Three-dimensional speckle-tracking echocardiography-derived deformation analysis of the morphologic left ventricle in adults with corrected dextro-transposition of the great arteries-insights from the CSONGRAD Registry and MAGYAR-Path Study.

IF 2.1 3区 医学 Q3 CARDIAC & CARDIOVASCULAR SYSTEMS
Cardiovascular diagnosis and therapy Pub Date : 2024-12-31 Epub Date: 2024-12-19 DOI:10.21037/cdt-24-266
Árpád Kormányos, Nándor Gyenes, Zoltán Ruzsa, Alexandru Achim, Nóra Ambrus, Kálmán Havasi, Máté Vámos, Tamás Szili-Török, Csaba Lengyel, Attila Nemes
{"title":"Three-dimensional speckle-tracking echocardiography-derived deformation analysis of the morphologic left ventricle in adults with corrected dextro-transposition of the great arteries-insights from the CSONGRAD Registry and MAGYAR-Path Study.","authors":"Árpád Kormányos, Nándor Gyenes, Zoltán Ruzsa, Alexandru Achim, Nóra Ambrus, Kálmán Havasi, Máté Vámos, Tamás Szili-Török, Csaba Lengyel, Attila Nemes","doi":"10.21037/cdt-24-266","DOIUrl":null,"url":null,"abstract":"<p><strong>Background: </strong>Dextro-transposition of the great arteries (dTGA) stands out as a prevalent cyanotic congenital heart defect (CHD), characterized by an intricate reversal in the arrangement of the major arteries. In the past, several surgical procedures have been used to treat dTGA, including the atrial switch. Although the method is no longer used, survivors of the procedure still living among us. Recent advancements in cardiovascular imaging have led to the emergence of several novel echocardiographic techniques, notably three-dimensional (3D) and/or speckle-tracking echocardiography (STE). The present study aimed to employ 3DSTE to determine morphologic left ventricle (mLV) strain parameters in adults with dTGA who underwent Senning or Mustard procedure at infancy. Furthermore, it was also aimed to assess whether the type of correction procedure had any impact on mLV deformation parameters.</p><p><strong>Methods: </strong>Eleven dTGA patients, with a mean age of 28.8±8.5 years (6 males, 6 Senning- and 5 Mustard-operated patients) were enrolled. They were compared to 34 healthy controls matched for age and gender (age: 35.7±12.8 years, 21 males). All subjects underwent complete two-dimensional (2D) Doppler echocardiography with 3DSTE data acquisition as per recent guidelines.</p><p><strong>Results: </strong>Comparing all dTGA patients to the control group no mean segmental or global mLV strains showed significant differences, however out of the regional strains, midventricular mLV longitudinal strain was significantly better (higher) in dTGA compared to the healthy group (-16.8%±7.4% <i>vs.</i> -13.3%±2.5%, P<0.05). The Mustard-operated patients showed significantly worse (lower) global mLV circumferential strain compared to that of controls (-22.1%±12.4% <i>vs.</i> -28.9%±4.7%, P=0.05). Out of the regional strains the Mustard procedure group had a significantly worse (lower) apical mLV circumferential strain (-24.8%±11.9% <i>vs.</i> -35.6%±9.0%, P=0.05), better (higher) midventricular mLV longitudinal strain (-20.1%±9.2% <i>vs.</i> -13.3%±2.5%, P=0.04) and a worse (lower) apical mLV area strain (-36.3%±17.0% <i>vs.</i> -48.8%±9.7%, P=0.03).</p><p><strong>Conclusions: </strong>Significant mLV strain abnormalities are present in dTGA late after atrial switch procedures. These differences are more pronounced in the Mustard-operated group.</p>","PeriodicalId":9592,"journal":{"name":"Cardiovascular diagnosis and therapy","volume":"14 6","pages":"1038-1047"},"PeriodicalIF":2.1000,"publicationDate":"2024-12-31","publicationTypes":"Journal Article","fieldsOfStudy":null,"isOpenAccess":false,"openAccessPdf":"https://www.ncbi.nlm.nih.gov/pmc/articles/PMC11707480/pdf/","citationCount":"0","resultStr":null,"platform":"Semanticscholar","paperid":null,"PeriodicalName":"Cardiovascular diagnosis and therapy","FirstCategoryId":"3","ListUrlMain":"https://doi.org/10.21037/cdt-24-266","RegionNum":3,"RegionCategory":"医学","ArticlePicture":[],"TitleCN":null,"AbstractTextCN":null,"PMCID":null,"EPubDate":"2024/12/19 0:00:00","PubModel":"Epub","JCR":"Q3","JCRName":"CARDIAC & CARDIOVASCULAR SYSTEMS","Score":null,"Total":0}
引用次数: 0

