of techniques required for management.

Abstract Image

Abstract Image

Abstract Image

经皮经肝动脉栓塞治疗肝动脉灌注泵相关出血。
背景:肝动脉灌注泵化疗是肝内恶性肿瘤的一种局部治疗方法。haps通过手术植入,导管尖端通常插入结扎的胃十二指肠动脉残端。导管插入部位的潜在并发症包括破裂、假性动脉瘤或外渗、邻近肝动脉狭窄和血栓形成。出血并发症可通过在损伤部位放置支架或线圈栓塞来治疗,通常采用经股动脉或经桡动脉进入肝动脉系统的标准顺行动脉入路。然而,在不可能采用顺行方法的情况下,必须采用替代方法。病例介绍:1例患者因胃十二指肠动脉HAIP导管插入部位出血导致血肿扩大。急诊血管造影显示伴随有肝总动脉闭塞和GDA经弯曲、狭窄的肝侧枝逆行灌注,这妨碍了标准的顺行入路。胰背动脉侧支流入用于肝右动脉的显影。在透视引导下经皮进入肝动脉第5段,在胃十二指肠动脉起源的近端和远端放置微线圈。患者在整个术后期间保持稳定,并在入院后顺利出院。随访的计算机断层显示血肿消退,无经肝通路出血或胆道并发症。结论:本报告强调了当不能进行标准顺行干预时,经皮经肝动脉介入治疗胃十二指肠动脉HAIP相关出血的安全性和有效性。介入放射科医生照顾haps患者应该熟悉其潜在的并发症和管理所需的技术范围。
本文章由计算机程序翻译,如有差异,请以英文原文为准。
求助全文
约1分钟内获得全文 求助全文
来源期刊
CVIR Endovascular
CVIR Endovascular Medicine-Radiology, Nuclear Medicine and Imaging
CiteScore
2.30
自引率
0.00%
发文量
59
×
引用
GB/T 7714-2015
复制
MLA
复制
APA
复制
导出至
BibTeX EndNote RefMan NoteFirst NoteExpress
×
提示
您的信息不完整,为了账户安全,请先补充。
现在去补充
×
提示
您因"违规操作"
具体请查看互助需知
我知道了
×
提示
确定
请完成安全验证×
copy
已复制链接
快去分享给好友吧!
我知道了
右上角分享
点击右上角分享
0
联系我们:info@booksci.cn Book学术提供免费学术资源搜索服务,方便国内外学者检索中英文文献。致力于提供最便捷和优质的服务体验。 Copyright © 2023 布克学术 All rights reserved.
京ICP备2023020795号-1
ghs 京公网安备 11010802042870号
Book学术文献互助
Book学术文献互助群
群 号:604180095
Book学术官方微信