Top-of-Basilar Artery Occlusion Thromboembolism in Arrhythmogenic Right Ventricular Cardiomyopathy Treated with Intravenous Thrombolysis and Mechanical Thrombectomy.

IF 2.1 Q3 PERIPHERAL VASCULAR DISEASE
Cerebrovascular Diseases Extra Pub Date : 2025-01-01 Epub Date: 2025-01-08 DOI:10.1159/000543418
Amirul Asyraf Abdul Ghapar, Khairul Azmi Abd Kadir, Grace Sze Ern Chu, Mei Ling Sharon Tai, Mohamad Imran Idris, Ru Peng New, Imran Zainal Abidin, Khean Jin Goh, Kay Sin Tan
{"title":"Top-of-Basilar Artery Occlusion Thromboembolism in Arrhythmogenic Right Ventricular Cardiomyopathy Treated with Intravenous Thrombolysis and Mechanical Thrombectomy.","authors":"Amirul Asyraf Abdul Ghapar, Khairul Azmi Abd Kadir, Grace Sze Ern Chu, Mei Ling Sharon Tai, Mohamad Imran Idris, Ru Peng New, Imran Zainal Abidin, Khean Jin Goh, Kay Sin Tan","doi":"10.1159/000543418","DOIUrl":null,"url":null,"abstract":"<p><strong>Introduction: </strong>This case report illustrates the complexities of arrhythmogenic right ventricular cardiomyopathy (ARVC) and its thromboembolic complications resulting in top-of-basilar artery syndrome. We discuss the case of a 37-year-old male with ARVC who presented with acute onset of dizziness, imbalance, and vomiting, leading to the diagnosis of a top-of-basilar artery occlusion (BAO) which was successfully treated.</p><p><strong>Case presentation: </strong>This case highlights the diagnostic and acute treatment challenges in BAO due to its non-specific symptoms and emphasizes the critical role of CT angiography in detecting occlusive thrombi for timely intervention. With prompt endovascular thrombectomy and bridging intravenous thrombolysis, complete recanalization was achieved and the patient was discharged with modified Rankin Scale (mRS) of 1. Effective management strategies involve assessing ventricular function, detecting arrhythmias, identifying intracardiac thrombi, and implementing individualized stroke prevention measures, such as using direct oral anticoagulants.</p><p><strong>Conclusion: </strong>This study illustrates the necessity of a multidisciplinary approach in optimizing patient outcomes in acute stroke care. Focusing on the rare condition of ARVC and the specific challenge of top-of-BAOs in this case underscores the intricate interplay between cardiovascular and cerebrovascular pathology leading to improved understanding and management of these conditions.</p><p><strong>Introduction: </strong>This case report illustrates the complexities of arrhythmogenic right ventricular cardiomyopathy (ARVC) and its thromboembolic complications resulting in top-of-basilar artery syndrome. We discuss the case of a 37-year-old male with ARVC who presented with acute onset of dizziness, imbalance, and vomiting, leading to the diagnosis of a top-of-basilar artery occlusion (BAO) which was successfully treated.</p><p><strong>Case presentation: </strong>This case highlights the diagnostic and acute treatment challenges in BAO due to its non-specific symptoms and emphasizes the critical role of CT angiography in detecting occlusive thrombi for timely intervention. With prompt endovascular thrombectomy and bridging intravenous thrombolysis, complete recanalization was achieved and the patient was discharged with modified Rankin Scale (mRS) of 1. Effective management strategies involve assessing ventricular function, detecting arrhythmias, identifying intracardiac thrombi, and implementing individualized stroke prevention measures, such as using direct oral anticoagulants.</p><p><strong>Conclusion: </strong>This study illustrates the necessity of a multidisciplinary approach in optimizing patient outcomes in acute stroke care. Focusing on the rare condition of ARVC and the specific challenge of top-of-BAOs in this case underscores the intricate interplay between cardiovascular and cerebrovascular pathology leading to improved understanding and management of these conditions.</p>","PeriodicalId":45709,"journal":{"name":"Cerebrovascular Diseases Extra","volume":" ","pages":"73-80"},"PeriodicalIF":2.1000,"publicationDate":"2025-01-01","publicationTypes":"Journal Article","fieldsOfStudy":null,"isOpenAccess":false,"openAccessPdf":"https://www.ncbi.nlm.nih.gov/pmc/articles/PMC11828487/pdf/","citationCount":"0","resultStr":null,"platform":"Semanticscholar","paperid":null,"PeriodicalName":"Cerebrovascular Diseases Extra","FirstCategoryId":"1085","ListUrlMain":"https://doi.org/10.1159/000543418","RegionNum":0,"RegionCategory":null,"ArticlePicture":[],"TitleCN":null,"AbstractTextCN":null,"PMCID":null,"EPubDate":"2025/1/8 0:00:00","PubModel":"Epub","JCR":"Q3","JCRName":"PERIPHERAL VASCULAR DISEASE","Score":null,"Total":0}
引用次数: 0

Abstract

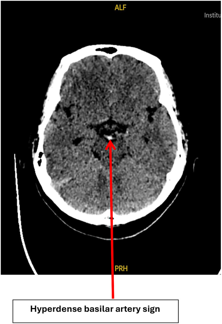
Introduction: This case report illustrates the complexities of arrhythmogenic right ventricular cardiomyopathy (ARVC) and its thromboembolic complications resulting in top-of-basilar artery syndrome. We discuss the case of a 37-year-old male with ARVC who presented with acute onset of dizziness, imbalance, and vomiting, leading to the diagnosis of a top-of-basilar artery occlusion (BAO) which was successfully treated.