Abstract

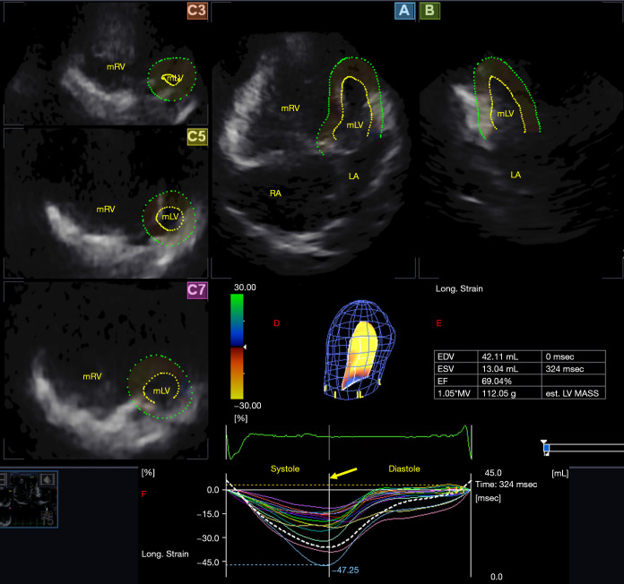
Background: Dextro-transposition of the great arteries (dTGA) stands out as a prevalent cyanotic congenital heart defect (CHD), characterized by an intricate reversal in the arrangement of the major arteries. In the past, several surgical procedures have been used to treat dTGA, including the atrial switch. Although the method is no longer used, survivors of the procedure still living among us. Recent advancements in cardiovascular imaging have led to the emergence of several novel echocardiographic techniques, notably three-dimensional (3D) and/or speckle-tracking echocardiography (STE). The present study aimed to employ 3DSTE to determine morphologic left ventricle (mLV) strain parameters in adults with dTGA who underwent Senning or Mustard procedure at infancy. Furthermore, it was also aimed to assess whether the type of correction procedure had any impact on mLV deformation parameters.

Methods: Eleven dTGA patients, with a mean age of 28.8±8.5 years (6 males, 6 Senning- and 5 Mustard-operated patients) were enrolled. They were compared to 34 healthy controls matched for age and gender (age: 35.7±12.8 years, 21 males). All subjects underwent complete two-dimensional (2D) Doppler echocardiography with 3DSTE data acquisition as per recent guidelines.

Results: Comparing all dTGA patients to the control group no mean segmental or global mLV strains showed significant differences, however out of the regional strains, midventricular mLV longitudinal strain was significantly better (higher) in dTGA compared to the healthy group (-16.8%±7.4% vs. -13.3%±2.5%, P<0.05). The Mustard-operated patients showed significantly worse (lower) global mLV circumferential strain compared to that of controls (-22.1%±12.4% vs. -28.9%±4.7%, P=0.05). Out of the regional strains the Mustard procedure group had a significantly worse (lower) apical mLV circumferential strain (-24.8%±11.9% vs. -35.6%±9.0%, P=0.05), better (higher) midventricular mLV longitudinal strain (-20.1%±9.2% vs. -13.3%±2.5%, P=0.04) and a worse (lower) apical mLV area strain (-36.3%±17.0% vs. -48.8%±9.7%, P=0.03).

