Prolonged SARS-CoV-2 Viremia in an Immunocompromised Patient.

IF 0.9
Journal of medical cases Pub Date : 2025-01-01 Epub Date: 2024-11-12 DOI:10.14740/jmc5064
Mohammed Abdulrasak, Sohail Hootak
{"title":"Prolonged SARS-CoV-2 Viremia in an Immunocompromised Patient.","authors":"Mohammed Abdulrasak, Sohail Hootak","doi":"10.14740/jmc5064","DOIUrl":null,"url":null,"abstract":"<p><p>Immunocompromised patients, especially those receiving B-cell depleting therapies, are at risk for developing atypical presentation with regard to severe acute respiratory syndrome coronavirus 2 (SARS-CoV-2) infection, with the potential for diagnostic delay and adverse outcomes if such delay occurs. A 66-year-old female with history of granulomatosis with polyangiitis (GPA) with previous pulmonary involvement, treated with rituximab and low-dose prednisolone, presented with prolonged fever and cough after having been treated at home for a mild SARS-CoV-2 infection in early July 2023. The patient had a prolonged course over several months with constitutional symptoms such as fever, cough and malaise. During the investigation, which encompassed a wide range of microbiological and immunological tests, the patient was initially thought to have a flare of GPA which she was treated for without appreciable improvement, then for multiple microbiological organisms without appropriate resolution of the patient's symptoms. The differential diagnosis of prolonged SARS-CoV-2 infection was reconsidered in October 2023, and then confirmed by the presence of SARS-CoV-2 viremia through polymerase chain reaction (PCR) testing of the blood. The patient received a prolonged course of antiviral therapy with complete clinical, virological and radiological resolution. Prolonged SARS-CoV-2 infection with viremia in immunocompromised individuals needs to be considered on the differential diagnosis list in such patients presenting with constitutional symptoms, with PCR testing of the blood as a simple and effective way to establish the diagnosis.</p>","PeriodicalId":101328,"journal":{"name":"Journal of medical cases","volume":"16 1","pages":"6-10"},"PeriodicalIF":0.9000,"publicationDate":"2025-01-01","publicationTypes":"Journal Article","fieldsOfStudy":null,"isOpenAccess":false,"openAccessPdf":"https://www.ncbi.nlm.nih.gov/pmc/articles/PMC11699861/pdf/","citationCount":"0","resultStr":null,"platform":"Semanticscholar","paperid":null,"PeriodicalName":"Journal of medical cases","FirstCategoryId":"1085","ListUrlMain":"https://doi.org/10.14740/jmc5064","RegionNum":0,"RegionCategory":null,"ArticlePicture":[],"TitleCN":null,"AbstractTextCN":null,"PMCID":null,"EPubDate":"2024/11/12 0:00:00","PubModel":"Epub","JCR":"","JCRName":"","Score":null,"Total":0}
引用次数: 0

Abstract

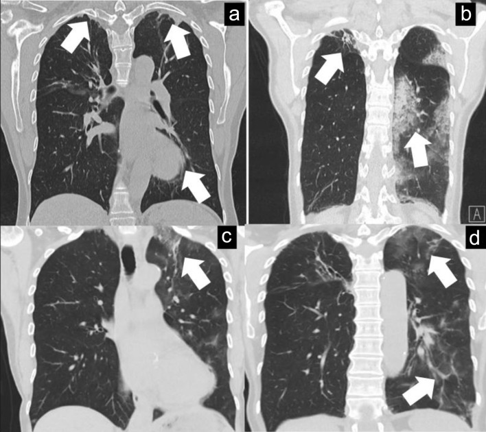
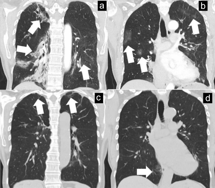
Immunocompromised patients, especially those receiving B-cell depleting therapies, are at risk for developing atypical presentation with regard to severe acute respiratory syndrome coronavirus 2 (SARS-CoV-2) infection, with the potential for diagnostic delay and adverse outcomes if such delay occurs. A 66-year-old female with history of granulomatosis with polyangiitis (GPA) with previous pulmonary involvement, treated with rituximab and low-dose prednisolone, presented with prolonged fever and cough after having been treated at home for a mild SARS-CoV-2 infection in early July 2023. The patient had a prolonged course over several months with constitutional symptoms such as fever, cough and malaise. During the investigation, which encompassed a wide range of microbiological and immunological tests, the patient was initially thought to have a flare of GPA which she was treated for without appreciable improvement, then for multiple microbiological organisms without appropriate resolution of the patient's symptoms. The differential diagnosis of prolonged SARS-CoV-2 infection was reconsidered in October 2023, and then confirmed by the presence of SARS-CoV-2 viremia through polymerase chain reaction (PCR) testing of the blood. The patient received a prolonged course of antiviral therapy with complete clinical, virological and radiological resolution. Prolonged SARS-CoV-2 infection with viremia in immunocompromised individuals needs to be considered on the differential diagnosis list in such patients presenting with constitutional symptoms, with PCR testing of the blood as a simple and effective way to establish the diagnosis.

Abstract Image

Abstract Image

免疫功能低下患者的长期SARS-CoV-2病毒血症
免疫功能低下的患者,特别是接受b细胞消耗疗法的患者,在严重急性呼吸综合征冠状病毒2 (SARS-CoV-2)感染方面有出现非典型症状的风险,如果出现这种延迟,可能会导致诊断延迟和不良后果。66岁女性,既往有肉芽肿伴多血管炎(GPA)累及肺部病史,曾接受利妥昔单抗和低剂量强的松龙治疗,于2023年7月初因轻度SARS-CoV-2感染在家接受治疗后出现持续发热和咳嗽。病人的病程延长了几个月,伴有发热、咳嗽和不适等体质症状。在调查期间,包括广泛的微生物和免疫学测试,患者最初被认为是GPA发作,她接受了治疗,但没有明显改善,然后对多种微生物进行了治疗,但患者的症状没有得到适当的解决。2023年10月重新考虑诊断为长时间SARS-CoV-2感染,然后通过血液聚合酶链反应(PCR)检测证实存在SARS-CoV-2病毒血症。患者接受了延长疗程的抗病毒治疗,临床、病毒学和放射学完全解决。在出现体质症状的免疫功能低下患者中,需要考虑将长期感染SARS-CoV-2并伴有病毒血症的患者列入鉴别诊断清单,血液PCR检测是建立诊断的简单有效方法。
本文章由计算机程序翻译,如有差异,请以英文原文为准。
求助全文
约1分钟内获得全文 求助全文
来源期刊
CiteScore
1.10
自引率
0.00%
发文量
0
×
引用
GB/T 7714-2015
复制
MLA
复制
APA
复制
导出至
BibTeX EndNote RefMan NoteFirst NoteExpress
×
提示
您的信息不完整,为了账户安全,请先补充。
现在去补充
×
提示
您因"违规操作"
具体请查看互助需知
我知道了
×
提示
确定
请完成安全验证×
copy
已复制链接
快去分享给好友吧!
我知道了
右上角分享
点击右上角分享
0
联系我们:info@booksci.cn Book学术提供免费学术资源搜索服务,方便国内外学者检索中英文文献。致力于提供最便捷和优质的服务体验。 Copyright © 2023 布克学术 All rights reserved.
京ICP备2023020795号-1
ghs 京公网安备 11010802042870号
Book学术文献互助
Book学术文献互助群
群 号:604180095
Book学术官方微信