Case presentation: This case highlights the diagnostic and acute treatment challenges in BAO due to its non-specific symptoms and emphasizes the critical role of CT angiography in detecting occlusive thrombi for timely intervention. With prompt endovascular thrombectomy and bridging intravenous thrombolysis, complete recanalization was achieved and the patient was discharged with modified Rankin Scale (mRS) of 1. Effective management strategies involve assessing ventricular function, detecting arrhythmias, identifying intracardiac thrombi, and implementing individualized stroke prevention measures, such as using direct oral anticoagulants.

Conclusion: This study illustrates the necessity of a multidisciplinary approach in optimizing patient outcomes in acute stroke care. Focusing on the rare condition of ARVC and the specific challenge of top-of-BAOs in this case underscores the intricate interplay between cardiovascular and cerebrovascular pathology leading to improved understanding and management of these conditions.

Introduction: This case report illustrates the complexities of arrhythmogenic right ventricular cardiomyopathy (ARVC) and its thromboembolic complications resulting in top-of-basilar artery syndrome. We discuss the case of a 37-year-old male with ARVC who presented with acute onset of dizziness, imbalance, and vomiting, leading to the diagnosis of a top-of-basilar artery occlusion (BAO) which was successfully treated.

Case presentation: This case highlights the diagnostic and acute treatment challenges in BAO due to its non-specific symptoms and emphasizes the critical role of CT angiography in detecting occlusive thrombi for timely intervention. With prompt endovascular thrombectomy and bridging intravenous thrombolysis, complete recanalization was achieved and the patient was discharged with modified Rankin Scale (mRS) of 1. Effective management strategies involve assessing ventricular function, detecting arrhythmias, identifying intracardiac thrombi, and implementing individualized stroke prevention measures, such as using direct oral anticoagulants.

Conclusion: This study illustrates the necessity of a multidisciplinary approach in optimizing patient outcomes in acute stroke care. Focusing on the rare condition of ARVC and the specific challenge of top-of-BAOs in this case underscores the intricate interplay between cardiovascular and cerebrovascular pathology leading to improved understanding and management of these conditions.

Abstract Image

Abstract Image

Abstract Image

静脉溶栓和机械取栓治疗致心律失常右室心肌病(ARVC)的血栓栓塞。
本病例报告阐述了致心律失常性右室心肌病(ARVC)及其血栓栓塞并发症导致的基底顶动脉综合征的复杂性。我们讨论一个37岁男性ARVC的病例,他表现为急性头晕,失衡和呕吐,导致诊断为基底顶动脉闭塞,并成功治疗。本病例强调了基底动脉闭塞(BAO)由于其非特异性症状而在诊断和急性治疗方面的挑战,并强调了CT血管造影在发现闭塞血栓并及时干预方面的关键作用。通过及时的血管内取栓和桥接静脉溶栓,实现了完全的再通,患者以改良Rankin评分(mRS) 1分出院。有效的管理策略包括评估心室功能,检测心律失常,识别心内血栓,实施个体化卒中预防措施,如使用直接口服抗凝剂(DOACs)。结论:本研究说明了在优化急性脑卒中患者治疗结果的多学科方法的必要性。关注ARVC的罕见情况和本病例基底顶动脉闭塞的特殊挑战,强调了心脑血管病理之间复杂的相互作用,从而提高了对这些疾病的理解和管理。
本文章由计算机程序翻译,如有差异,请以英文原文为准。
求助全文
约1分钟内获得全文 求助全文
来源期刊
Cerebrovascular Diseases Extra
Cerebrovascular Diseases Extra PERIPHERAL VASCULAR DISEASE-
CiteScore
3.50
自引率
0.00%
发文量
16
审稿时长
8 weeks
期刊介绍: This open access and online-only journal publishes original articles covering the entire spectrum of stroke and cerebrovascular research, drawing from a variety of specialties such as neurology, internal medicine, surgery, radiology, epidemiology, cardiology, hematology, psychology and rehabilitation. Offering an international forum, it meets the growing need for sophisticated, up-to-date scientific information on clinical data, diagnostic testing, and therapeutic issues. The journal publishes original contributions, reviews of selected topics as well as clinical investigative studies. All aspects related to clinical advances are considered, while purely experimental work appears only if directly relevant to clinical issues. Cerebrovascular Diseases Extra provides additional contents based on reviewed and accepted submissions to the main journal Cerebrovascular Diseases.
×
引用
GB/T 7714-2015
复制
MLA
复制
APA
复制
导出至
BibTeX EndNote RefMan NoteFirst NoteExpress
×
提示
您的信息不完整,为了账户安全,请先补充。
现在去补充
×
提示
您因"违规操作"
具体请查看互助需知
我知道了
×
提示
确定
请完成安全验证×
copy
已复制链接
快去分享给好友吧!
我知道了
右上角分享
点击右上角分享
0
联系我们:info@booksci.cn Book学术提供免费学术资源搜索服务,方便国内外学者检索中英文文献。致力于提供最便捷和优质的服务体验。 Copyright © 2023 布克学术 All rights reserved.
京ICP备2023020795号-1
ghs 京公网安备 11010802042870号
Book学术文献互助
Book学术文献互助群
群 号:604180095
Book学术官方微信