Conclusions: Significant mLV strain abnormalities are present in dTGA late after atrial switch procedures. These differences are more pronounced in the Mustard-operated group.

Abstract Image

Abstract Image

Abstract Image

三维斑点跟踪超声心动图衍生的变形分析成人右大动脉转位矫正左心室形态-来自CSONGRAD注册和magyar路径研究的见解。
背景:大动脉右转位(dTGA)是一种常见的紫绀型先天性心脏缺陷(CHD),其特征是大动脉排列的复杂逆转。在过去,一些外科手术已被用于治疗dTGA,包括心房开关。虽然这种方法已不再使用,但手术的幸存者仍然生活在我们身边。心血管成像的最新进展导致了几种新型超声心动图技术的出现,特别是三维(3D)和/或斑点跟踪超声心动图(STE)。本研究旨在利用3DSTE来确定婴儿期接受Senning或Mustard手术的dTGA成人左心室形态学(mLV)应变参数。此外,还旨在评估校正程序类型是否对mLV变形参数有任何影响。方法:11例dTGA患者,平均年龄28.8±8.5岁(男性6例,Senning手术6例,mustard手术5例)。将他们与34名年龄和性别匹配的健康对照组(年龄:35.7±12.8岁,男性21名)进行比较。根据最新指南,所有受试者都进行了完整的二维(2D)多普勒超声心动图和3DSTE数据采集。结果:所有dTGA患者与对照组比较,平均节段性或整体mLV株无显著差异,但在区域株中,dTGA患者的中心室mLV纵向株明显优于健康组(-16.8%±7.4% vs -13.3%±2.5%,pv)。-28.9%±4.7%,P = 0.05)。在区域菌株中,Mustard手术组的根尖mLV周应变较差(低)(-24.8%±11.9%比-35.6%±9.0%,P=0.05),中室mLV纵向应变较好(高)(-20.1%±9.2%比-13.3%±2.5%,P=0.04),根尖mLV面积应变较差(低)(-36.3%±17.0%比-48.8%±9.7%,P=0.03)。结论:心房开关手术后晚期dTGA存在显著的mLV应变异常。这些差异在芥末手术组中更为明显。
本文章由计算机程序翻译,如有差异,请以英文原文为准。
求助全文
约1分钟内获得全文 求助全文
来源期刊
Cardiovascular diagnosis and therapy
Cardiovascular diagnosis and therapy Medicine-Cardiology and Cardiovascular Medicine
CiteScore
4.90
自引率
4.20%
发文量
45
期刊介绍: The journal ''Cardiovascular Diagnosis and Therapy'' (Print ISSN: 2223-3652; Online ISSN: 2223-3660) accepts basic and clinical science submissions related to Cardiovascular Medicine and Surgery. The mission of the journal is the rapid exchange of scientific information between clinicians and scientists worldwide. To reach this goal, the journal will focus on novel media, using a web-based, digital format in addition to traditional print-version. This includes on-line submission, review, publication, and distribution. The digital format will also allow submission of extensive supporting visual material, both images and video. The website www.thecdt.org will serve as the central hub and also allow posting of comments and on-line discussion. The web-site of the journal will be linked to a number of international web-sites (e.g. www.dxy.cn), which will significantly expand the distribution of its contents.
×
引用
GB/T 7714-2015
复制
MLA
复制
APA
复制
导出至
BibTeX EndNote RefMan NoteFirst NoteExpress
×
提示
您的信息不完整,为了账户安全,请先补充。
现在去补充
×
提示
您因"违规操作"
具体请查看互助需知
我知道了
×
提示
确定
请完成安全验证×
copy
已复制链接
快去分享给好友吧!
我知道了
右上角分享
点击右上角分享
0
联系我们:info@booksci.cn Book学术提供免费学术资源搜索服务,方便国内外学者检索中英文文献。致力于提供最便捷和优质的服务体验。 Copyright © 2023 布克学术 All rights reserved.
京ICP备2023020795号-1
ghs 京公网安备 11010802042870号
Book学术文献互助
Book学术文献互助群
群 号:604180095
Book学术官方微信